4前歯の治療(ジルコニアセラミックスクラウン)
石神井公園駅北口徒歩1分、歯周病専門医インプラント認証医、たけのうち歯科クリニックの 竹之内です。当院は、歯周病・インプラント・審美歯科・予防歯科に積極的に取り組んでおります。
5月に書いたブログ ”破折歯への矯正” で紹介した治療の経過です。
詳細は5月20日のブログをご覧ください。
交通外傷で上顎前歯を殴打した患者さんです。
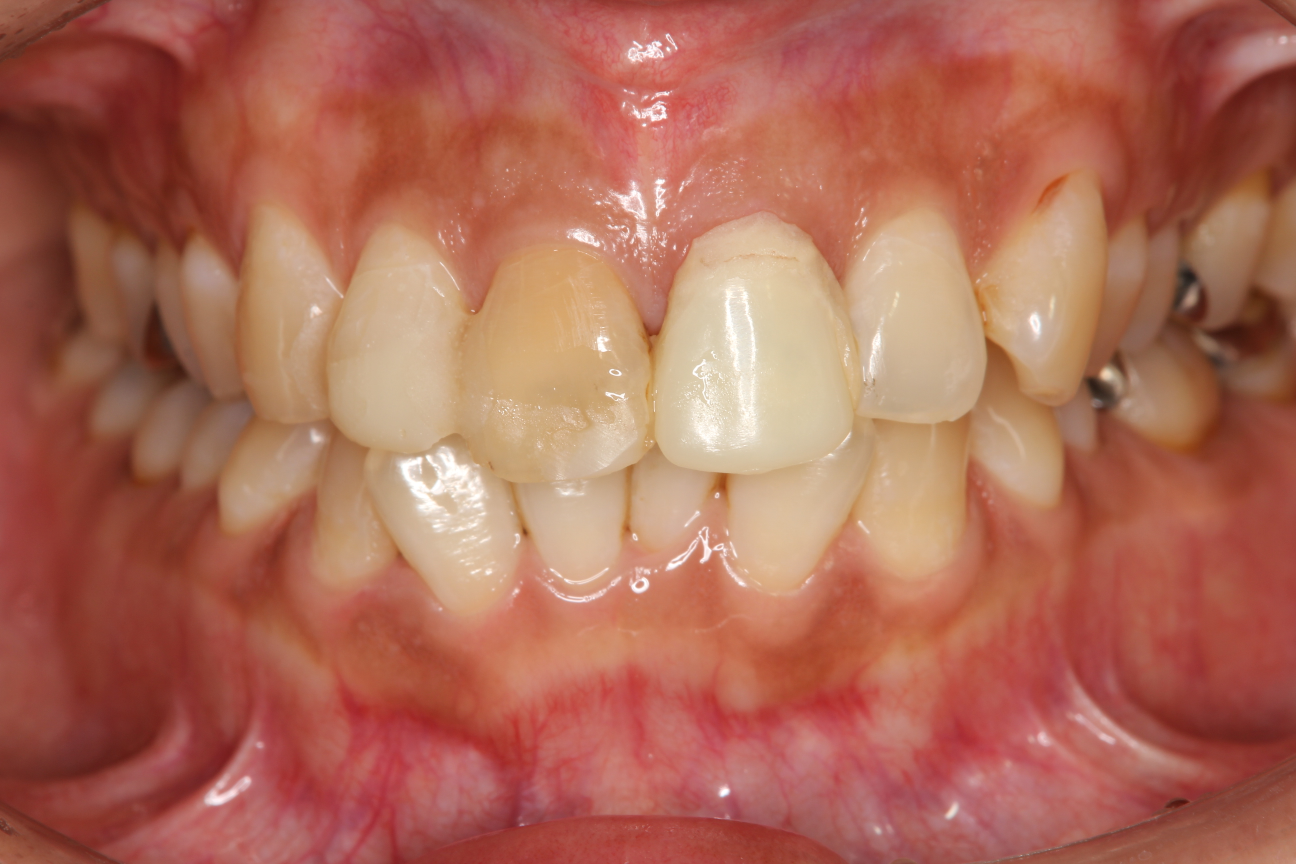
前歯の根管治療やMTM(部分矯正)、全顎的な歯周病治療を行い、クラウンを作製するための前処置が終了した状態です。
上顎4前歯の治療ですが、向かって一番右の歯はラミネートべニア。
その他の3前歯は、ジルコニアフレームのオールセラミックスクラウンによる治療を行います。
型取り(印象)は勿論シリコン材を使用します。(残念ながら日本の保険治療制度では使用できないので自費治療での使用となります。)
被せ物と歯の境目が見えないよう歯肉縁下に形成しており、適合の良いクラウンを作るためにシリコン印象は欠かせません。
正確な型取りをするために一本一本の歯の周囲に糸を巻く 歯肉圧迫をしたりと、患者さんも術者も大変ですが、質の高いものを作るには手間隙かかるのは当然です。
下の写真が、シリコン材での型取りをしたものです。
これをテクニシャン(歯科技工士)に渡し、石膏を流して模型をおこし、クラウンを作製していきます。
要するに型取りがしっかりできていなければ、実際の歯と模型の形が異なってしまうので、適合不良のクラウンが出来上がってしまうわけです。
適合不良は虫歯や歯周病を招いたり、脱離しやすかったりします。
写真は、作製されたジルコニアフレームとラミネートべニア。
最終的には、このジルコニアフレームの上にセラミックスを焼盛して歯の形態にしますので、その前にフレームの適合を確認します。
フレームの適合がOKならば、再度テクニシャンに戻して完成です。
術後 術前
ジルコニアセラミックスクラウンとラミネートべニア装着
事故直後は腫れも痛みも強く前歯で全く噛めない状態でしたが、今ではそれも無くなり、
患者さんが気にされていた 歯の破折や色・形態も改善されました。
このように、一つ一つの治療の積み重ねがゴールの状態を決定します。
患者さんの苦労が報われるように妥協はできません。
今後はこの状態を維持するためにメインテナンスを行っていきます。
新たなスタートですね。
カテゴリー:治療例 ,審美歯科治療 投稿日:2011年7月16日









