注意が必要な噛み合わせ(開咬)
石神井公園駅北口徒歩1分、歯周病専門医/指導医、インプラント専修医、医)竹和会 たけのうち歯科クリニックの竹之内です。当院は、歯周病・インプラント・審美歯科・予防歯科に積極的に取り組んでおります。
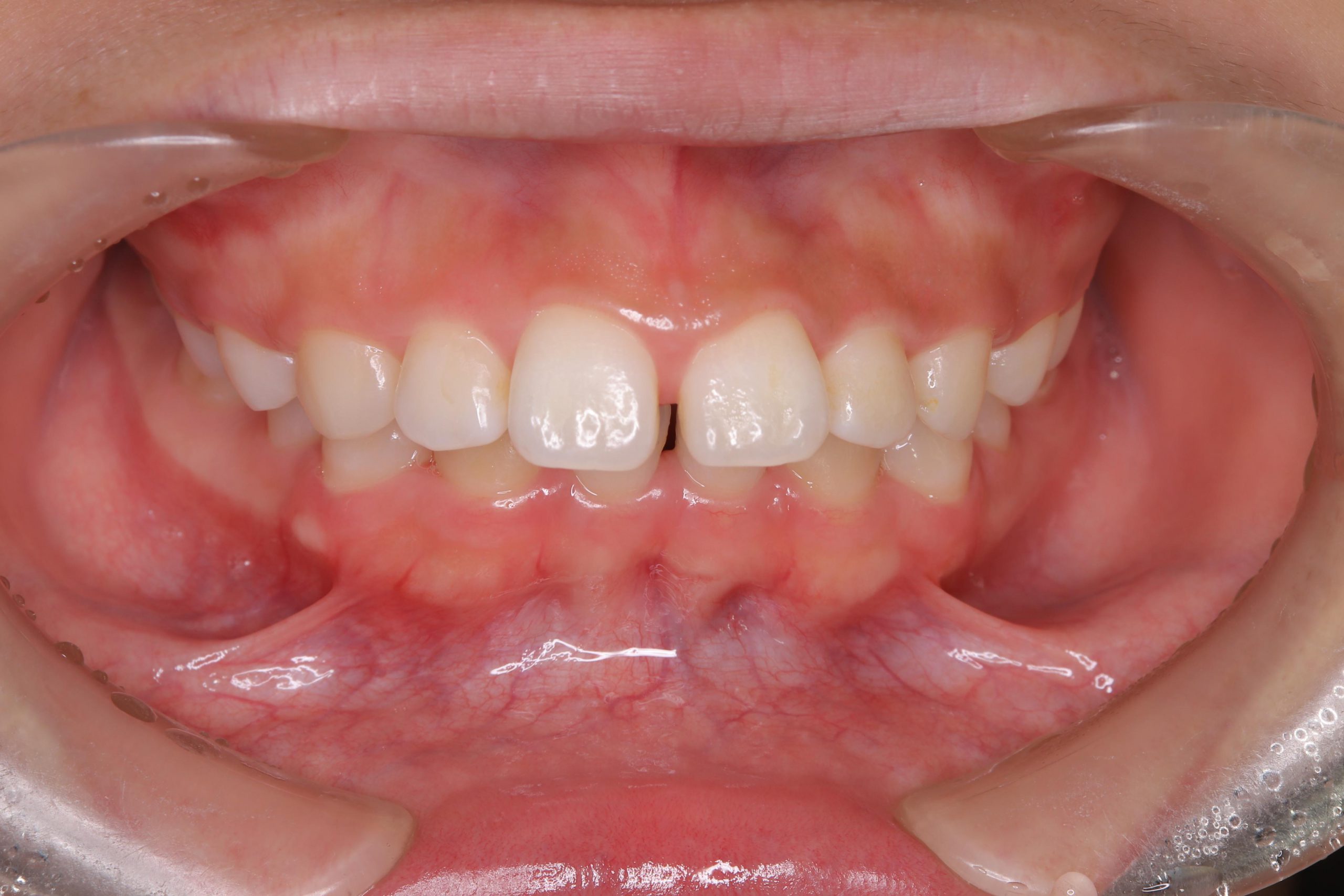
「開咬」とは、奥歯でしっかり噛んだ時に、上下の前歯が噛み合わない症状を指します。基本的に開咬とは前歯のことを指しますが、稀に奥歯でも同様の症状を起こすことがあり、前歯に空間ができる場合を「前歯部開咬」、奥歯に空間ができる場合を「臼歯部開咬」と呼びます。多くは幼少期の癖が原因によって引き起こされ、永久歯の生える時期まで指しゃぶりが続いている場合や舌癖、咬唇癖などの影響によって問題が生じます。また、顎の成長に問題があって開咬が生じる場合もあります。
この方は、開咬により前方に突出した上顎前歯と、下顎前歯の間に、下の唇が入り込んでしまうことにより、上顎前歯の前突(出っ歯)がより大きくなってしまっており、口唇をしっかり閉じようとしても歯が見えてしまうような状態でした。
開咬が良くないのには多くの理由がありますが、その一つとして、奥歯に過剰な咬合力がかかるということが挙げられます。
その強い力が原因で、歯の摩耗・クラック(亀裂)・破折・修復物の脱離や破損・歯周病の悪化・噛み合わせの低下・顎関節症などを引き起こしやすくなるのです。
中高年の方の抜歯原因の多くが歯周病や歯の破折ですが、臨床をしていると、開咬の方は奥歯を失うことが本当に多いです。
また、もし歯の破折などにより抜歯をしなくてはならなくなった場合、その後に行う補綴治療(抜歯した部位に行うブリッジやインプラント治療)も難しくなることがあります。
ですので、可能であれば早期に矯正治療とMFT(筋機能訓練)による改善が必要だと考えます。
この方はまだ20代の方ですが、全体的に歯肉の炎症が強く、軽度~中程度の深さのポケットも形成されておりました。
口腔内写真でも前歯部の歯肉が腫れているのがわかると思います。
今後、矯正治療を行うのですが、この歯肉の状態では開始できませんので、まずは歯周病の治療を進めていきます。
担当の歯科衛生士が、口腔衛生指導やプラーク・歯石の除去をしっかり行い、患者さんの口腔清掃や意識の改善にも積極的に取り組んだことにより、下の写真のように大分歯肉の状態も良くなりました。
これで安心して矯正治療を進めることができます。
何の治療もしないでこのまま生活していくのと、若いうちから歯周病治療や矯正治療に積極的に取り組んだ場合とでは、必ず違う将来が待っていると思います。
その方がいつまでも健康的な生活を送れるように、歯科治療を通じてお手伝いができればと思い、日々診療に取り組んでおります。
カテゴリー:歯周病治療 ,矯正治療 投稿日:2020年9月20日












