セラミックスクラウンの治療
石神井公園駅北口徒歩1分、歯周病専門医インプラント認証医、たけのうち歯科クリニックの竹之内です。当院は、歯周病・インプラント・審美歯科・予防歯科に積極的に取り組んでおります。
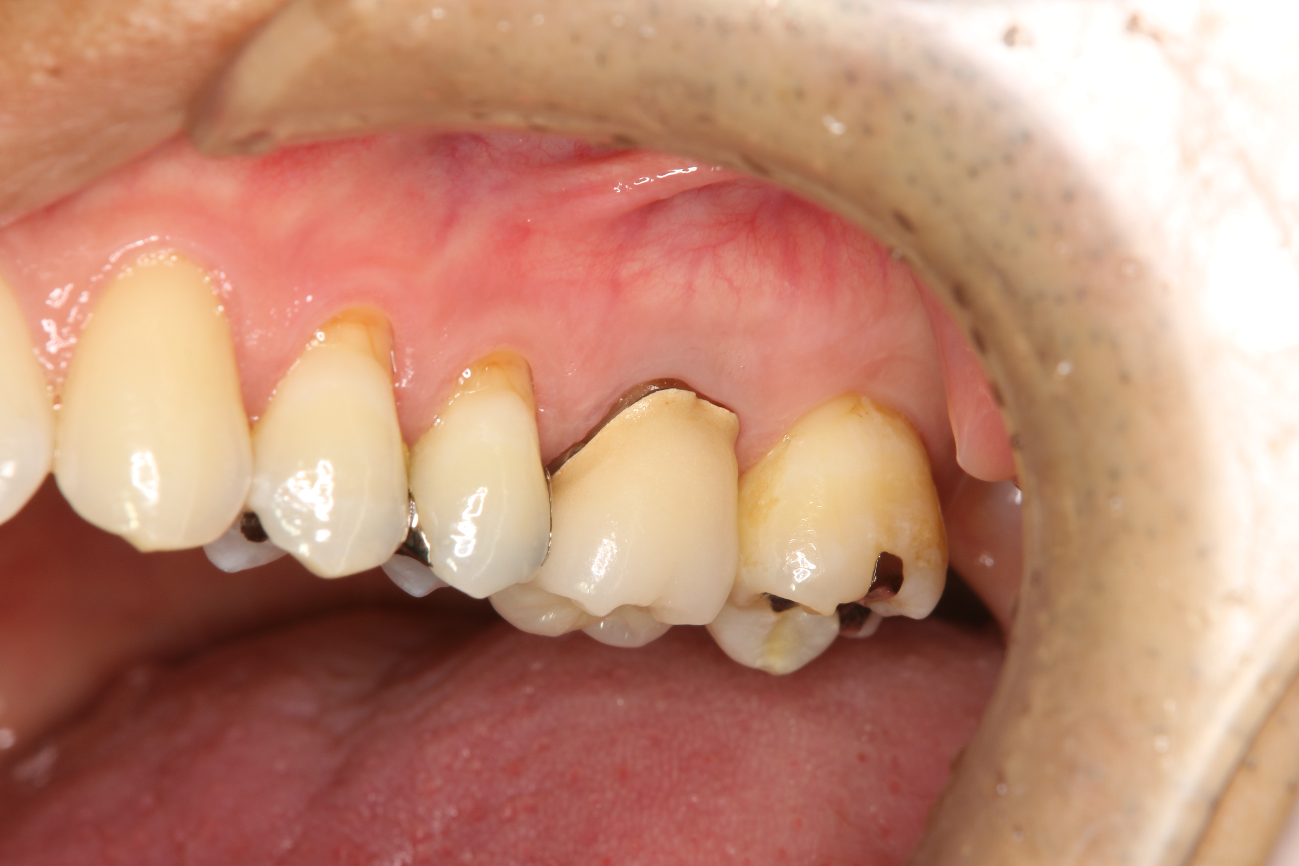
写真は、メタルセラミックスクラウンの印象(型取り)前の状態です。
被せ物と歯との境目が見えないよう、歯肉縁下(歯肉の辺縁より下方)まで、支台歯を形成しています。
歯肉縁下に形成すると、型取りの際には支台歯周囲に圧排糸を巻いたり、シリコン印象材で型取りをしたりと、その後の処置が複雑になりますが、
クラウンを装着した時の仕上がりがとても審美的で良好になります。
作製されたメタルセラミックスクラウンがこちら。
メタルの裏打ちのある、セラミックスクラウンです。
歯肉縁下に入る部分は、S字型にくびれを付与しています。
メタルセラミックスクラウンだと、歯とクラウンの境目が黒く見えて、審美的でなくなることもありますが、
そこは歯肉縁下に支台歯形成し、クラウン形態で歯肉を安定させることで回避。
ジルコニアセラミックスクラウンという手もありますが、まだまだジルコニアとセラミックスの接着は長期データ不足で、症例の選択が重要だと思います。
支台歯にセラミックスクラウンを合わせていき・・・
装着直後の写真ですので、完全に歯肉が調和しているとは言えませんが、
境目が黒く見えることもなく、歯肉縁下からクラウンが立ち上がってくるので、
より自然できれいに見えると思います。
プラークの付着しづらいセラミックス。
メインテナンスもしやすいですし、歯肉への親和性も良好です。
カテゴリー:治療例 ,審美歯科治療 投稿日:2012年2月24日









