歯肉の健康のためには
石神井公園駅北口徒歩1分、歯周病専門医/指導医、インプラント専修医、医)竹和会 たけのうち歯科クリニックの竹之内です。当院は、歯周病・インプラント・審美歯科・予防歯科に積極的に取り組んでおります。
当院には二人の歯周病専門医がいるので、歯周病の治療やインプラント治療を希望される患者さんが多くいらっしゃいます。先日マスコミなどでも取り上げられましたが、インプラント周囲組織の炎症を認める患者さんも多く、歯やインプラントの健康を長期に亘って維持するためにも、口腔内環境を整えることを念頭に置く歯周病治療の重要性はますます高まってくると考えます。
口腔内環境を整えるために様々なアプローチを行いますが、その1つとして、プラークが停滞しやすい詰め物や被せ物を治すことがあります。
それは、白い詰め物や被せ物を入れることではなく、歯との適合が良くて隙間にプラークが残らない、口腔清掃を妨げない、形態が歯や歯肉と調和している、というような修復物を入れるということです。
それを行うことで、プラークコントロールはしやすくなり、付着量も減少するため、炎症が改善し、とても綺麗な色や形態をした歯肉になります。
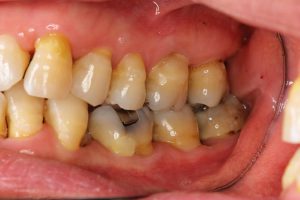
下の写真は、全体的に詰め物や被せ物を治し、上顎前歯部には2本のクラウンを装着し連結した方です。
初診時の側方からの写真を見ると、臼歯部(奥歯)の歯頚部(歯の根元)にコンポジットレジンが充填されていますが、少しオーバーに充填されているような部位もありました。
初診時
全体的にスケーリング・ルートプレーニングを行い、修復物を治していきましたが、
歯頚部のコンポジットレジンにおいては、オーバーにならないよう充填し綺麗に研磨することで、歯肉の回復も認められ形態も良好になっていると思います。
治療後
このように、たとえ小さな詰め物であっても、歯肉への影響は大きいことがあります。
歯周病を治したい、歯肉を健康にしたい、ということであれば、クリーニングをするだけでななく、歯や歯肉にあった詰め物や被せ物を入れることも大事になります。
カテゴリー:歯周病治療 ,治療例 ,審美歯科治療 投稿日:2016年12月16日



















