全体的な歯科治療をするなら
石神井公園駅北口徒歩1分、歯周病専門医インプラント認証医、たけのうち歯科クリニックの竹之内です。当院は、歯周病・インプラント・審美歯科・予防歯科に積極的に取り組んでおります。
今年初めての臨床に関するブログ更新です。
患者さんの歯科や治療に対する理解を深めてもらうため、今年もブログを通じて伝えていきたいと思います。
左下の奥歯が痛くて噛めないということで来院された患者さん。
元々クラウン(被せ物)が装着されていましたが、外してみると、写真のように真っ二つに割れてしまっていました。
破折の仕方によっては治療により保存することも可能ですが、今回は歯根周囲の骨も著しく吸収してしまっており、やむなく抜歯になりました。
抜歯後、口腔内の検査をひと通り行い、その後の治療について患者さんと話し合いました。
話していくと、患者さんは来院されるきっかけになった歯以外にも、見た目や入れ歯についても悩みを持たれておりました。
全体的にしっかり治したいということで、いくつかの治療計画を提案させていただき、患者さんの了承を得ることができたので、クラウンや入れ歯をすべて統一したコンセプトの下でやり直し、見た目・噛み合わせ・口腔内環境の改善を図ることにしました。
クラウンをすべて除去し仮歯に置き換え、治療用の入れ歯を装着し、虫歯の除去や失活歯(神経をすでにとってある歯)においては根管治療をすべて治していきました。
また、左下にはブリッジが装着されていましたが、一番奥の支台歯が手前に傾斜していましたので、部分矯正によりアップライト(倒れている歯を起こし歯軸を改善する)を行いました。
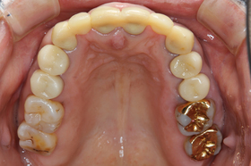
下の写真は、上記のような治療が終わり、最終的なクラウンや入れ歯を作製するための型取りを行う前の状態です。
上顎は10歯、下顎は2歯に仮歯が装着されており、また下顎の欠損部には治療用の義歯が装着されています。
患者さんの理解や協力があってこそ、ここまで進めることができます。
そして先日、上顎の型取りから行いました。
より精度の高い型取りを行うため、歯肉圧排(一時的に歯と歯肉の間に細い糸を入れることで隙間を作る)を行い、患者さん専用のトレーを用いてシリコン材料で型取りをします。
とても精密な処置である歯肉圧排を10本の歯にするため、型取りをするだけでとても時間がかかりますが、最終的に出来上がるクラウンの精度にとても影響するため気を抜くことができません。
全体的な治療も大詰め。
ここまで頑張って通っていただいた患者さんの気持ちに応えるためにも、一つ一つのステップを大事にしていきます。
治療がすべて終了したらまた報告したいと思いますが、治療後に患者さんの笑顔が見られると最高ですね。









