セラミックスによる前歯の治療
石神井公園駅北口徒歩1分、歯周病専門医/指導医、インプラント専修医、医)竹和会 たけのうち歯科クリニックの竹之内です。当院は、歯周病・インプラント・審美歯科・予防歯科に積極的に取り組んでおります。
その方の表情や笑顔を印象付ける前歯は、女性にとって特に大事だと思います。
患者さんは歯科衛生士の方で、上の前歯をきれいにしたいとのことで来院されました。
⇩ ↓ ⇩
⇩で示した歯(側切歯)は、変色した歯の色を目隠しするためと、他の歯より奥に入り込んでいる感じを改善するために、歯の表面にレジンが充填されておりました。
また、↓で示した歯(中切歯)には、クラウンが装着されていました。
どれも歯との適合状態や形態があまり良くなく、歯肉の炎症もあり、本人が気にされているのもよくわかります。
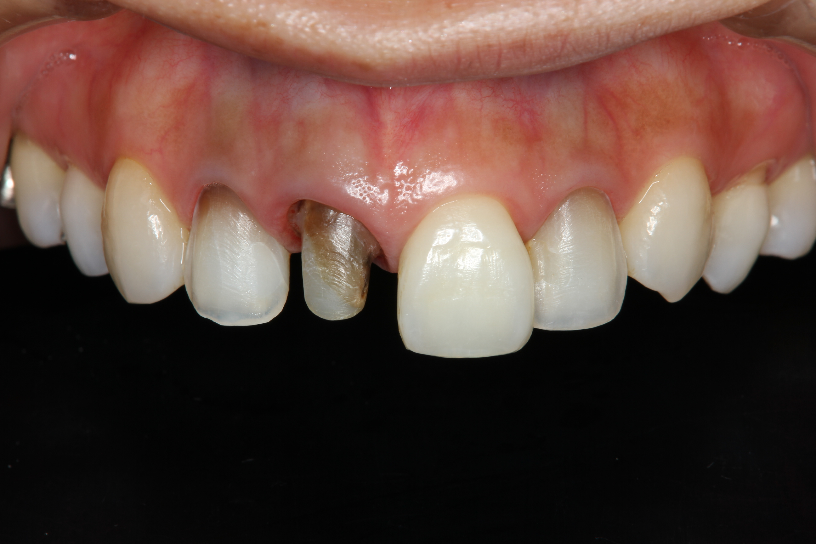
中切歯のクラウンを除去して仮歯を装着し、側切歯の表面に充填されていたレジンを除去した際が下の写真です。
失活歯(神経を除去している歯)であり、変色がかなり強いのが見てとれます。
患者さんと相談の後、
すべての歯の根管治療をやり直して、ファイバーポストを装着し、セラミックスを使用したクラウンとラミネートべニアによる修復を行っていきました。
その際に、ラミネートべニアを行う両側の側切歯は変色が強く、このまま修復すると薄いべニアでは変色を隠しきれないと判断し、根管治療後にウォーキングブリーチを併用しました。
クラウンとべニアの形成が終わり、型取りを行う際の写真がこちらです。
ウォーキングブリーチにより、両側の側切歯の変色はかなり改善しています。
作製されたジルコニアセラミックスクラウンとラミネートべニアの色や形態の確認といった試適を経て、
装着した状態が下の写真です。
セラミックスによる治療で前歯が綺麗になっただけでなく、
ホワイトニングを行い、クラウン・べニアと歯との境目を歯肉縁下に設定したことにより、変色歯の影響を受けていた歯肉の色も大分明るくなりました。
治療後に患者さんから、「先生にお願いして良かった」 と言っていただき大変嬉しかったです。
いつも差し入れありがとうございました!
カテゴリー:治療例 ,審美歯科治療 投稿日:2014年7月15日









