歯周病治療の流れ
石神井公園駅北口徒歩1分、歯周病専門医/指導医、インプラント専修医、医)竹和会 たけのうち歯科クリニックの竹之内です。当院は、歯周病・インプラント・審美歯科・予防歯科に積極的に取り組んでおります。
当院は、専門医による歯周病治療を受けられるクリニックです。
患者さんの歯周病の状態は様々ですが、まずは歯科医師と歯科衛生士による徹底した歯周組織の炎症のコントールを行い、その後の再評価で必要と判断した場合にはフラップ手術等の歯周外科処置を提案させていただき、同意が得られれば進めていきます。
多くの歯周病は、精度の高いスケーリング・ルートプレーニングを行えば改善できると思っていますが、歯や歯周ポケットの形態は複雑な場合もあり、どうしても改善が難しい場合には歯周外科処置により見える化を図り、残存したプラークや歯石をしっかり除去することが必要になります。
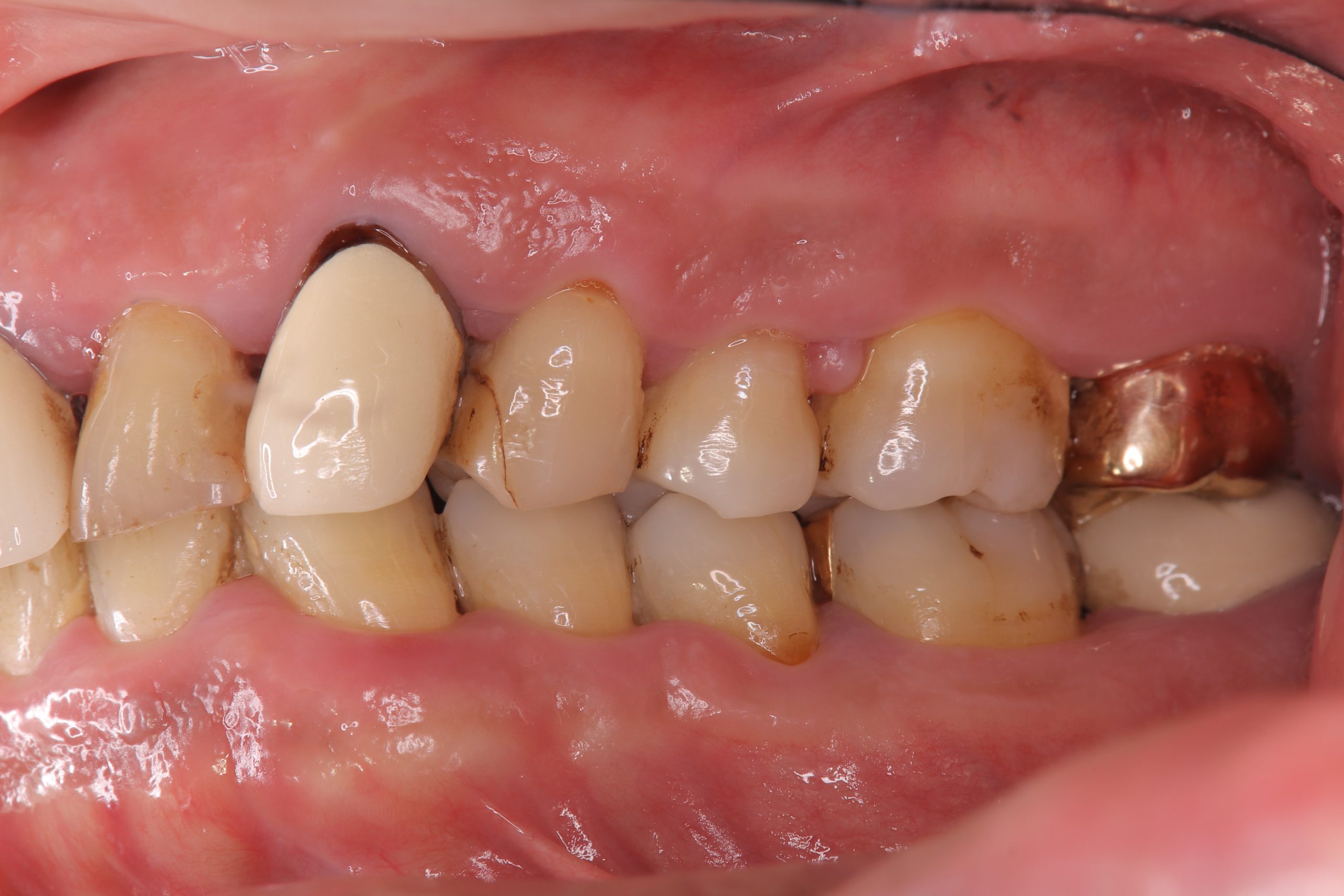
写真は、全体的に歯周病が進行している患者さんのものです。全体的に歯肉が腫れています。
下の第2大臼歯(写真では一番右端)は、ポケットの最深部が12mmもあり、
レントゲン写真を見ると、歯の周囲の骨がかなり吸収しているのが確認できます。
黄色の線は、溶けてしまった歯槽骨の形を示しています
まずはクラウンを除去し、根管治療とスケーリング・ルートプレーニングを行い、自然移動をさせつつ経過をみましたが、深い歯周ポケットが一部残存してしまいました。
そこで、歯周外科処置で対応することになり、歯周組織の再生も期待できそうでしたので、再生療法も併せて行っていきました。
歯肉を剥離すると、根分岐部(歯根の分かれ目)を含む骨の吸収を認めます。
歯根表面の清掃をしっかり行った後に、再生を促すゲルと人工骨を混合したものを骨吸収部に移植し、
その後、切開した部分がしっかり閉鎖するように、細い糸を用いて緊密に縫合します。
下のレントゲン写真は、手術から約1年後のものです。治療前に認められた骨の吸収部が改善しています。
再生療法を行った部位の歯周ポケットも3~4mm程度になり、全体的にも歯周ポケットの改善を認めます。
状態の安定を確認した後、最後にゴールドクラウンを装着し、メインテナンスへと移行しました。
患者さんのプラークコントロールに少々波があるため、メインテナンスでは注意してみています。
歯周病の治療には時間がかかることもありますが、まずは基本的な治療をしっかり行い、必要に応じて歯周外科処置を行っていくという流れがやはり大切だと考えます。
数年後、数十年後でも、ご自身の歯でしっかり噛めるようにするためにも、歯周病治療やチェックはしっかり受けることをお勧めします。
(歯周組織再生療法は、すべてのケースに適応になるわけではありません。プラークコントロールが著しく不良であったり、コントロールされていない全身疾患があったり、重度の喫煙者であったりした場合、難しいと判断します。また行っても100%の再生が得られるというわけではありません。やはり早期治療が大切ということになります。)
カテゴリー:歯周病治療 ,治療例 投稿日:2023年4月19日



















