マイクロスコープによる根管内の異物除去
石神井公園駅北口徒歩1分、歯周病専門医/指導医、インプラント専修医、医)竹和会 たけのうち歯科クリニックの竹之内です。当院は、歯周病・インプラント・審美歯科・予防歯科に積極的に取り組んでおります。
マイクロスコープは様々治療に応用することができます。
なかでも根管治療に関しては、その効果は絶大です。
これまで、常に拡大鏡(ルーペ)を使用して診療を行ってきましたが、狭い根管内はなかなか光が入らず、根管の奥の方は見ることができませんでした。
レントゲンや感覚・経験が頼りでした。
しかしながら、マイクロスコープを導入してからは、根の先端部まで光が入り、かつ拡大された状態で見ることができるので、根管内を十分に把握できるようになりました。
見えなかったものが見える、
自信をもって治療を進められますし、治療レベルは確実に高くなると思います。
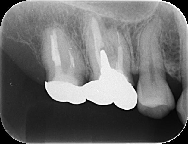
下の写真は、根尖病巣(根の周囲に膿が溜まる病気)による痛みを訴え、根管治療を行った方です。
初診時のレントゲン写真を見ると、左から2番目の歯の病巣がある歯根の先端に、金属片と思われる像が認められました。
⇩
マイクロスコープを使用しながら根管の充填材を除去していくと、やはり金属片が存在していました。
根管の奥の方に光っているものがそうです。
⇩
裸眼やルーペでは、通常ここまで見ることはできません。
マイクロスコープで覗きながら、超音波機器などを使用して歯と金属片の間に振動を与え、うまく除去することができました。
![]()
金属片を除去して症状も消失し、患者さんにはとても喜んでいただきました。
今後は残りの根管内をきれいにして、根管充填を行っていく予定です。
根管内の汚染物の除去、新たな根管の発見、歯根の破折の確認、根管内の異物除去など、根管治療におけるマイクロスコープの効果は絶大です。
うまく活用して、質の高い治療を提供していきたいと思います。
カテゴリー:治療例 ,根管治療 投稿日:2015年2月25日









