包括的な治療で、お口の長期的な健康維持を目指しています
石神井公園駅北口徒歩1分、歯周病専門医/指導医、インプラント専修医、医)竹和会 たけのうち歯科クリニックの竹之内です。当院は、歯周病・インプラント・審美歯科・予防歯科に積極的に取り組んでおります。
たけのうち歯科クリニックでは、診療理念の一つである「長期的に安定した治療結果を目指す」を常に念頭に置き、スタッフ一同診療を行っております。
ですから、そのような考えに共感していただいたのか、
痛みなどの症状がなくても問題があればしっかり治療して、その後のメインテナンスを希望される患者さんが多くいらっしゃいます。
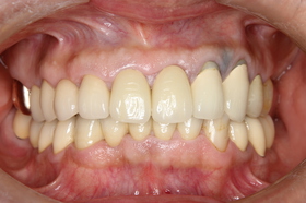
下の写真の患者さんも、
被せものの脱離や破損がある、歯肉が時々痛くなったり腫れたりすることがあるということで、全体的な治療を希望され来院されました。
写真は初診時のものです。
すべての歯が何らかの治療を受けている歯でありました。
その中で、左下(写真では右下)に装着されているブリッジの支台歯の一つは歯根破折、右上(写真では左上)の犬歯は進行した虫歯で、抜歯せざるをえませんでした。
むし歯で残存歯質が歯肉縁下になってしまっている左下(写真では右下)の奥から5番目の歯は、下の写真のように矯正で挺出(引き出すこと)を行いました。
また、左下の奥歯を失った部位には、患者さんの希望によりインプラント治療を行い、義歯(入れ歯)の装着を回避しました。
インプラントと可動粘膜との近接を認めたため、上部構造(被せもの)を作製する前には、写真のように遊離歯肉移植術も行っております。
右下の写真は、術後でまだ仮歯の状態ではありますが、移植によりインプラント周囲に角化粘膜ができたことが確認できると思います。
以上、いくつかの部位の治療についてお話しましたが、
最終的には、上の前歯以外は、むし歯や根の病気が認められたり、被せものの適合や形態を改善する必要があっため治療を行いました。
すべての治療が終了した状態が下の写真です。
セラミックスとハイブリッドレジンを併用して、インレー・クラウン・ブリッジを作製しました。
少し治療期間が長くなりましたが、患者さんがとても治療に協力的で理解してくれていたので、私もスムーズに診療を進めることができました。
すべての治療が終わった後の、患者さんの晴々した表情がとても印象に残っています。
今後はしっかりメインテナンスを行って、良好な口腔を維持し、患者さんの健康を守っていきたいと思います。
カテゴリー:治療例 ,インプラント治療 ,審美歯科治療 投稿日:2014年9月22日









