周囲と調和したインプラント・審美歯科治療
石神井公園駅北口徒歩1分、歯周病専門医インプラント認証医、たけのうち歯科クリニックの竹之内です。当院は、歯周病・インプラント・審美歯科・予防歯科に積極的に取り組んでおります。
今回は、紹介してくれたOさんにブログを通じて報告です。お父さんの治療が終了しました!
昔一緒に働いていたスタッフの紹介でいらっしゃった、そのお父様。
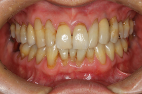
娘の結婚式があるので、前歯のレジン前装クラウンと奥歯の銀色のクラウンをやり直して欲しいということで来院されました。
↓ ↓
娘さんと一緒にいい写真が撮れるように、必要な部位のむし歯治療や根管治療を行い、その2本の歯にはメタルセラミックスクラウンを装着しました。
当院が依頼しているセラミスト(歯科技工士)が、隣の天然歯のキャラクターをクラウンに忠実に表現してくれて、とても自然な仕上がりになりました。
治療が結婚式に間に合って一安心したのをよく覚えています。
結婚式には私達家族も招待してくれて、とても幸せな時間を過ごさせていただきました。
その後は、結婚式も終わり落ち着いたので、脱離を繰り返している左上犬歯(写真では右上)のクラウンの治療をしましょうということで進めていきました。
レントゲン写真を見ると、何度も脱離の度に作り直しているからか、このように太くて長い土台が装着されており、残存歯質はあまりない状態でした。
クラウンと土台は簡単に外れ、歯根をよく観察してみると、予想していた通り破折線が認められました。
この状態では、再度被せなおしたとしても、中長期的に維持するのは難しいことを患者さんに説明し、
抜歯してインプラント治療を行うことになりました。
抜歯後の歯槽骨は幅があまり無く、インプラントを埋入すると、術前の診断通り、インプラントの一部がこのように露出した状態になったので、人工骨と非吸収性メンブレンを使用した歯槽骨の造成(GBR)を行い縫合しました。
治癒期間中にメンブレンの露出等はなく、良好に経過しました。
写真は、インプラント埋入+GBR 後です。
その後、歯肉のボリュームを増やすために、2次手術時に結合組織移植を行いました。
そして、インプラント固定の仮歯を作製し、歯肉形態の調整や噛みあわせのチェックを行い、
最終的な上部構造として、下の写真のようにメタルセラミックスクラウンを装着しました。
↓
左が術後で、右が術前です。
術前は、犬歯部の歯肉が著しく退縮(下がっている)していましたが、GBRや結合組織移植を併用することで、周囲と調和した歯肉形態に回復することができました。
きれいになったと患者さんにも喜んでいただき、紹介していただいた娘さんの気持ちに応えることができて何よりです。
Oさん、ご家族皆さんを紹介してくれてありがとうございます!
ご夫婦との食事会楽しみにしていますよ~
カテゴリー:インプラント治療 ,審美歯科治療 投稿日:2013年10月24日









