上顎洞にアプローチしたインプラント治療
石神井公園駅北口徒歩1分、歯周病専門医/指導医、インプラント専修医、医)竹和会 たけのうち歯科クリニックの竹之内です。当院は、歯周病・インプラント・審美歯科・予防歯科に積極的に取り組んでおります。
やむを得ず歯を失った場合には、残存歯を利用してのブリッジや義歯、人工歯根であるインプラント、親知らず等の移植によって、歯の欠損を回復します。
この患者さんは、大学病院勤務の時に先輩だった先生が、勤務していたクリニックで担当していた患者さんですが、
その先生が地方の実家に帰って開業するということで、右上(写真では向かって左)のインプラント治療とその後のメインテナンスの依頼で紹介していただいた方です。
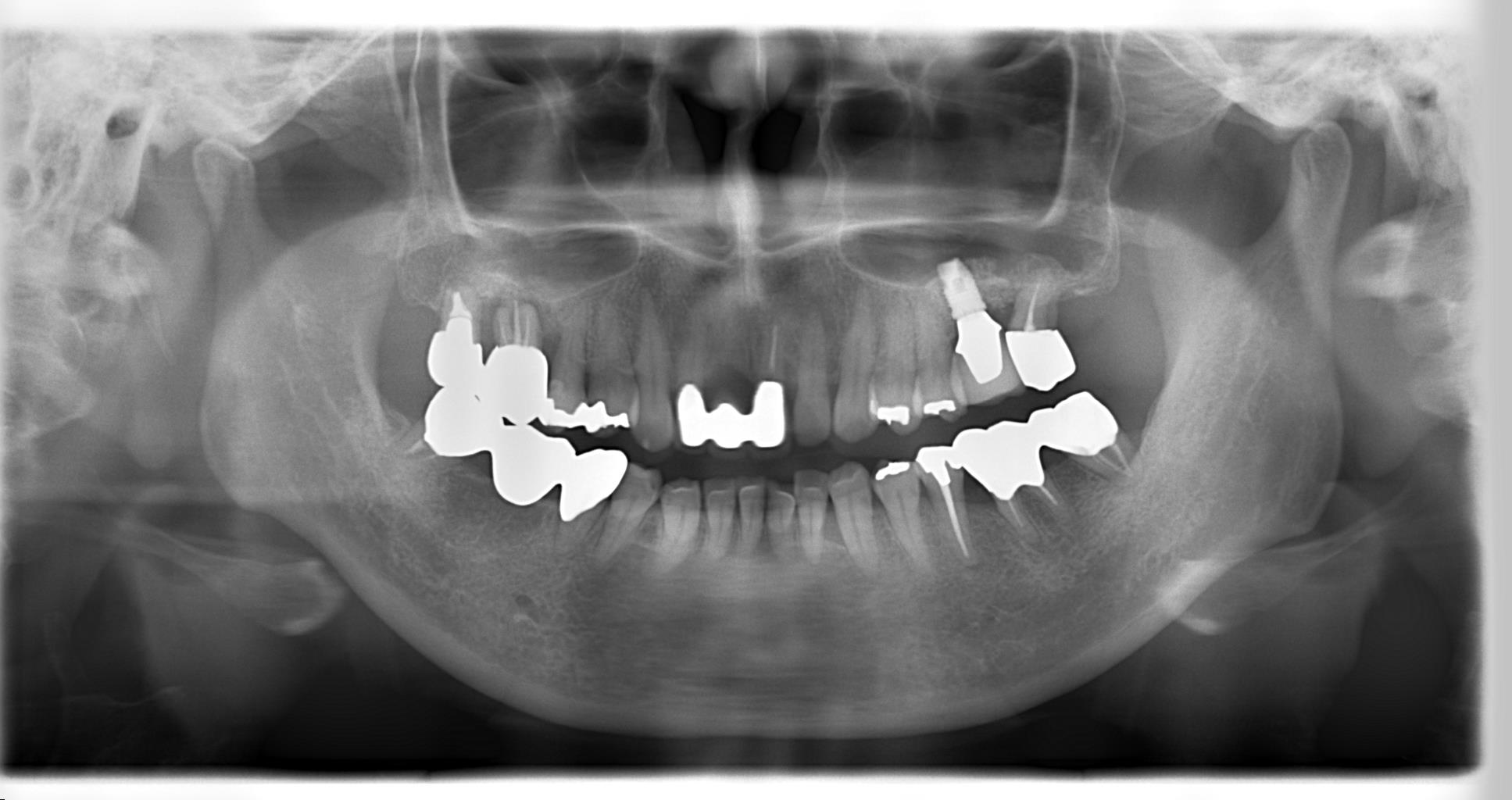
右上の奥から2番目(銀色の被せものが入っている)の周囲の骨がほとんど無くなっており、抜歯せざるを得ない状態です。
抜歯後にレントゲンとCTを撮影すると、
欠損部の歯槽骨がほとんどなく、上顎の奥歯の上方にある上顎洞(副鼻腔)に近接している状態でした。(上顎洞は空洞です)
インプラントは骨内にしっかり埋入しなければなりませんので、この状態では不可能です。
そこで、頬側から上顎洞粘膜を挙上し、そのスペースに人工骨を移植することにより垂直的に骨を造成する、サイナスリフト(上顎洞底挙上術)を行いました。
サイナスリフト後、上顎洞底の位置が変わっているのがわかります。
そして、移植骨が置換し成熟する期間をおいた後に、十分な長さのインプラントを埋入しました。
サイナスリフトにより垂直的に骨を増やすことができたので、このようなインプラント埋入が可能になったのです。
インプラントと周囲の骨がインテグレーションするのを待って、2次手術を行い、最終的にインプラントにメタルセラミックスクラウンを装着しました。
既存の骨がほとんどなく、サイナスリフトを行う必要があったため、治療期間は長くなりましたが、
インプラントによりしっかり噛むことができるようになり、患者さんにも喜んでいただきました。
紹介していただいた先生の気持ちに応え、患者さんの治療が何事もなく終了して良かったです。
今後は、メインテナンスをしっかり受けていただき、予防をしていきたいと思います。









