重度歯周病の治療 ~再生療法~
石神井公園駅北口徒歩1分、歯周病専門医インプラント認証医、たけのうち歯科クリニックの竹之内です。当院は、歯周病・インプラント・審美歯科・予防歯科に積極的に取り組んでおります。
歯周病治療において最も重要なのは歯周基本治療です。
歯周基本治療とは、歯周病の原因因子の除去と歯周病を憎悪するリスクファクターの除去するために行う治療のことをいい、
具体的には、プラークコントロールや生活習慣の改善・歯石の除去・予後不良歯の抜歯・むし歯の治療・欠損部の治療・噛み合わせの治療・プラークコントロールを妨げる不良修復物の除去・悪習癖の除去などを行うことです。
歯周病治療の第一ステップであり、この治療の内容が、患者さんの経過を大きく左右するといっても過言ではありません。
今日まで、様々な状態の歯周病患者さんを担当してきた専門医として、この基本治療を徹底して行えば、多くの歯周病は治ると考えています。
しかしながら、徹底した歯周基本治療を行っても改善しにくいことがあります。
そのひとつとして、大臼歯(奥歯)の根分岐部周囲に歯周ポケットが存在するケースです。
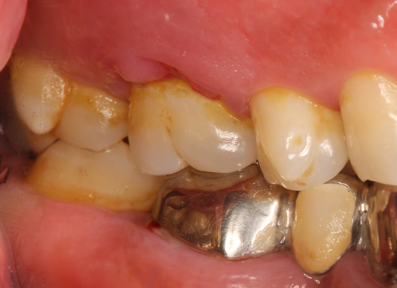
写真は初診時のものですが、口腔内全体が重度歯周病であり、上顎の第一大臼歯(⇓)周囲の歯肉の炎症も非常に強く認められます。
⇓
歯周基本治療を行い、歯肉の炎症も大分改善はしましたが、根分岐部がからんでおり、歯周ポケットは深い部位で8mmを示しました。
そこで、患者さんと今後について話し合い、
歯周基本治療では除去できない原因因子や炎症を外科的に除去し、失われた歯周組織の再生を図る歯周外科治療(歯周組織再生療法)を先日行うことになりました。
局所麻酔後に歯肉を剥離し、深い歯周ポケットが認められた部位をきれいにすると、このような状態になっています。
根分岐部(根の分岐している所)を中心に、かなり歯槽骨が溶けてしまっています。
歯周基本治療でなかなか改善しないのもうなずけます。
そこで、エムドゲインという歯周組織の再生を促す材料と人工骨を併用した再生治療を行いました。
下の写真では、骨欠損部(骨が溶けている部分)がエムドゲインと移植材料で満たされているのがわかると思います。
その後は縫合し閉鎖。
翌日CHECKにいらっしゃいましたが、腫れも痛みもなく、鎮痛剤も飲まずに済んだとのことで、良好な状態でした。
今後の歯周組織再生の経過はまた紹介できればと思います。
臼歯(奥歯)の歯周病が進行すると、このような根分岐部の問題が出てきます。
勿論、そうなる前に歯周病治療を受けるのが一番ですが、もし重度の歯周病に罹患してしまい、根分岐部病変を伴っている場合には、
すべてのケースではありませんがこのような治療で対応することも可能です。
カテゴリー:歯周病治療 ,治療例 投稿日:2013年6月16日









