歯肉の腫れも改善
石神井公園駅北口徒歩1分、歯周病専門医インプラント認証医、たけのうち歯科クリニックの 竹之内です。当院は、歯周病・インプラント・審美歯科・予防歯科に積極的に取り組んでおります。
詰め物が脱離して来院された患者さん。
口腔内を観察すると、歯肉の炎症が著しく、歯肉縁下歯石の沈着も認められます。
患者さんに口腔内写真を見せて説明し、歯周病検査のポケット測定を行うと、全体的に6~7mmの歯周ポケットが存在。
中等度歯周炎の状態でした。
現状を説明すると、自分が歯周病に罹患しているという自覚は全く無かったとのこと。
これが「沈黙の病気」ともいわれる歯周病の怖いところです。
このまま放置されていれば、5年後10年後には大変な状況になっていると思われます。
歯周病治療として、位相差顕微鏡による細菌検査・ブラッシング指導・プラークや歯石の除去・PMTCなどを行いました。
そして先日再評価を行いました。
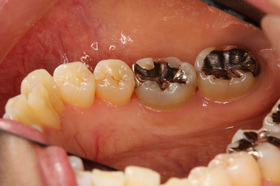
歯科衛生士の熱心な指導により患者さんのプラークコントロールも徐々に改善され、下の写真の状態まで回復しました。
歯肉の発赤(赤くなっている)・腫脹も軽減し、ピンク色をした健康的な歯肉が認められます。
患者さんに実感をお聞きしたところ、ブラッシングの出血や口腔内の粘着きも無くなったとのことでした。
この状態が維持できれば、5年後10年後も安心です。
私達がメインテナンスでサポートしていきます!
お年を召した患者さんを拝見していると、歯がしっかり残っている方はみんな元気です。
自分の歯でしっかり噛めることは、いつまでも若く健康でいるために欠かせませんね。
カテゴリー:歯周病治療 ,治療例 投稿日:2011年7月25日









