長く安定する状態を得るために
石神井公園駅北口徒歩1分、歯周病専門医インプラント認証医、たけのうち歯科クリニックの竹之内です。当院は、歯周病・インプラント・審美歯科・予防歯科に積極的に取り組んでおります。
様々な不調和を改善し、機能的で美しい口腔内を得るためには、全顎的(お口の全体的)な治療を行うことが多くなります。
歯周病が進行している、被せものが多く装着されており改善の余地がある、根の病気がある歯が多い、などということがあると、
被せものを除去して仮歯にして、それから根の治療をやり直し、同時に歯周病の改善もはかり、そして再び被せなおすといったことが必要になるので、どうしても時間がかかってしまうこともあります。
しかし、当院に来院される患者さんは、時間がかかってもしっかり治したいという方が多く、そのような患者さんの気持ちに応え、治療後も長く安定するような口腔内にするために、ひとつひとつの治療を確実に行うよう日々診療に取り組んでおります。
写真は、先日治療が終了し、メインテナンスに入った患者さんです。
はじめは「下の奥歯が痛い」ということで来院されたのですが、その部位の治療が終わり、
現在の状態を検査説明し、患者さんと色々話してみると、
古い被せものが気になる、歯肉が時々腫れたりする、入れ歯が合わないといったことを訴えておりました。
そこで、それらの悩みを解消するべく、治療を始めていきました。
被せものをすべて除去し仮歯を作製、根の治療をやり直し、義歯(入れ歯)も治療用の仮義歯を作製しました。
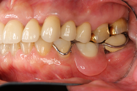
すべての根の治療が終わり、写真で一番右側の奥歯のアップライト(部分矯正により倒れている歯を起こす)が終わり、仮歯と治療用義歯が装着されている状態です。
この後、最終的な被せ物と義歯の作製に移行していきます。
クラウン装着前の上顎はこのようになっています。
根の治療を行った歯にはコア(土台)が装着されています。
そして、型取りを行い、このような状態でメタルセラミックスクラウンが出来上がってきます。
下顎の欠損部は金属床義歯で補うことになりました。
写真は、すべてのクラウンと義歯を装着し、治療後の再評価をした時のものです。
患者さんが継続して通ってくれたおかげで、予定していた治療をすべて終わらせることができました。
多少時間はかかりましたが、患者さんにも「きれいでしっかり噛めるようになりました」と満足していただき、とても嬉しかったです。
自分の行った治療で患者さんがHappyになり、それが長く良好であるという状態にするのが、自分の提供したい歯科医療です。









