根管治療での隔壁・ラバーダム防湿の重要性 (練馬区石神井公園の歯医者 たけのうち歯科クリニック)
石神井公園駅北口徒歩1分、歯周病専門医/指導医、インプラント専修医、医)竹和会 たけのうち歯科クリニックの竹之内です。当院は、歯周病・インプラント・審美歯科・予防歯科に積極的に取り組んでおります。
現在、当院での根管治療は、マイクロスコープを使用して行うことがほとんどですが、根管治療の中でも特に重要なのが、隔壁やラバーダム防湿です。
残念ながら、根管治療の多くは、以前神経を取った(抜髄)歯の再治療になります。できることなら再治療は避けたいものです。
神経をしっかり取って、その後に根管内にしっかり薬を詰めて、その上に適合のよい土台やクラウンをしっかり装着すれば、通常予後は良く、再根管治療の可能性は低くできるのですが、
治療中に根管内に唾液が入る状態だったり、治療期間中にする根管内の仮蓋の封鎖性が低く、唾液が漏洩するような状態だったりすると、根管内に細菌が侵入し、それが原因で将来病変を生じてしまうことがあります。
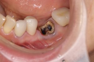
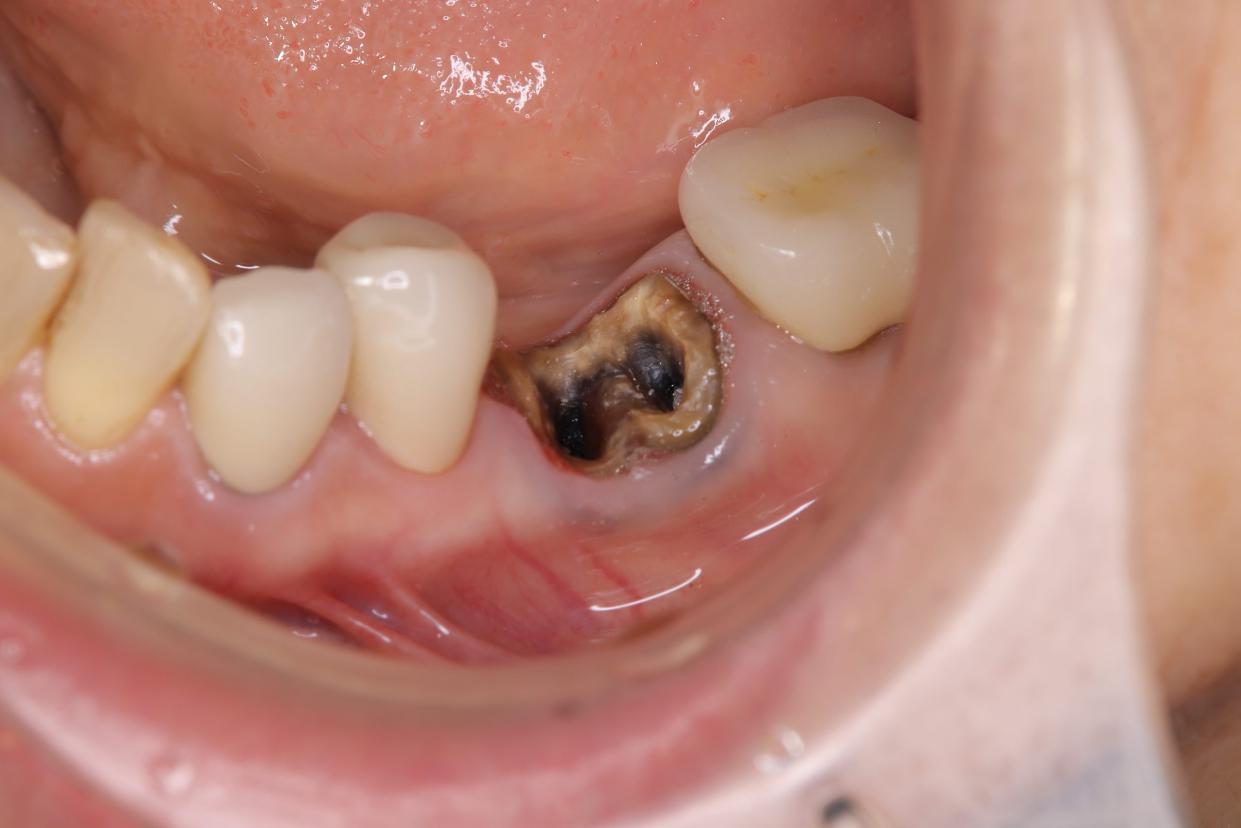
下の写真は、再根管治療が必要になり、土台(コア)を除去した状態になります。
歯冠部(歯の頭の部分)が全く残っておらず、歯肉の上縁より歯の辺縁が低い状態です。
この状態で、根管治療をすると、唾液がすぐに流れ込んできてしまうだけでなく、次のアポイントまで仮の蓋をしたとしても十分な厚みのある蓋ができないため、せっかく綺麗にした根管内を保つことができません。
結果として、病変が治らない、また再発しやすい、ということになってしまいます。
ですので、このような状態の場合に有効なのが、隔壁です。
読んで字のごとく、隔てる壁のことです。
歯質が大きく失われている場合に、人工的に歯の壁を作る処置のことをいいます。
どのように作るかというと、むし歯治療でよく使用するコンポジットレジンという材料を、残存した部分にしっかり接着させて作製します。
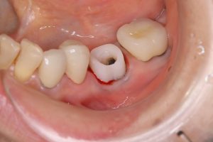
下の写真が、隔壁作製後のものです。
このようにレジンを盛り上げて壁を作ることで、唾液の流入がしにくくなり、ラバーダム防湿もしっかりできるようになるだけでなく、仮の蓋の厚みが十分取れるようになるので、次のアポイントまで漏洩を防ぐことができます。
「根管内の感染を取り除き、再感染を防ぐ」
根管治療の本質を実現するのに欠くことのできない処置ですね。
もう一つのラバーダム防湿に関しては、次回以降のブログで紹介させていただきます。
(マイクロスコープを用いた根管治療は自費診療になります)
カテゴリー:治療例 ,根管治療 投稿日:2026年1月14日











