審美歯科
審美歯科とは
審美歯科とは、より美しく自然な歯と口腔内の機能を取り戻す治療です。現在では、患者さんのお口の健康に対する意識も高くなり、痛みを取り除いて噛めるようにするだけでなく、より美しく機能的な治療を希望する方が多くなってきています。
審美歯科というと、タイルのように白いかぶせ物を入れる治療を連想することが多いと思いますが、そうではありません。口元や歯が美しく見えるために全体のバランスを整えることを行います。そのため当院では、歯の色だけでなく、歯の大きさ・歯並び・対称性・歯肉のラインなどを整えて、より美しく機能的な治療を目指します。その人の印象を左右するのは、ファッションや髪型だけでなく、美しい口元によって作り出される笑顔でもあります。私達と一緒に考えていきましょう。
なお、治療で使用する材料や治療技術は日々進歩しております。しかし、保険治療は、国の財政上、治療内容が制限されており、使用できる材料も決められています。保険治療で用いられる銀歯やレジン前装冠は、何十年も前から変わっておらず、先進国の中でこのような治療を行っているのは日本だけです。
より美しく機能的な治療を希望されるのであれば、保険治療では限界がある場合がありますので、その際は、治療法・材料・費用等をご説明させていただき、患者さんに納得していただいた上で治療を進めていきます。
オールセラミックスクラウン・オールセラミックスインレー
メリット

- 金属を使用せず、すべてがセラミックスのため、光の透過性が高く、天然歯のような仕上がりが実現できます。オールセラミックスクラウンは前歯の治療に最適です。
- プラークなどの汚れが付きにくく、着色しませんので、きれいな状態が長持ちします。
- 歯肉が黒ずんだり、金属アレルギーを起こしたりする心配がありません。
デメリット
- 作製に手間と時間がかかるため、費用がかかります(自費治療)。
- 硬さは十分にありますが、欠けることが稀にあります(当院では、自費治療に関しては補償制度を設けております)。
メタルセラミックスクラウン
メリット

- セラミックスを金属で裏打ちするため、十分な強度があり、あらゆる部位に適用できます。
- 見える所はセラミックスのため、ツヤがあり、仕上がりがきれいです。
- プラークなどの汚れが付きにくく、着色しませんので、きれいな状態が長持ちします。
デメリット
- 作製に手間と時間がかかるため、費用がかかります(自費治療)。
- 歯肉が下がると、かぶせ物と歯の継ぎ目が黒く見えることがあります。
- 金属の裏打ちがあるため、オールセラミックスクラウンと比較すると光の透過性が劣ります。
ハイブリッドレジンクラウン・ハイブリッドレジンインレー
ハイブリッドレジンとは、レジンという樹脂(プラスチック)にセラミックスの粒子を混ぜた材料です。
メリット
- 白く透明感があるので、歯と調和し仕上がりがきれいです。
- セラミックスよりも作製しやすいため、費用を抑えることができます(自費治療)。
デメリット
- レジンは吸水性があるので、少しずつ変色することがあります。
- セラミックスと比較すると、磨耗しやすくツヤが無くなります。
ラミネートベニア

ラミネートベニアとは、歯の表面を最小限削り、そこへセラミックスで作った薄い板を接着させて、歯の色や形を理想的に変える方法です。主に前歯が適応で、奥歯には不向きです。
メリット
- クラウンに比べると、削る量がとても少なくてすみます。
- 光の透過性が高く、天然歯のような仕上がりが実現でき、前歯の治療に適しています。
- プラークなどの汚れが付きにくく、着色しませんので、きれいな状態が長持ちします。
デメリット
- 作製に手間と時間がかかるため、費用がかかります(自費治療)。
- 薄いセラミックスを使用するため、切端が欠けることが稀にあります。
- 歯の表面(外側)に接着させるので、クラウンのようにかみ合わせを変えたりすることはできません。
ダイレクトボンディング
コンポジットレジンという樹脂(プラスチック)を、型取りは行わずに、お口の中で直接詰めていく方法です。
メリット
- 型取りをしないですむため、1回の治療でできます。
- 削るところは最小限ですみます。
- セラミックスやハイブリッドレジンより費用がかかりません(自費治療)。
デメリット
- 広い範囲に詰める治療には不向きです。
- レジンは吸水性があるので、少しずつ変色することがあります。
- セラミックスと比較すると、磨耗しやすくツヤが無くなります。

当院が使用するコンポレットレジン
当院では、より自然な色調が再現でき、艶が長期に亘って持続する自費専用のコンポジットレジンを使用します。
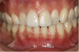
オールセラミックスクラウンとラミネートベニアを用いた治療例
1.

前歯にかぶせ物が装着されていますが、歯とかぶせ物の境目が黒く見えています。左右で、歯の長さや大きさが違うためバランスも悪くなっています。また、歯と歯の間の詰め物も変色し、見た目を悪くしています。
2.

左側の古いかぶせ物を除去し、土台になる歯の形を整えて歯型をとります。右側は歯をできるだけ保存するために、表面だけを削って、ラミネートベニアで歯の形態・色を整えるようにしました。
3.

左側の歯にオールセラミックスクラウンを装着しました。そして、右側にはラミネートベニアを装着しました。かぶせ物と歯の境目はきれいになり、左右の歯の形態も揃い、自然な美しさが得られました。
メタルセラミックスクラウンを用いた治療例
1.
奥の銀歯が虫歯になってしましました。その他にも、黒く虫歯になっているところがあります。



2.
奥歯の銀歯を外して虫歯を取り除いた後、型取りを行い、メタルセラミックスクラウンを装着しました。小さな虫歯は、コンポジットレジンにて修復しました。銀歯や黒い虫歯がなくなり、きれいなお口になりました。メタルセラミックスクラウンは、見た目だけでなく、かみ合わせも安心です。



オールセラミックスインレーを用いた治療例
1.

奥歯に銀の詰め物がされています。患者さんは、「何年かに一度、外れてはやり直すということを繰り返しているので、できるだけやり直しの少ない治療をしたい」と希望されました。
2.

オールセラミックスインレーを装着しました。歯と詰め物の適合も良好で、強力なセメントで装着するので、外れる心配もなく、境目からの虫歯(二次カリエス)も少なくなります。もちろん、見た目も自然できれいです。
オールセラミックスインレーとメタルセラミックスクラウンによる治療例
1.

患者さんは60歳代の女性です。虫歯の治療をきっかけに、古い詰め物やかぶせ物を全部しっかり治療するということになりました。
2.

セラミックスによる治療を全体的に行いました。お友達に「歯がきれいになって、とっても若返ったね」と、うらやましがられたそうです。患者さんからそれを聞いた時、とても嬉しかったです。
ハイブリッドレジンインレーを用いた治療例
1.

下顎の歯に一ヵ所だけ銀の詰め物が入っていて、笑った時に見えるのが気になるということで来院されました。
2.

銀の詰め物を外して虫歯を除去した後に、詰め物の型取りを行いました。その際、詰め物の色を決めるために、写真のように色の見本(シェードガイド)をおいて写真を撮ります。詰め物やかぶせ物を作製する歯科技工士さんに写真を渡すことで、細かい部分にまで配慮したものが出来上がります。

3.

ハイブリッドレジンインレーを装着しました。色や形態もぴったりで、天然の歯のようにきれいになりました。患者さんには、自分の歯が元通りになったみたいと喜んでいただきました。
ハイブリッドレジンインレーとダイレクトボンディングによる治療例
1.

30歳代の男性です。小さい頃から虫歯が多かったらしく、全体的に銀の詰め物がされています。
2.

銀の詰め物を除去し、ハイブリッドレジンインレーを装着しました。小さい銀の詰め物の部位は、ダイレクトボンディングを行いました。
ダイレクトボンディングの治療例1
1.

前歯の歯と歯の間にコンポジットレジンが充填されていますが、形態や色が合っていないため、とても目立ってしまっています。
2.

古いコンポジットレジンを除去し、詰めなおしました。形態と色が整うことで、とても自然な状態になりました。同時に、歯肉の形態もきれいになりました。
ダイレクトボンディングの治療例2
1.

銀歯の所が、冷たいものでしみるということで来院されました。
2.

金属の詰め物を除去したところ、中で虫歯が進行していました。虫歯を除去したところです。
3.

ダイレクトボンディングを行いました。何色ものコンポジットレジンを使用することにより、1回の治療でこのようにきれいになります。
ダイレクトボンディングの治療例3
1.

前歯の一部に白斑(白い斑点)が認められます。患者さんは、20歳代の女性で、できるだけ歯を削らずにきれいにしたいとの事でした。
2.

白斑の表面を少し除去しました。
3.

ダイレクトボンディングを行いました。どこに詰めたのかわからないほど、周囲と調和しています。患者さんは、ずっと気になっていたところが、ほとんど歯を削らずにきれいになり、とても感激していました。
歯肉の形態を整えるために、歯肉移植を行った症例
1.

患者さんは、「犬歯(右側)の歯肉が下がってしまい、一本だけ歯が長くなって気になる」ということでした。歯の根が露出しているので、知覚過敏も併発していました。
2.

歯肉を移植して根面を被覆し、歯肉のラインを整えました。歯肉の形態が改善することにより、左右の犬歯の形が対称的になり、調和が取れています。知覚過敏も改善しました。