長く保つ治療を提供する
石神井公園駅北口徒歩1分、歯周病専門医インプラント認証医、たけのうち歯科クリニックの竹之内です。当院は、歯周病・インプラント・審美歯科・予防歯科に積極的に取り組んでおります。
写真は、前歯の被せもの(クラウン)が脱離したということで来院された患者さんです。
クラウンだけでなく、一緒にコア(土台)も脱離している状態でした。
脱離した歯も含めて、4本の前歯にオールセラミックスクラウンが装着されておりました。
脱離する原因には、むし歯だけでなく、クラウンやコアと歯との適合精度・コアの形態・セメントの接着不足・噛みあわせの状態なども影響することを伝え、患者さんの同意も得られたので、当院にて再度治療をすることになりました。
クラウンを作製する前に根管治療からやり直していたところ、違う前歯のクラウンも脱離してきてしまい、2歯同時に治療を進めることになりました。
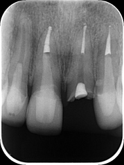
下のレントゲン写真は、脱離した歯の根管内に薬を詰めた状態です。
根管充填後、土台としてファイバーコアを装着し、オールセラミックスクラウンを作製しました。
作製したクラウンは、以前装着されて残っているクラウンに合わせるように作製し、見た目の違和感がないようにしました。
↓ ↓ ↓ ↓
前歯の治療を終え、奥歯のむし歯治療や金属の詰め物を白くする審美歯科治療を行っていたところ、
今度は、今回治療をしていない2本の前歯クラウンのうち1本が脱離してきてしまい、前歯の治療も再開することに。
レントゲン写真は、クラウンが脱離した歯の根管治療後です。ファイバーコア・オールセラミックスクラウンを装着した両隣の歯は経過良好と思われます。
↓ ↓ ↓
すべての治療を終えた後の前歯部の写真です。↓ で示した前歯3本を治療しています。
↓ ↓ ↓
その他、奥歯でむし歯や根の病気があった部位を治療し、セラミックス等で審美的な回復も合わせて行いました。
治療前
治療後
特に問題のない金属の詰め物は、そのままにしてあります。
残念なことに、歯科の治療はやり直しが多いですが、私は長く保つような治療を提供したいと考えております。
カテゴリー:治療例 ,審美歯科治療 投稿日:2013年10月2日









