笑顔を支えるセラミックスクラウン
石神井公園駅北口徒歩1分、歯周病専門医インプラント認証医、たけのうち歯科クリニックの竹之内です。当院は、歯周病・インプラント・審美歯科・予防歯科に積極的に取り組んでおります。
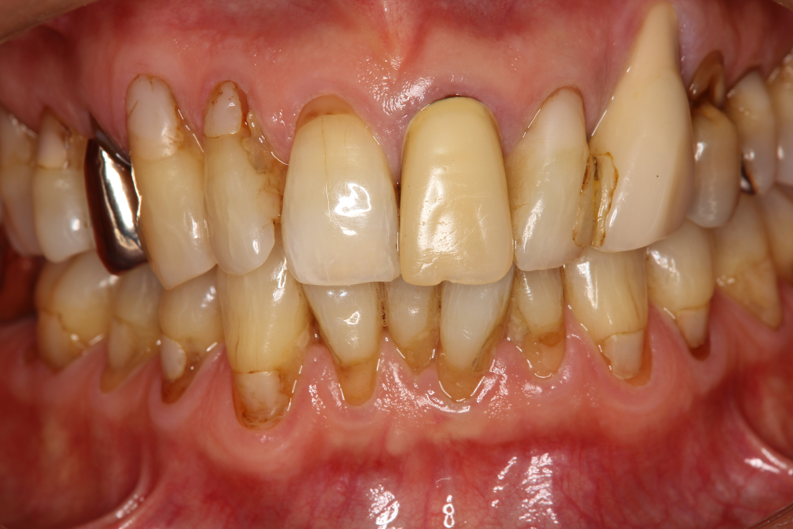
もうすぐ娘さんの結婚式があるので、クラウンや前歯をきれいにしたいと来院された患者さん。
クラウンは↓ で示す部位が気になっているとのこと。
その他、歯頸部(歯の根元)に充填されているレジンも治したいとのことでした。
⇓ ⇓ ⇓
古いクラウンを除去し、根管治療をやり直し、支台築造(歯にコアと呼ばれる土台を装着)をした写真が下です。
歯頸部のレジン充填も治療済みです。
その後、支台歯形成・印象(型取り)を行い、途中まで作製したメタルセラミックスクラウンを口腔内で試適しチェック。
試適とは、クラウンと歯との適合状態やクラウンの形態・噛み合わせ・色などを確認することです。
試適の後、完成したセラミックスクラウン(⇓)を装着したのが下の写真です。
⇓ ⇓
隣の天然歯と対照的になるよう色調や形態に配慮して作製し、被せているのがわからないような自然感を獲得しようと治療しました。
<術前> <術後>
向って右側の犬歯(歯肉が大分下がっている歯)のクラウンの治療や奥歯のレジン充填は、結婚式後に行う予定です。
審美的な部位の治療が式に間に合ってほっとしました。
嫁ぐお嬢さんといい写真が撮れるといいですね!!
カテゴリー:治療例 ,審美歯科治療 投稿日:2012年7月25日









