当院の審美歯科治療
石神井公園駅北口徒歩1分、歯周病専門医インプラント認証医、たけのうち歯科クリニックの竹之内です。当院は、歯周病・インプラント・審美歯科・予防歯科に積極的に取り組んでおります。
下の写真は、右上の犬歯のクラウンが脱離したとのことで来院された患者さん。
クラウンだけでなく、コアと呼ばれる土台も一緒に脱離していました。
コアごと脱離した際に多いのですが、レントゲン診査を行ったところ、やはり歯根が垂直的に破折してしまっている状態でした。
破折の仕方によっては、破折片を除去して、矯正などにより歯を引き出してクラウンを装着することも可能ですが、今回のように根の先端付近まで垂直的に破折している状態では保存が困難でした。
患者さんに説明・相談し、抜歯を行って欠損部をブリッジで治すことになりました。
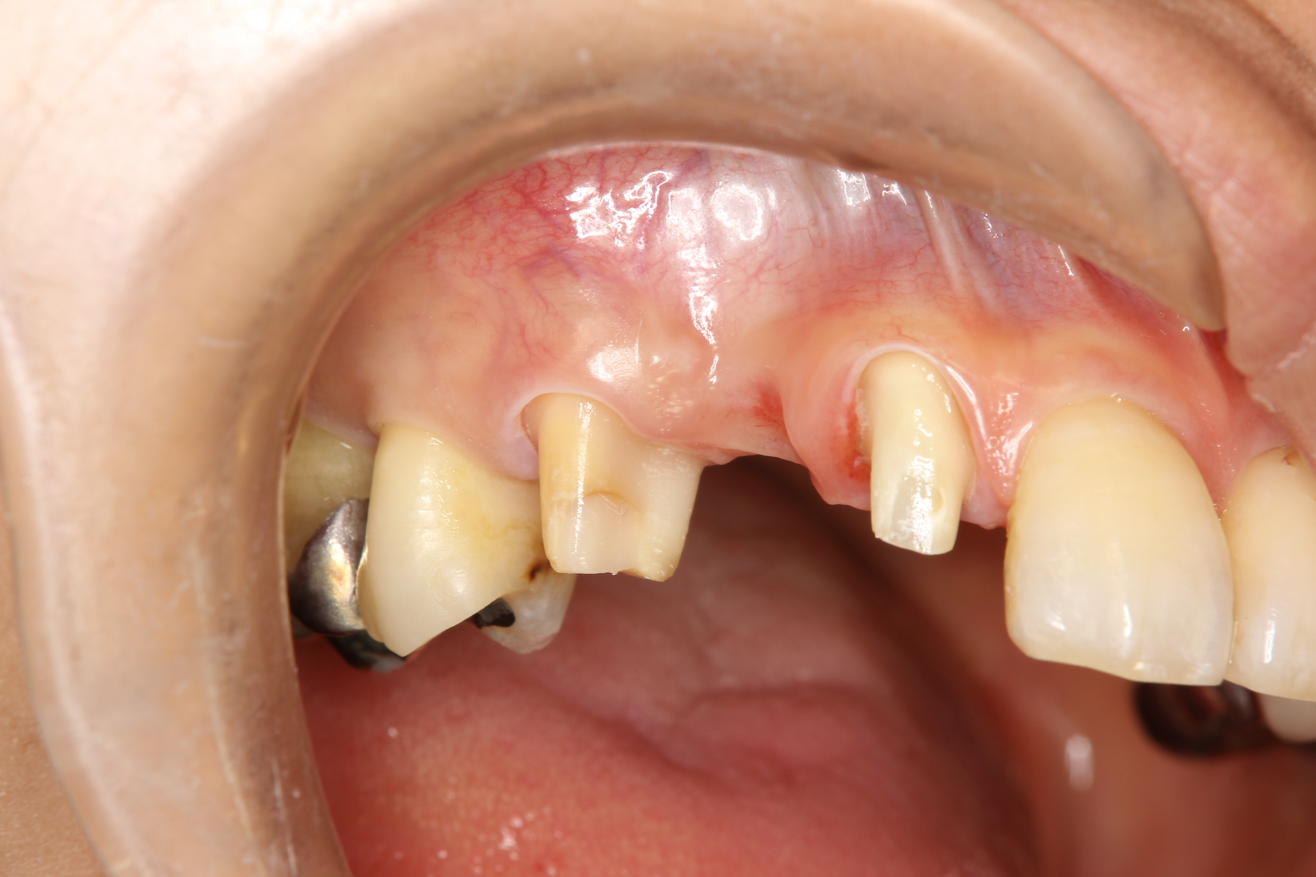
抜歯後に、犬歯の奥の歯のクラウンを除去。そして、クラウンを除去した歯と犬歯の手前の歯を支台歯形成し、ブリッジが装着できるようにします。
下の写真は、ブリッジを作製する準備が終わった状態です。
現在、高強度セラミックスであるジルコニアなどを使用することにより、金属を使用しないオールセラミックスのブリッジも応用することができますが、
今回は、審美性だけでなく、噛み合わせや長期的データに基づく信頼性などを考慮し、メタルセラミックスクラウンを用いることにしました。
ただし、前歯部などの見た目に影響する箇所にメタルセラミックスクラウンを用いる際に注意しなければならないのは、下の写真のように、クラウンと歯の境目(マージン)が黒い線のように見えることです。
これでは見た目がきれいとは言えませんし、クラウンが装着されているのがわかってしまい、自分が審美歯科において求める、周囲の天然歯と調和している状態とは言えません。
通常は、このマージンラインを隠すために、マージンを歯肉の中(歯肉縁下)に設定して見えないように対処します。
しかし、この患者さんは歯肉がとても薄くて、歯肉縁下に深く入れることが困難な状態でした。
そこで今回は、歯と接合するクラウンのマージン部をメタルではなく、セラミックスで作製する手法を選択することで、ブラックマージンをなくすよう配慮しました。
作製したメタルセラミックスによるブリッジです。唇側(見える側)のマージン部はセラミックスになっています。歯科技工士の技術力が要求されます。
下の写真がブリッジ装着後と治療前の比較です。
装着後 初診時(治療前)
クラウンと歯の境目が黒く見えることなく、歯肉とも調和し、審美的に良好な状態が獲得できました。
患者さんも、どこにブリッジを入れたかわからないと、とても喜んでおりました。
当院の審美歯科治療は、ただ単に白いクラウンを入れるのではなく、周囲の天然歯や歯肉との色調や形態の調和を目指した、より自然体に近い治療を提供したいと考えております。
カテゴリー:治療例 ,審美歯科治療 投稿日:2012年12月12日









