矯正治療前の歯肉移植(結合組織移植による根面被覆)
石神井公園駅北口徒歩1分、歯周病専門医/指導医、インプラント専修医、医)竹和会 たけのうち歯科クリニックの竹之内です。当院は、歯周病・インプラント・審美歯科・予防歯科に積極的に取り組んでおります。
大泉学園の矯正専門の歯科医院からご紹介いただき、矯正前の歯肉移植の相談で来られた患者さんです。
口腔内を拝見させていただくと、右上の中切歯と犬歯の歯肉が著しく退縮している(下がっている)状態でした。また、正面からの写真ではわかりにくいかもしれませんが、中切歯と犬歯の間にある側切歯が内側に入り込んでいる状態(叢生)でした。
この部分の歯肉が著しく退縮してしまったのは、歯の位置や歯軸により元々の歯肉や骨が薄いところに、歯ブラシなどの外力がさらに加わったことで助長されたと推察しました。
歯をどのように移動させるかにもよりますが、矯正治療を行うことで歯肉退縮が進行することがあります。
そのようなことが予想される場合には、矯正治療前に歯肉の厚み(フェノタイプ)を改善しておくことで、術後の歯肉退縮を予防することが可能になるという報告があります。
患者さんの口腔内を拝見させていただいた後、紹介元の矯正医と相談し、今回は矯正治療前に歯肉移植を行い、軟組織フェノタイプを改善することにしました。
歯肉退縮改善のための歯肉移植にはいくつかの術式がありますが、現在の歯肉や周囲の状態を勘案して、結合組織移植に歯肉弁歯冠側移動術を併用した術式を選択しました。
かかる費用は64,000円(税別)になりますが、エムドゲインなどの再生誘導材料を併用する場合には別途費用がかかります。
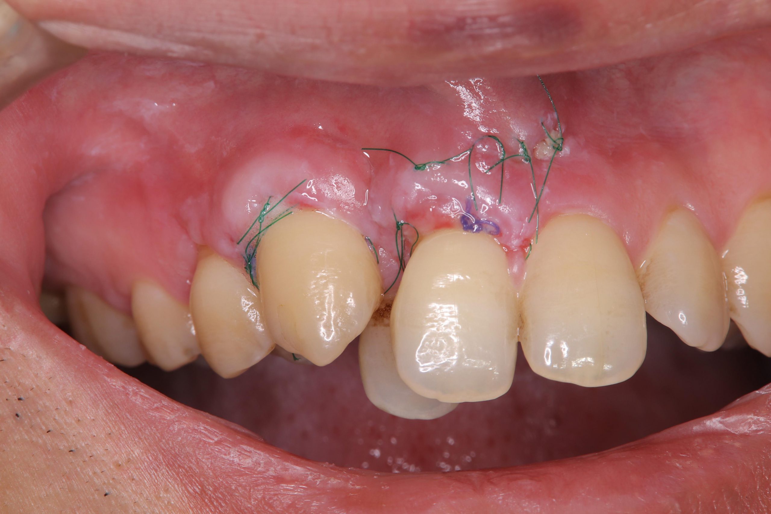
上顎口蓋から採取した結合組織を、露出した根面を覆うように吸収性縫合糸により縫合固定し、
その後、移植した結合組織を覆うように歯肉弁を歯冠側に移動して、懸垂縫合にて縫合固定しました。同時に、歯肉の位置が安定するように上唇小帯の切除も行いました。
側切歯が内側に入っており、中切歯と犬歯の間の縫合が難しかったです。
なお、処置中は麻酔をしており、痛みはありませんので安心してください。
下の写真はOPE後1週間です。この時点では施術部位のブラッシングは停止してもらっていますので、当院でプロフェッショナルケアを行います。
下の写真はOPE後3ヵ月です。
歯肉の位置が回復し、露出していた歯根は大分被覆されています。また、歯肉の厚みも増えているのがわかります。
紹介元では、インビザライン(マウスピース矯正)にて矯正治療を開始しております。紹介していただいた先生からは、患者さんも大変喜んでいたということを聞き安心しました。
当院でもこれから定期的にチェックしていくことになっておりますので、今後の矯正治療と歯肉移植の経過をしっかり診ていきたいと思います。
なお、事前の診査で、どのような術式が望ましいか、どのような結果が得られるかを判断し、患者さんにご説明した後に行いますが、こちらが意図した結果が100%得られるとは限りませんのでご了承ください。
カテゴリー:歯周病治療 ,治療例 ,審美歯科治療 ,矯正治療 投稿日:2020年11月3日

















