インプラント治療
石神井公園駅北口徒歩1分、歯周病専門医インプラント認証医、たけのうち歯科クリニックの竹之内です。当院は、歯周病・インプラント・審美歯科・予防歯科に積極的に取り組んでおります。
先月にインプラント治療を終えた患者さんの一例です。
この患者さんは、他院にて右下の奥歯を抜歯し、その奥の歯は根の治療をしていたらしいのですが、なかなか状態が改善しないということで来院されました。
根尖病巣(根の先端にできる病気)が大きく抜歯を勧められたそうですが、患者さんはこれ以上歯を抜きたくないという気持ちを強く持っておられました。
診査をすると、確かに予後に不安がある状態でしたが、患者さんは若い女性で、将来を見据えた時にこれ以上欠損部を大きくするべきではない思い、まずは根管治療を開始しました。
すると、根管治療を進めていくにつれ状態は改善し、歯の動揺や噛んだ時の痛みも消失。
抜歯をせずにすみ、患者さんも喜んでおられました。
その後、治療を行った部位と前方の欠損部の噛み合わせの回復をどのようにするか改めて話し合い、欠損部はインプラント治療で機能回復を図ることになりました。
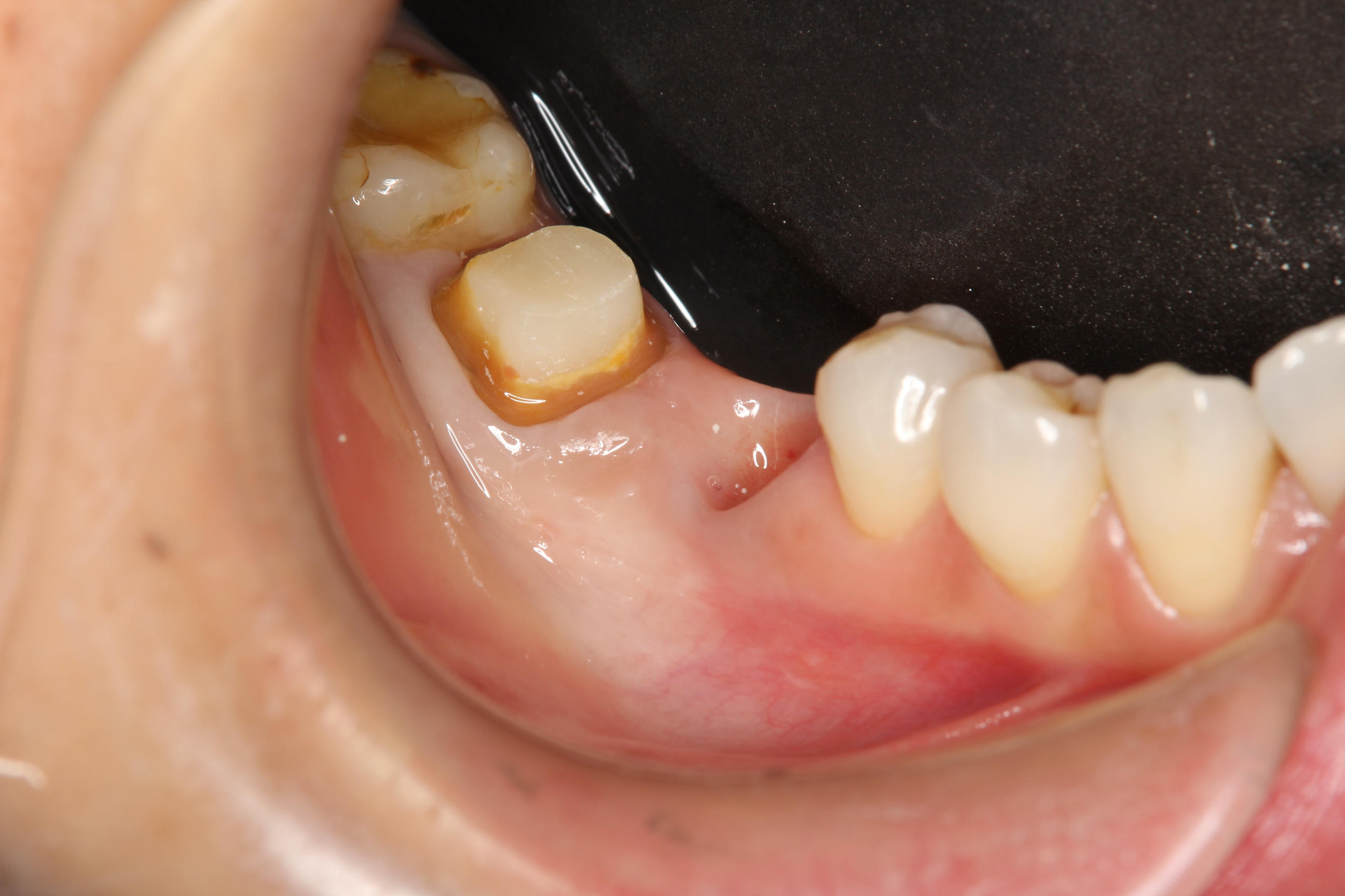
下の写真は、インプラントと天然歯にクラウンを装着する前のものです。
以前にホワイトニングも行っているので、周囲の歯の色は白く明るくなっています。
そして、クラウンを装着すると写真のようになります。
インプラント上部構造もクラウンも周囲と調和しており、患者さんにも満足していただきました。
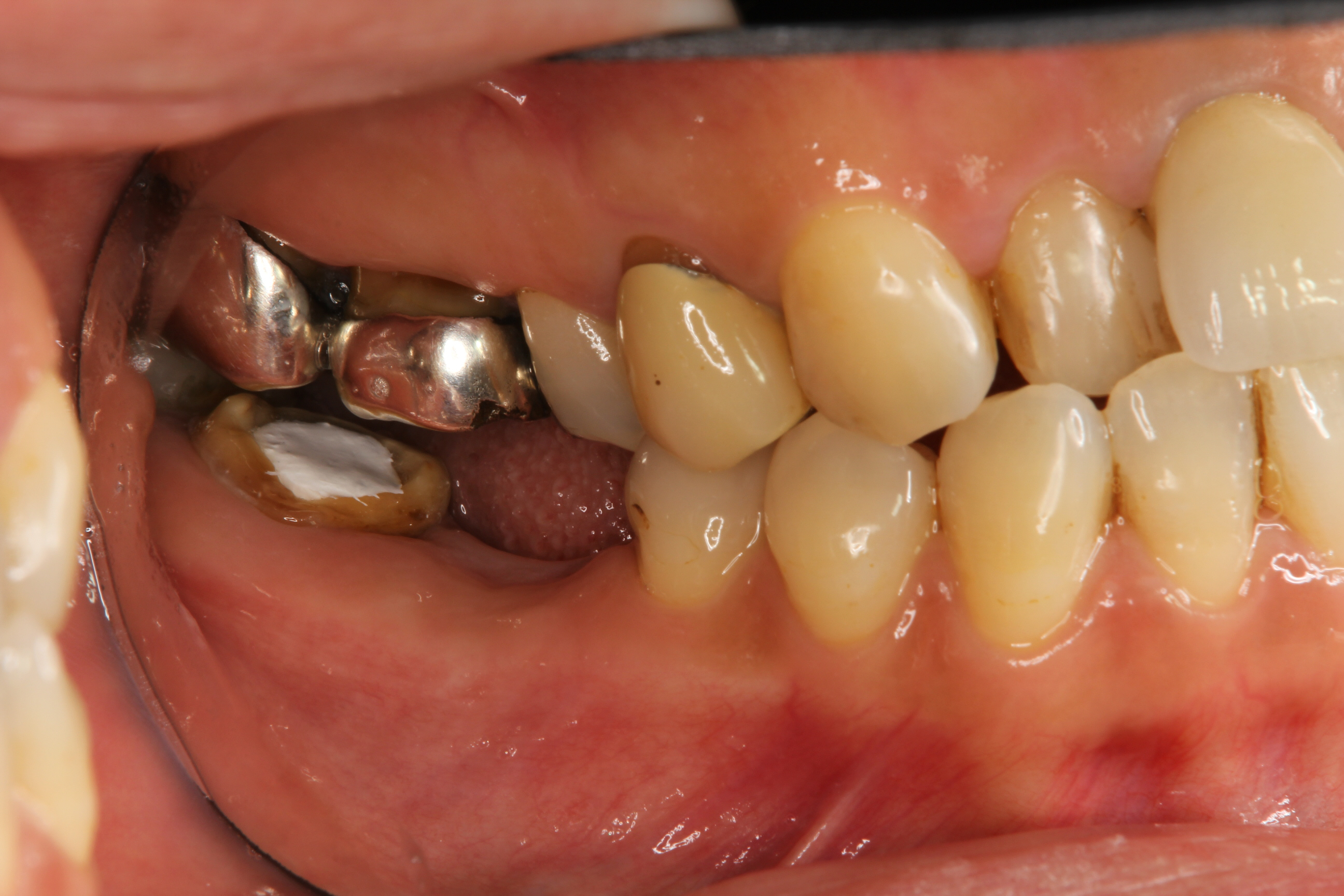
左の写真の患者さんは、奥歯のクラウンが脱離して来院された方です。
こちらの患者さんの場合は、支台になっていた歯が虫歯と破折によりボロボロになっており、抜歯せざるをえない状態でした。
頬側の歯肉を見ると、患歯だけでなく前方の歯にも腫れを認めます。
カテゴリー:治療例 ,インプラント治療 投稿日:2012年9月11日









