お口全体を考えた治療
石神井公園駅北口徒歩1分、歯周病専門医インプラント認証医、たけのうち歯科クリニックの竹之内です。当院は、歯周病・インプラント・審美歯科・予防歯科に積極的に取り組んでおります。
当院は、ただ単に痛みが取れればいいという治療ではなく、治療後も長期的に安定して、患者さんがいつまでも自分の歯で生活を送れるような、口腔全体を考えた治療を提供したいと考えております。
この患者さんは、今の状態では将来的に不安だということで、全体的に治してもらいたいと遠方から来院された患者さんです。
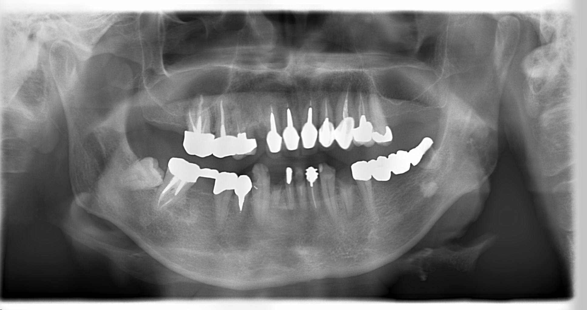
むし歯が大分進行して歯冠が無くなり、歯根だけになっている歯も多数認められます。
治療が困難である予後不良歯は抜歯し、保存可能な歯に対して、むし歯の治療、根管治療、仮歯の装着、クリーニング等を行っていきました。
辺縁骨より下方にむし歯が進行しており、抜歯と判断されるかもしれない歯に対しては、矯正を行うことで歯を挺出(歯を引き出す)し、クラウンを装着できるようにしました。
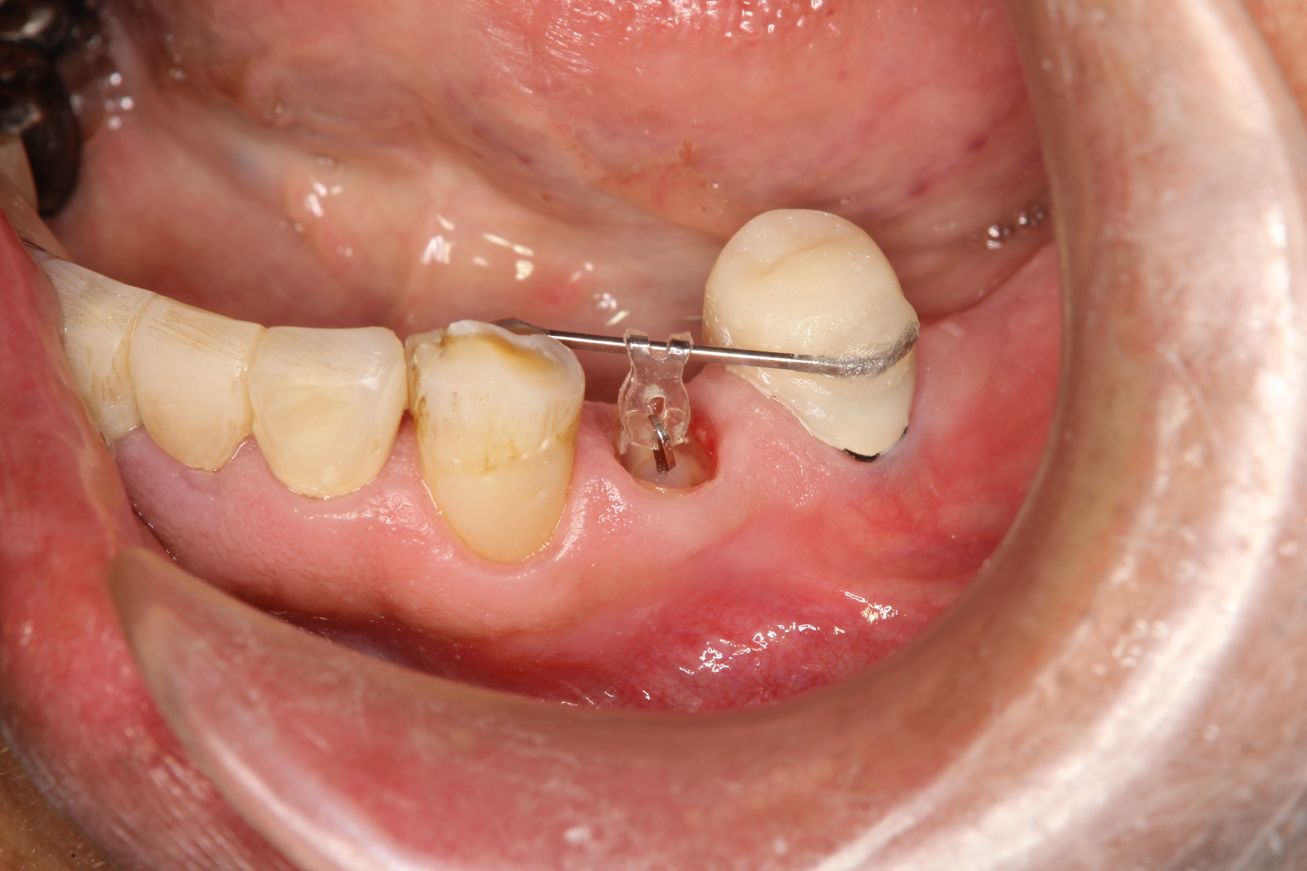
また、左下奥歯の欠損に対してはインプラントを埋入することで入れ歯を回避。
入れ歯に比べると違和感が少なくしっかり噛めるブリッジやクラウンといった固定装置で、歯の欠損部の治療を進めていくことができました。
下の写真は、インプラントを埋入し上顎の一部の前歯を除きすべての歯に仮歯を装着した状態です。
歯の欠損や歯冠形態の回復ができ、噛みあわせや見た目において大分改善しました。
現在は仮歯になっている部位の型取りを行い、最終的なクラウンやブリッジの作製を行っている段階です。
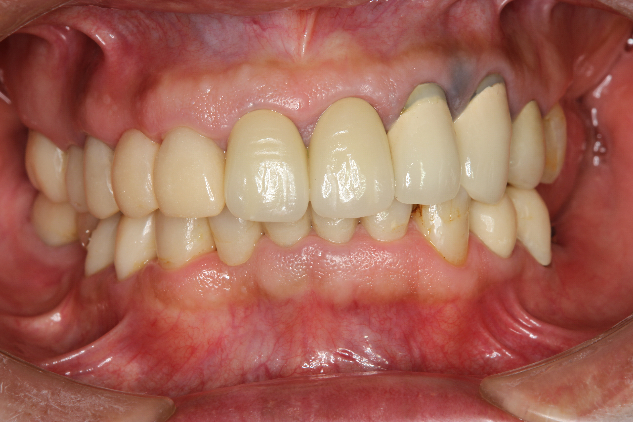
下の写真は、上顎と下顎の前歯部にメタルセラミックスクラウンを仮着(仮にセット)した時のものです。(下顎の臼歯部はまだ仮歯です。)
今後下顎の臼歯部にクラウンを装着し、予定していたすべての治療が終了です。
口腔全体の治療は、状態によっては時間が多少かかることもありますが、
治療後の長い経過や患者さんの人生を考えると、患者さんにとってとても意義のあることだと思います。
カテゴリー:治療例 ,インプラント治療 ,審美歯科治療 ,矯正治療 投稿日:2014年1月20日









