前歯の審美的改善
石神井公園駅北口徒歩1分、歯周病専門医/指導医、インプラント専修医、医)竹和会 たけのうち歯科クリニックの竹之内です。当院は、歯周病・インプラント・審美歯科・予防歯科に積極的に取り組んでおります。
以前に奥歯の治療をして、
治療前
治療後
その後しばらくはメインテナンスを行っていた患者さんですが、上顎前歯部のクラウンブリッジの形態や歯肉退縮(歯肉が下がる)も気になっていたようで、この度治療をすることになりました。
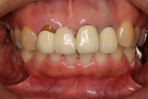
治療前
前歯1本が欠損しており、ブリッジとクラウンが装着されておりました。歯肉が退縮して歯と被せ物の境目や歯根が露出していたり、周囲の歯との色調が合っていなかったりと、審美的な障害を引き起こしていました。
4つの補綴物を除去して、必要な歯は再根管治療を行い、最終的には下の写真のように形成して型取りを行いました。
周囲の天然歯の色は比較的濃く、以前装着されていたクラウンの色とはギャップがありましたので、今回作製する補綴物は周囲と調和するように配慮しました。
治療後
メタルで裏打ちされているセラミックスクラウン(メタルセラミックスクラウン)を装着しました。
患者さんに色々話を聞いてみると、この前歯はかなりコンプレックスだったようで、今回このように改善できて本当に良かったとおっしゃっていました。
しっかり歯を見せて笑えるようになって、その患者さんの生活がさらに明るいものになれば、歯科医師として嬉しいかぎりです。
カテゴリー:治療例 ,審美歯科治療 投稿日:2015年5月27日














