歯肉を著しく欠損している前歯部への補綴修復治療
石神井公園駅北口徒歩1分、歯周病専門医/指導医、インプラント専修医、医)竹和会 たけのうち歯科クリニックの竹之内です。当院は、歯周病・インプラント・審美歯科・予防歯科に積極的に取り組んでおります。
重度の歯周病に罹患した歯や大きな根尖病巣(根の病気)がある歯を抜歯した場合、歯肉が著しく下がったり、凹んでしまったりすることがあります。
それは、上記の疾患などにより、既に歯の周囲の骨(歯槽骨)が溶けてしまっており、抜歯後の治癒過程において、歯槽骨の形に合わせて歯肉が治るからです。
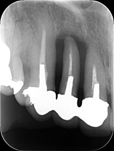
写真の患者さんは、前歯の歯肉がかなり下がっており、クラウンが装着されている3本の歯の中央の歯(側切歯)は、歯槽骨が溶けて全くない状態でした。
レントゲン写真で、歯根の周囲は真っ黒になっています。
側切歯は抜歯せざるを得ない状態であり、今後の治療について何件かの歯科医院にて相談をした後に当院に来院されました。
側切歯の隣の犬歯の歯肉は既に大分下がっており、抜歯をする側切歯部は、抜歯後に歯肉がかなり凹んでしまうことが考えられ、そのような状態で被せ物を作製したとしても、反対側の前歯と違ってとても長い歯になってしまい、不自然な結果になってしまいます。
そこで考えたのは、まずは犬歯を矯正により引っ張り出す(挺出)ことで歯肉の位置をなるべく回復させ、その後、抜歯した側切歯部に対して骨造成や歯肉移植を行うことで歯肉の凹みを改善し、最後はブリッジを装着するという計画です。
治療前に何度か患者さんと相談させていただき、そのように進めていくことになりました。
側切歯を抜歯し、ブリッジの仮歯を装着したところです。歯肉の陥凹が著明です。
その後、ブラケットを装着し、犬歯を引っ張り出していきました。
歯の移動に伴い、歯肉の形態も変化してきています。
矯正治療後、抜歯した部位に対して、骨造成と結合組織移植を行い、歯肉の形態改善を図りました。
そして、歯肉の安定を待って、ジルコニアフレームのセラミックスブリッジを装着しました。
術前と比較し、歯肉の位置を反対側の歯と同じぐらいまで回復させられたことで、周囲と調和したブリッジを装着することができました。
患者さんが治療にとても協力的で、矯正治療と2回の外科処置を受けてくださったので、このような結果が得られました。本当にお疲れさまでした。
長期に亘る治療が終わって、患者さんと写真を見ながら話している時は感慨深いものがありました。
カテゴリー:治療例 ,審美歯科治療 ,矯正治療 投稿日:2023年2月19日















