虫歯の進行した歯を救う
石神井公園駅北口徒歩1分、歯周病専門医インプラント認証医、たけのうち歯科クリニックの竹之内です。当院は、歯周病・インプラント・審美歯科・予防歯科に積極的に取り組んでおります。
虫歯や詰め物が外れたのを放置していると、歯冠(歯の頭の部分)が崩壊して、残根状態(歯根だけが残る)になります。
この患者さんも、クラウン(被せもの)の脱離を放置してしまい、どうにかならないかということで来院されました。
レントゲンを撮影すると、虫歯がかなり進行し、骨縁下(周囲の骨辺縁より下方)にまで及んでいるのが確認できました。
こういう状態になると抜歯を余儀なくされることもありますが、今回は歯根が比較的長かったのが良かったです。
部分矯正と歯冠長伸展術を併用して状態を改善し、被せなおすことにしました。
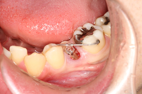
まず、歯にフックを装着し、フックと周囲の歯に維持を求めたバーにゴムを掛け牽引します。
すると、右下の写真のように歯が挺出し、今まで歯肉の下にあって見えなかった歯の部分が確認できるようになります。
頬側(外側)と舌側(内側)の歯が大分出てきています。
そして次に、歯肉などの歯周組織の形態を整え、近心(手前)と遠心(奥)の歯質をさらに露出させるために、歯冠長伸展術を行いました。
下の写真は抜糸後です。
全周にわたり、歯肉よりも上に歯が露出しています。
このような状態になれば、問題なくクラウンを装着できます。
自分の歯に勝るものはありません。
様々な治療法を駆使して、可能な限り歯の保存に努めております。
カテゴリー:治療例 ,虫歯治療 ,矯正治療 投稿日:2012年6月18日









