マウスプレパレーション
石神井公園駅北口徒歩1分、歯周病専門医インプラント認証医、たけのうち歯科クリニックの竹之内です。当院は、歯周病・インプラント・審美歯科・予防歯科に積極的に取り組んでおります。
義歯(入れ歯)を装着されている方で、よく噛めない・義歯が動く・歯肉に当たって痛い・見た目が悪い・義歯を支えている歯がグラグラしてきた、などということを訴えて来院される場合があります。
その原因には様々なことが考えられますが、
義歯を適正に装着するためのマウスプレパレーション(口腔内の環境整備・前処置)が十分に行われていないのが要因であることが多いです。
義歯を支えるクラスプ(歯に引っ掛けるバネ)の位置や形態、入れ歯の着脱方向、義歯全体の形態、噛み合わせ、残存歯の虫歯や歯周病の改善 などをしっかり行ってこそ、快適で長期的に安定した義歯が作製できます。
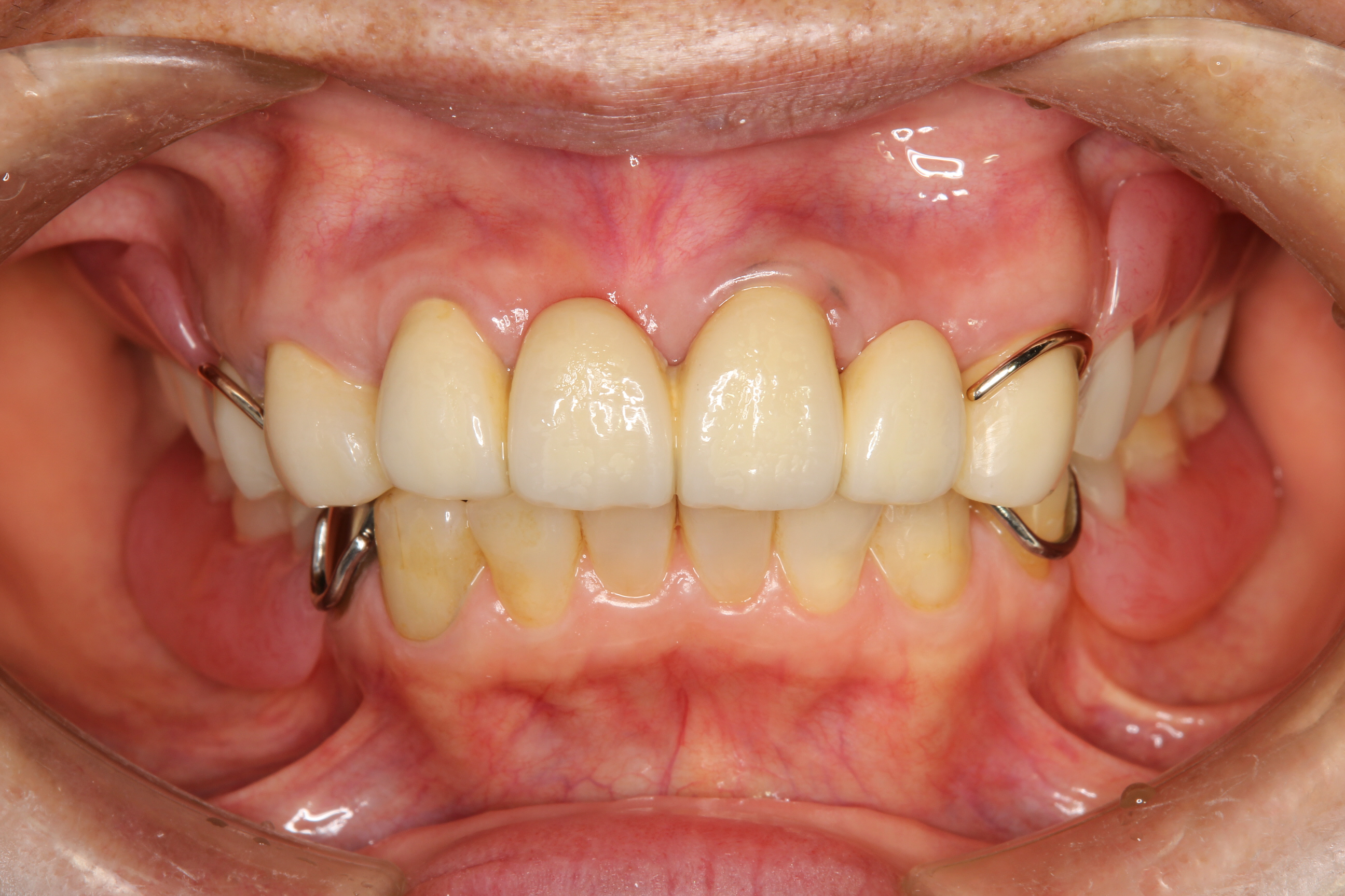
下の写真の患者さんも上下に部分義歯を装着しておりましたが、噛み合わせの不良により前歯部に負担がかかり、前歯が歯根破折により抜歯せざるをえない状態でした。
また、残存している天然歯も著しく摩耗していたり、病的に移動していたりします。
見た目においても、天然歯に被せてあるクラウンと義歯の調和はとれておらず、患者さんもとても気にされておりました。
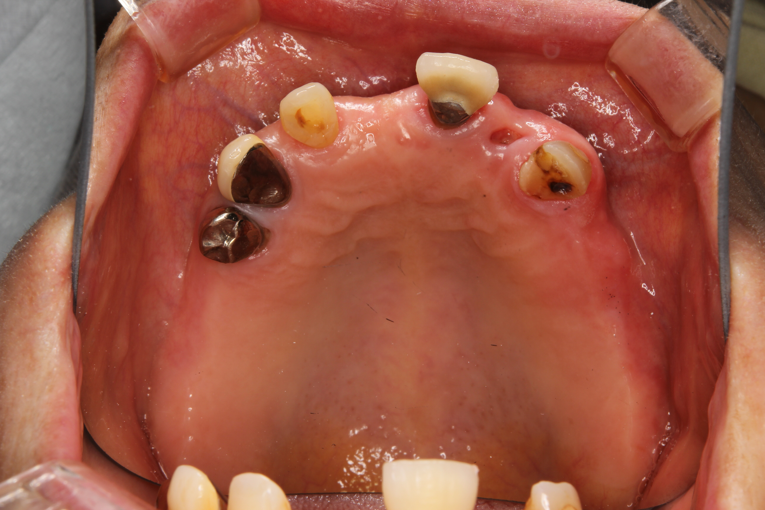
治療は、装着されている不適合クラウンはすべて除去して仮歯にし、虫歯治療や根管治療を行いました。
また、欠損部には治療用の義歯を作製して、噛み合わせ・見た目・最終的な義歯形態などについて検討しながら治療を進めていきました。
こちらが治療後の写真です。
上顎前歯部はブリッジにて機能を回復。臼歯(奥歯)の欠損部は部分義歯を装着しています。
前歯のブリッジは、奥に入る義歯の維持安定を図るための形態を付与しており、これにより義歯が安定し前歯への負担も最小限となることで、歯や補綴物(ブリッジや義歯)が壊れることなく守られるのです。
低くなってしまっていた噛みあわせも改善し、正面から見た時のバランスも良くなりました。
患者さんも、「これで歯を隠さないでも笑える」 と喜んでおられました。
欠損部に義歯を入れたら、徐々に隣の歯がグラグラしてきて結局抜歯になってしまい、以前の義歯より大きくなってしまったなんてことがないように、マウスプレパレーションは義歯や残存している歯にとってとても大事なものです。
カテゴリー:治療例 ,義歯(入れ歯) 投稿日:2012年10月11日









