結合組織移植による歯肉の形態改善
石神井公園駅北口徒歩1分、歯周病専門医・歯周病指導医、インプラント専修医、医療法人社団 竹和会 たけのうち歯科クリニックの竹之内です。当院は、歯周病・インプラント・審美歯科・予防歯科に積極的に取り組んでおります。
歯周病や噛み合わせなどの問題があったため、矯正治療やインプラント治療なども行い、口腔機能の改善を行っているところですが、今回は前歯部の歯肉の形態改善について説明したいと思います。
クラウンが装着されている左上中切歯(中央から向かって右側1番目の歯)は、大分歯肉が下がっておりますが、歯を支えている歯槽骨の吸収が進行しており、抜歯せざるを得ない状態でした。しかしながら、最終的な歯並びを把握しやすくするために、矯正治療を行っている間はあえて残す形で治療を進めていきました。
クラウンだけは除去して仮歯にしています。
そして矯正治療終了後、歯のポジションが定まったので、左上中切歯の抜歯を行いました。
下の写真は、抜歯したところに、入れ歯で使用する人工歯を隣接する歯に接着させている状態ですが、歯肉の形態を見ていただくと、歯肉がかなり吸収して凹んでいるのがわかると思います。
これは、抜歯する歯の周囲骨が元々無くなってしまっていたことによるもので、このような結果になることは事前にわかっていましたので、抜歯する前から患者さんにはお話しておりました。
そして、対処方法についても事前にお伝えしていたので、最終的にこの状態をみて、患者さんは結合組織移植による歯肉の形態改善を希望されました。
そこで、口蓋(上顎の内側)の歯肉の内部から結合組織を採取し、歯肉が凹んでいるところを袋状に切開し、その中に結合組織を移植。
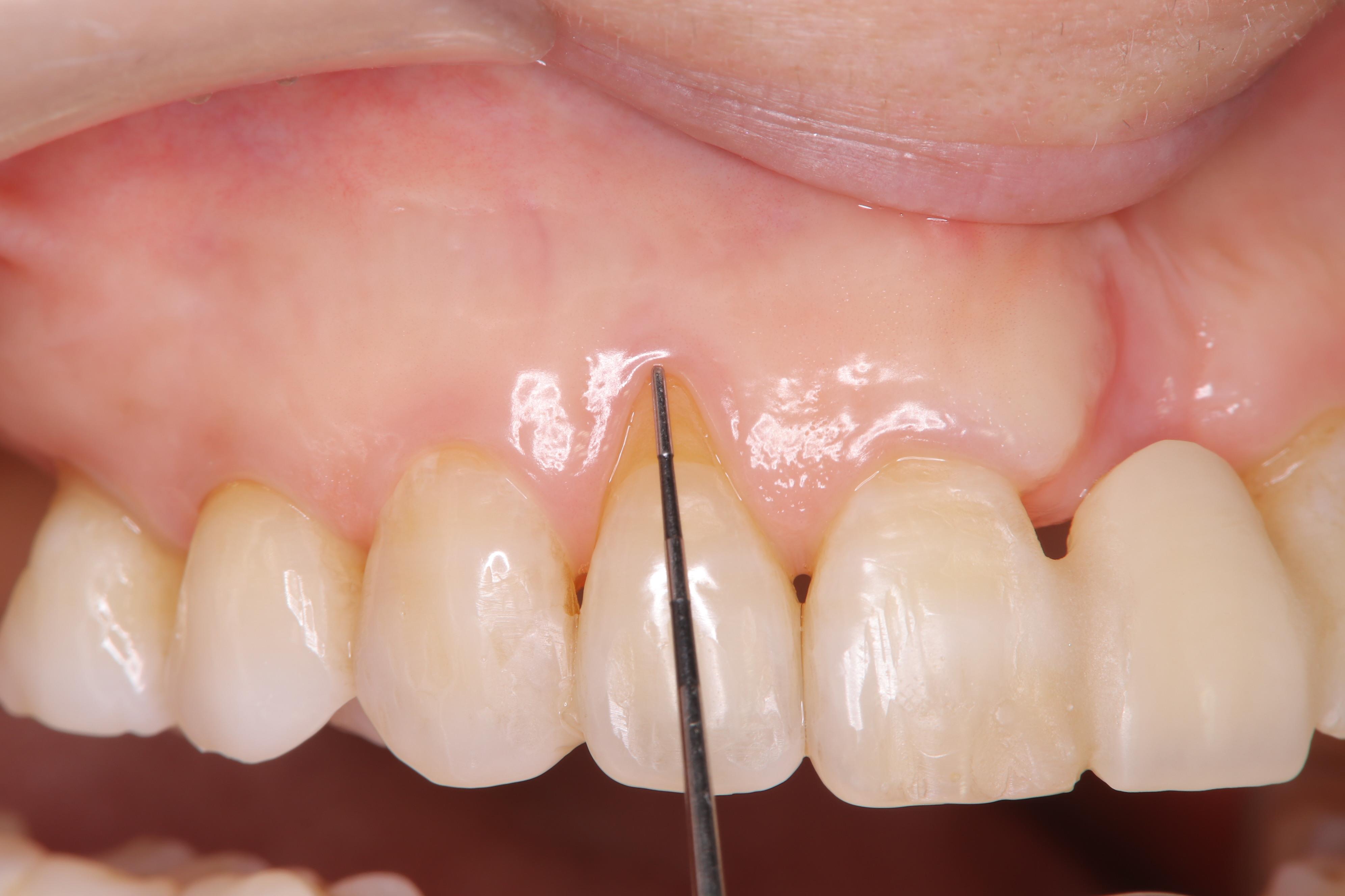
また、上顎右側の側切歯は、下の写真のように歯肉が下がり歯根が露出し、そこだけ歯が長く見えて気になるということでしたので、こちらも結合組織を移植して根面被覆を行いました。
下の写真は、結合組織移植後数ヵ月のものです。
歯肉の凹みや根面の露出が改善され、綺麗な歯冠・歯肉形態になりました。
結合組織移植は自費の治療ですが、うまく応用することで、見た目の改善だけでなく、歯肉の形態が変わることでプラークコントロールのしやすい環境にすることもでき有用な治療です。ただ、適応する症例の選択と繊細な手術が重要になることをご理解ください。
今後は、上顎前歯の欠損に対しては接着性ブリッジ、大臼歯部にはインプラントの上部構造を装着していく予定です。
カテゴリー:歯周病治療 ,治療例 ,審美歯科治療 投稿日:2019年2月21日
















