歯の神経(歯髄)は大事
石神井公園駅北口徒歩1分、歯周病専門医インプラント認証医、たけのうち歯科クリニックの 竹之内です。当院は、歯周病・インプラント・審美歯科・予防歯科に積極的に取り組んでおります。
虫歯は早期治療が一番。
痛みが出てからでは遅く、歯の神経(歯髄)が炎症を起こす “歯髄炎” という状態になると神経を取らなくてはいけなくなります。
神経を取れば勿論痛みは消失しますが、取って終わりではなく、その後は神経を取った根管内にお薬をつめる根管治療が必要になります。
患者さんに「神経を取るとどうなるのですか?」と聞かれることがありますが、
「その歯の寿命が短くなる可能性があります」とお話しします。
それは、歯の破折が起こりやすくなったり、歯根先端に膿が溜まってしまったりすることで、抜歯になるリスクが高くなるからです。
ですから、神経は可能な限り取らない治療を心がけています。
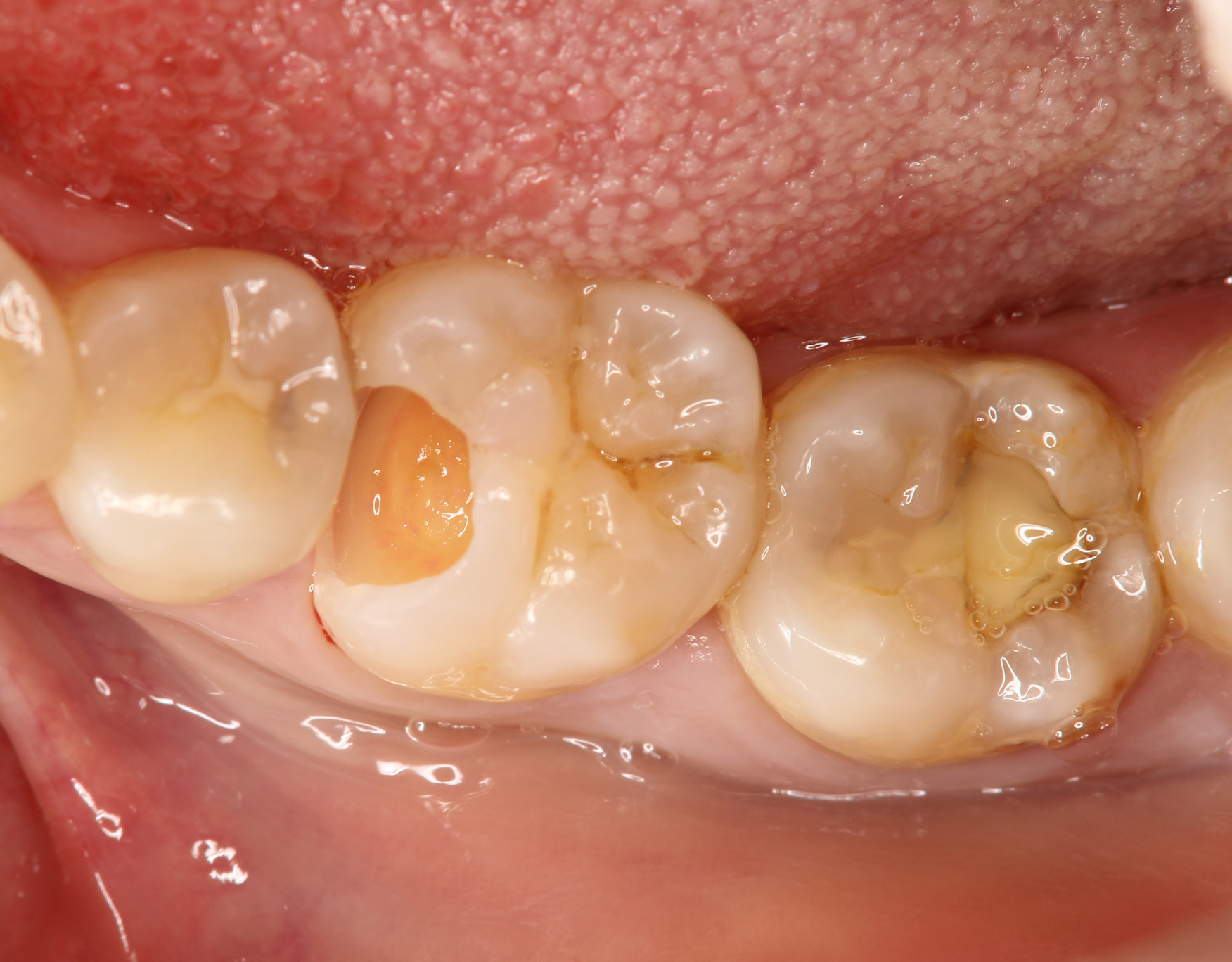
先日、歯がしみると言ってお越しになった患者さんですが、写真のように大きな虫歯が認められました。
レントゲン写真を撮ると、虫歯がかなり進行し、神経まで達しているような状態でした。
神経を取る可能性もあることを伝え、虫歯の除去を開始。
神経に近い部分の虫歯を除去する際には、神経にダメージを与えないように、写真のように先端がスプーン状の器具 “スプーンエキスカベータ” を使用して少しずつ虫歯を除去していきます。
その甲斐もあってか、神経まで穴が開くことなく虫歯を除去することができました。
器械で削っていたら、穴が開いてしまったかもしれませんね。
その後、虫歯を取った部位にADゲル(高濃度の次亜塩素酸ナトリウム)を塗布して、消毒効果も期待しつつ表面処理を行い・・・
(ADゲル:下の写真の白い薬剤)
レジン(樹脂)にて、歯の内部の象牙質を封鎖します。後は仮の詰め物をして、
その日の治療は終了。
そして経過を観察し、痛みなどが出ていなければ、最終的な詰め物をして治療完了となります。
神経を取るのは簡単ですが、少しでも長く歯が機能するために、
神経をできるだけ取らないですむよう配慮して治療を行っております。
カテゴリー:治療例 ,虫歯治療 ,歯科医療 投稿日:2011年10月28日









