進行した歯周病の治療の一例
石神井公園駅北口徒歩1分、歯周病専門医/指導医、インプラント専修医、医)竹和会 たけのうち歯科クリニックの竹之内です。当院は、歯周病・インプラント・審美歯科・予防歯科に積極的に取り組んでおります。
下の写真は、歯周病の検査の一つである、歯周ポケット測定を行なった際の記録です。
この方は、全体的に深い歯周ポケットが認められ、ポケット測定時の出血率も高く、重度の歯周病に罹患していました。
40代でこの状態は大分進行が早いですし、今のうちにしっかり治しておかないと、将来が非常に不安です。
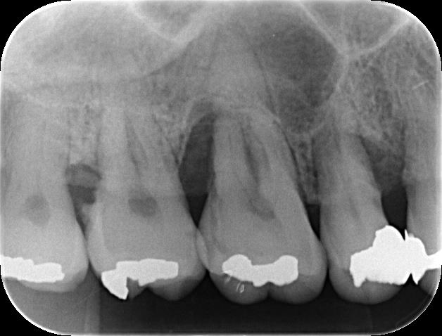
エックス線写真からは、歯石の沈着が著しく、歯槽骨の吸収も進行しているのが確認できます。
歯周病の治療は、歯周組織の炎症をしっかりコントロールすることが重要です。
ですので、まずはプラークをなるべく減らしていくために、患者さんのプラークコントロールを強化し、プラークが溜まる歯石や形態の良くない被せ物などを除去していきます。
この方は、ポケット内の歯石の沈着が多量であり、除去にはある程度の時間がかかると判断しましたが、患者さんは仕事の都合などでアポイントに制限があったので、一回の治療時間を長めに取って、上顎と下顎の2回で歯石除去を全て行う自費治療のSRPを行いました。費用は84,000円(税別)です。
ポケット内の歯石の除去は、見えない部分を手指の感覚や音を頼りに行っていきますので、とてもテクニックセンシティブ(術者の技量に左右される)な治療です。
炎症のコントロールをしながら、噛み合わせの調整をしたり、むし歯の治療、仮歯の装着、根管治療などを行っていきます。
歯周病の基本治療が終了し、再評価として再度歯周ポケットの測定を行った結果が下の表になります。
治療前と比較して、歯周ポケットや出血率が大分改善しています。
その後、残存している歯周ポケットに対して、更なる改善を期待して、エムドゲインと骨移植を併用した歯周組織再生療法を行いました。費用は72,000円(1歯)~です。
再生療法は、適応部位の選択、切開線、掻爬、縫合等、一つ一つを丁寧かつ確実に行うことが重要になります。
下のエックス線写真は、再生療法後、6~9ヵ月経過したものです。
歯槽骨の吸収が進行していた部位の改善が認められます。
歯周組織再生療法は、どのようなケースにも適応できるわけではなく、一部が垂直的に骨吸収している部位や中程度の根分岐部病変が適応になります。
患者さんには十分な説明をし、改善が期待できる部位に施術を行いますが、喫煙や全身状態、周囲組織の状態によってもその効果は違ってきますので、歯周ポケットが残存したりすることもありますのでご承知ください。
先日、被せ物の装着も終了し、あとはメインテナンス移行前の再評価を行う予定です。これまで積み上げてきたものの評価をし、今後の治療やメインテナンスに活かしていきます。
歯周病治療は、長期に亘ることが多いので、治療前と治療後の状態を、患者さんと一緒に確認しながら振り返るのは、喜びもひとしおです。
カテゴリー:歯周病治療 ,治療例 投稿日:2021年3月21日




















