コーヌス義歯〜歯周病でダメージを受けた歯のために〜
石神井公園駅北口徒歩1分、歯周病専門医/指導医、インプラント専修医、医)竹和会 たけのうち歯科クリニックの竹之内です。当院は、歯周病・インプラント・審美歯科・予防歯科に積極的に取り組んでおります。
患者さんは、40代で既に重度歯周病に罹患している患者さんです。
歯周病専門医として、患者さんの歯を残すための労は惜しみませんが、どうしても抜歯を余儀なくされることもあります。
この患者さんも、歯周病がかなり進行し、歯を支えている骨は残っておらず、抜歯せざるを得ない歯が多くありました。
抜歯をすると、多くの場合に必要になるのが、補綴処置です。インプラントやブリッジ、義歯(入れ歯)などで失った歯の機能を回復させなければなりません。
この患者さんの場合、上顎においては数本の歯がなんとか残せる状態でした。
しかしながら、歯の位置からブリッジだけで欠損を全て回復するのは困難であり、インプラントは処置内容や費用的に厳しい状況でした。
その場合は義歯による補綴処置になりますが、部分義歯はクラスプという金具を残存歯に引っ掛けて義歯が外れたり動かないようにする必要があり、歯周病によりダメージを受けてグラグラしている歯の予後を考えると、さらなる負担をかけることは避けたいところです。
そこで今回患者さんに提案させていただいたのが、コーヌスクローネ義歯です。
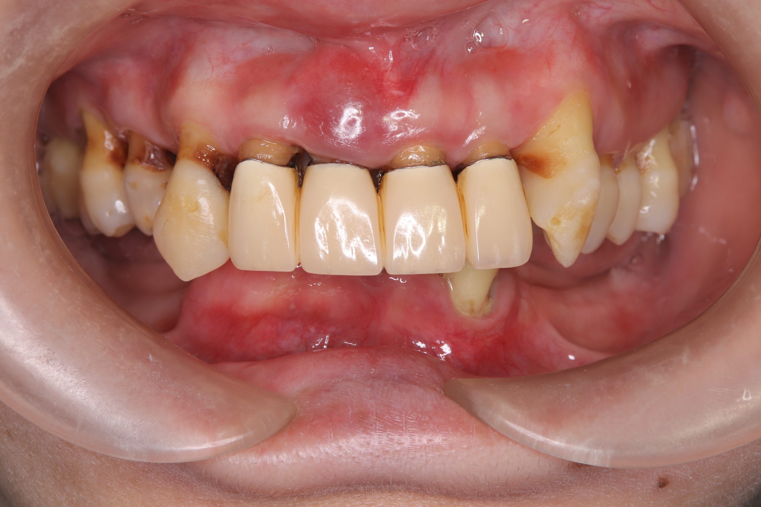
義歯の維持としてクラスプを使わないで、2重構造(内冠と外冠)でできた冠を使って安定させる義歯です。残っている歯に金属の内冠を被せ、この内冠に適合する外冠を作り、茶筒の原理でしっかりと義歯を固定させます。
義歯を装着することで、グラグラしている歯同士を連結・固定できるため、歯周病に罹患した歯にかかる負担を軽減し、温存しやすくできます。
下の写真は、上顎にコーヌスクローネ義歯を装着したところです。
デメリットは、①内冠を被せるために歯を削る必要があること ②他の義歯より、治療期間がかかることが多いこと ③自費診療となるため費用がかかることなどがあります。
歯周病の患者さんに歯の欠損がある場合、残っている歯周病罹患歯の予後をなるべく悪くしないように考慮して補綴治療を考える必要があります。
様々な治療法がある中で、それぞれ利点や欠点がありますので、しっかり説明を受け理解した上で選択しましょう。











