インプラントを併用した全顎的な治療
石神井公園駅北口徒歩1分、歯周病専門医インプラント認証医、たけのうち歯科クリニックの竹之内です。当院は、歯周病・インプラント・審美歯科・予防歯科に積極的に取り組んでおります。
お口の健康を高めそれを維持していくには、1歯単位の治療ではなく、口腔を全体を捉えた治療=全顎的な治療が必要だと思います。
すべての歯がしっかり機能することで、良好な咀嚼や発音、きれいな口元になるわけですし、前歯が奥歯を、奥歯が前歯を守ることにも繋がるからです。
ですが、口腔内の状態によっては治療期間が長くなることもあります。
虫歯治療 ・ 根の治療 ・ 歯肉の治療 ・ 歯が無い部位への機能回復治療 ・ 見た目を改善する治療 ・ 噛み合わせの治療 ・ 矯正治療 など、様々な治療が必要になるからです。
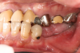
この患者さんは、
左右の奥歯が欠損しており、右側の下顎奥歯においては噛み合っている歯が欠損しているために挺出(上に出てくる)している状態でした。
上顎にはブリッジが装着されておりますが、不適合であり、一部に破折や摩耗が認められます。
下顎においては、装着されているクラウンや周囲の歯に虫歯を認めます。
また、ブリッジやクラウンが装着されているすべての歯の根管が汚染している状態でした。
そこで、
歯の欠損部にはインプラントを使用。
ブリッジやクラウンはすべて除去し、仮歯を装着した後に、
根管治療・虫歯治療・噛み合わせの調整・見た目の改善など全顎的な治療を行いました。
下の写真は治療後です。
カテゴリー:治療例 ,インプラント治療 投稿日:2012年1月17日



    





