練馬区の歯周病専門医 中等度以上の歯周病治療なら(練馬区石神井公園の歯医者 たけのうち歯科クリニック)
石神井公園駅北口徒歩1分、歯周病専門医/指導医、インプラント専修医、医)竹和会 たけのうち歯科クリニックの竹之内です。当院は、歯周病・インプラント・審美歯科・予防歯科に積極的に取り組んでおります。
矯正医からの紹介で来院された30代の患者さんです。
10数年前に矯正治療を開始したものの、ブラケットやワイヤー等の矯正装置を装着したまま未来院になってしまったという経緯があり、現在は矯正治療は終了し、クリアリテーナーにて経過観察をしているということでした。
当院で、歯周病治療と舌側にある下顎前歯の抜歯をしてもらいたいということで紹介していただきました。
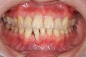
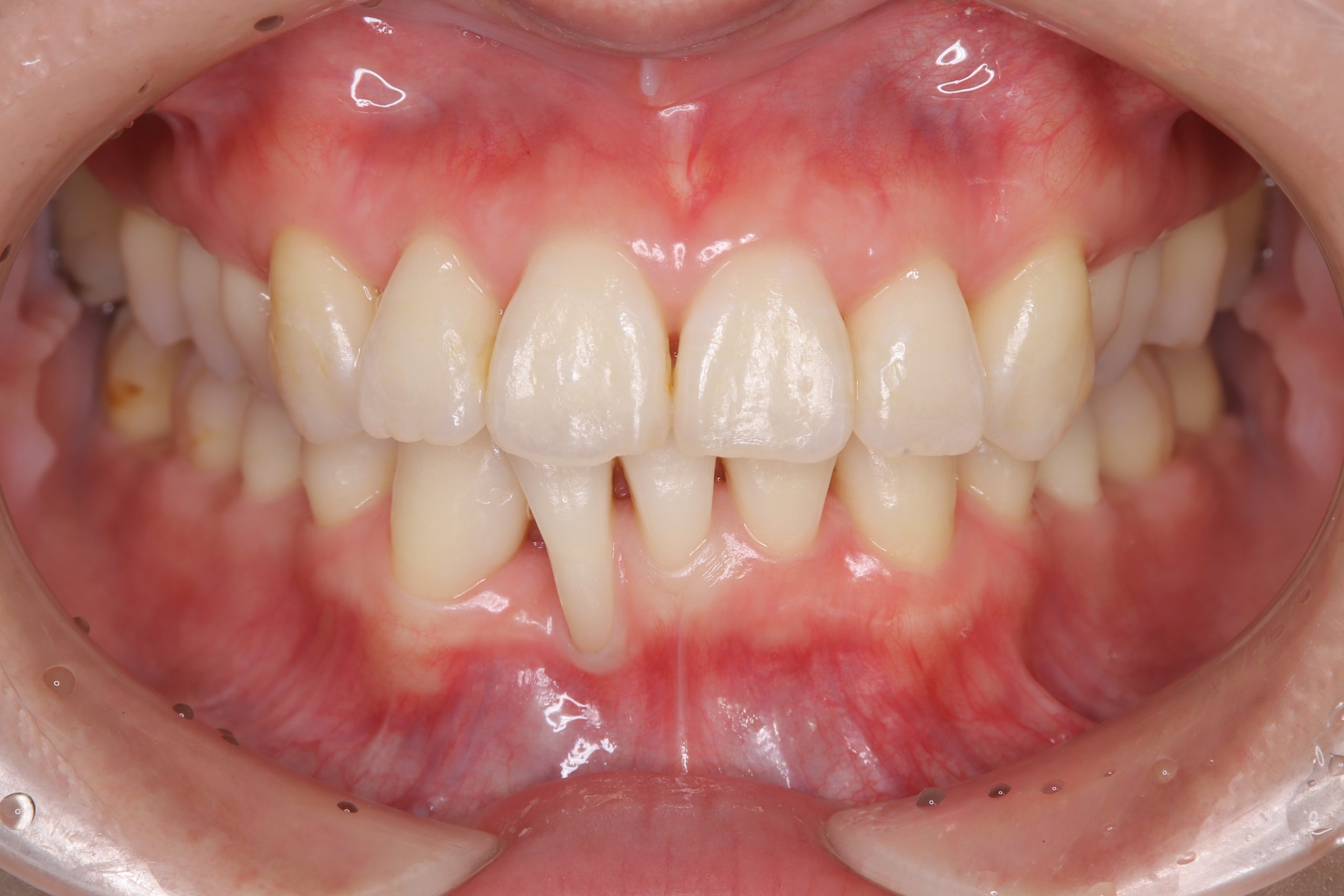
口腔内を確認すると、全体的に歯肉は炎症を起こして腫れており、下顎前歯の歯肉には著しい退縮を認めました。
歯周組織検査を行うと、30代にもかかわらず、中等度から重度の歯周ポケットを多数認めました。
患者さんは、歯周病が進行していることや将来への不安から、はじめはとても表情が硬かったですが、
① 歯肉縁下に多量の歯石が付着していることが問題であり、SRPで縁下歯石をしっかり取れば改善する可能性が高いこと
② 当院は、歯周病専門医や歯周病認定歯科衛生士がいるクリニックであり、SRPにしっかり取り組んでいる
ということを伝えたところ、最後は笑顔が見られるようになりました。
治療は、担当する歯科衛生士と連携を取りながら、SRP・むし歯治療・咬合調整・舌側に転位している右下2番(前歯)の抜歯・右下3番(犬歯)の近心スペース改善のダイレクトボンディング・ホームホワイトニング等を行いました。
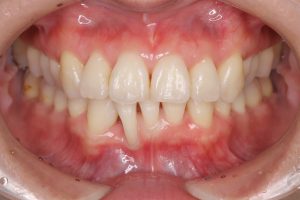
現在は、SPT(メインテナンス)に移行し1年半程が経過しましたが、下の写真のように歯肉も歯も綺麗で、深い歯周ポケットもなく、良好に維持されています。
今後も、下の前歯の歯肉退縮が進行しないよう、噛み合わせや歯の位置、ブラッシングには注意していく予定です。
進行した歯周病の治療には、治療期間が長くなったり、歯肉の炎症の改善に伴って歯肉が下がったり、知覚過敏が生じることがあります。
カテゴリー:歯周病治療 ,治療例 投稿日:2025年10月26日













