ウォーキングブリーチとコンポジットレジン充填
石神井公園駅北口徒歩1分、歯周病専門医/指導医、インプラント専修医、医)竹和会 たけのうち歯科クリニックの竹之内です。当院は、歯周病・インプラント・審美歯科・予防歯科に積極的に取り組んでおります。
前回のブログに引き続き、コンポジットレジンを使用した治療の紹介です。
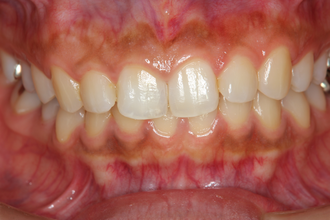
写真を撮った時に前歯が暗いのが気になるということで来院された方です。
上顎右側中切歯(真ん中2本の左側の歯)だけが、反対側の歯と比べて暗い感じがわかると思います。
小さい頃に前歯を打撲して神経が失活してしまったために、神経を取る治療を受けたそうです。
また、変色歯とその隣の歯の先端部を見ると、少し欠けたような形跡があり、
患者さんに確認すると、小さい頃に歯医者さんで削ったとのことで、そこも以前から気になっていたとのことでした。
そこで、患者さんと治療法について相談し、
変色歯には薬剤を用いたウォーキングブリーチを行い、漂白後に前歯の先端にコンポジットレジン充填を行い、歯の形態を改善することにしました。
写真が術後です。
暗く見えていた変色歯も隣接している歯と同等の明るさになり、また、両前歯の先端部にレジン充填を行うことにより、歯の形態も綺麗になりました。
歯を極力削ることなく、色や形態を改善することができるのは、ウォーキングブリーチやコンポジットレジン修復の優れたところです。
症例を適切に選択すれば、とても良好な予後が期待できると考えます。
カテゴリー:治療例 ,審美歯科治療 投稿日:2014年11月14日









