破折した前歯をクラウン・べニア・レジン充填で治療
石神井公園駅北口徒歩1分、歯周病専門医インプラント認証医、たけのうち歯科クリニックの竹之内です。当院は、歯周病・インプラント・審美歯科・予防歯科に積極的に取り組んでおります。
転倒により顔面を殴打して、前歯が破折してしまった患者さんです。
他院にて応急的な処置を受け、その後の治療を希望されて来院されました。
⇓で示した歯は破折が大きかったのか、既に全周を削って仮歯が入っている状態でした。
↓で示した歯は、歯冠の1/2が破折しており、コンポジットレジンにて修復されていました。
また、下顎の前歯2本は、歯の先端が破折している状態でした。
⇓ ↓ ⇓ ↓
初めに、仮歯の入っている歯は既に神経を取ってありましたので、継続して根の治療を行い、根管充填を行いました。
そして、オールセラミックスクラウンを装着するために、最終的な支台歯形成を行いました。
↓の歯は、コンポジットレジンで治療するか、ラミネートべニアで治療をするか患者さんと相談し、ラミネートべニアを希望されたので、
歯の唇側(見える側)の一部を薄く削って形態を整えました。
下顎の前歯2本は、先端のみの破折であったため、コンポジットレジンにて修復を行いました。
下の写真は、上顎のクラウンとべニアの印象(型取り)時の写真です。
作製されたラミネートべニアをまず装着し、
素焼きの状態であるセラミックスクラウンの色見本を再度撮影。
技工所に再度送り、最終的にオールセラミックスクラウンが完成。
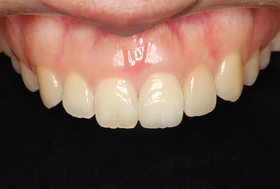
オールセラミックスクラウンとラミネートべニアを装着した状態がこちらです。
術後 術前
若い女性で、透明感のある前歯。
歯科技工士の協力もあり、患者さんに喜んでいただくことができました。









