ラミネートべニア
石神井公園駅北口徒歩1分、歯周病専門医インプラント認証医、たけのうち歯科クリニックの竹之内です。当院は、歯周病・インプラント・審美歯科・予防歯科に積極的に取り組んでおります。
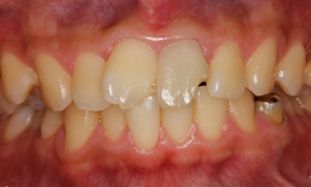
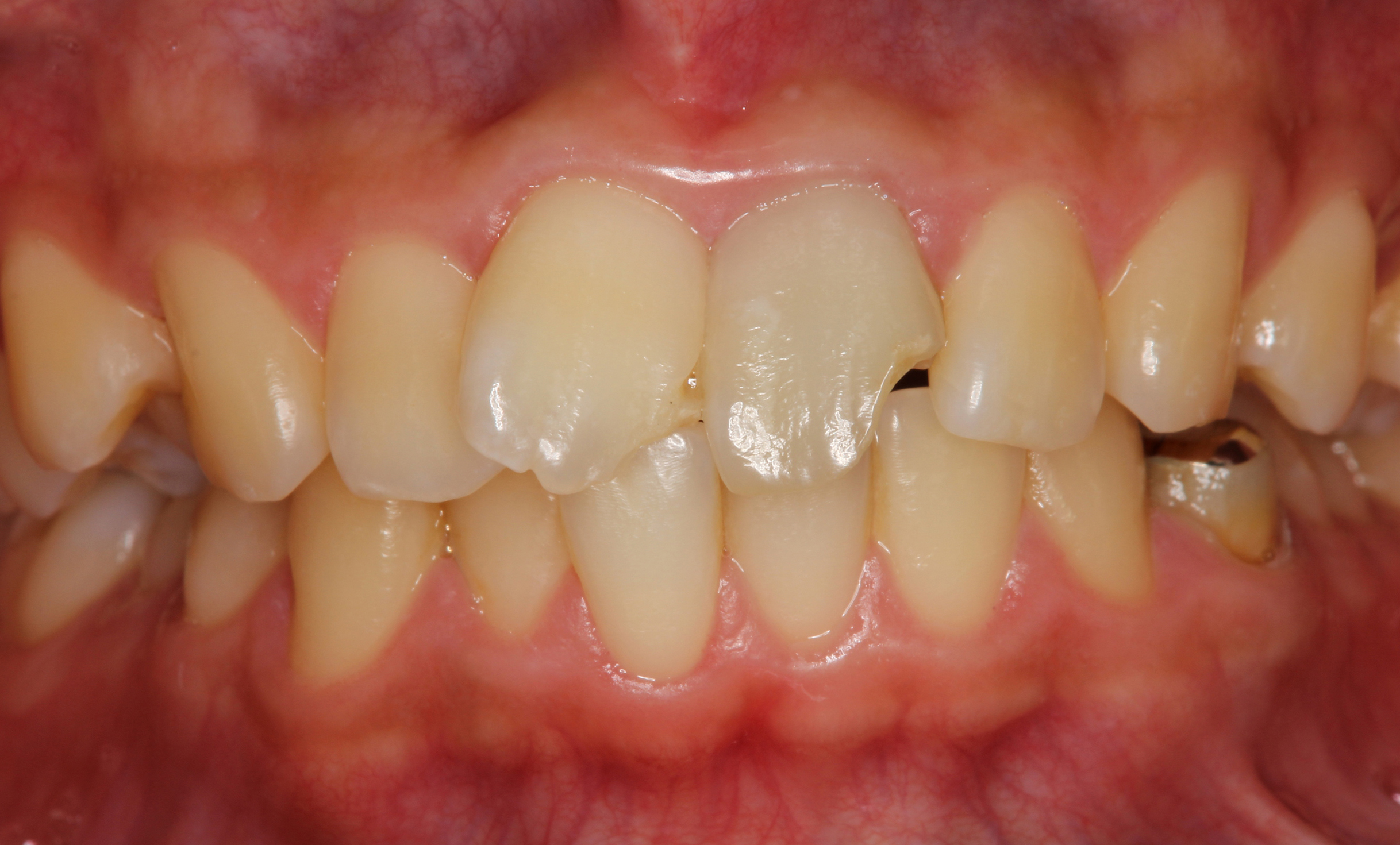
今日は、ラミネートべニアの紹介です。下の写真は初診時。
自転車競技をしている患者さんで、数年前に競技中にバランスを崩して顔面を殴打し、前歯2本が欠けてしまったということでした。
真ん中の前歯2本が破折しています。
向かって右側の歯は、左側の前歯と比べて変色しているのがわかると思いますが、電気歯髄診(歯の神経の生死を診査)をしてみると反応がなく、おそらく殴打した際に神経が死んでしまったと思われます。
レントゲンを撮影すると、神経が壊死しているために、歯根の先端に病巣を認めました。
また、左の前歯は、捻転・傾斜しており、左右前歯の形態がアシンメトリーの状態でした。
破折した前歯の治療として、コンポジットレジンを使用した治療・セラミックスラミネートべニアによる治療・クラウンによる治療などが考えられますが、
できるだけ歯を削らずに、長期的な色調の安定性・左右前歯の形態の対称性を獲得するために、今回はラミネートべニアの治療を行うことになりました。
まずは、神経が壊死している前歯の根菅治療をし、その後にウォーキングブリーチを行いました。薄いセラミックスを使用するラミネートべニアでは、このような変色歯にそのまま応用すると、背後の歯の色をひろってしまい暗い色調になってしまうからです。
全体的にホームホワイトニングも行いました。
写真はホワイトニング後です。変色歯も改善されています。
その後は、模型上で診断用WAX-UPを行い、最終形態を模索しました。
グレーの部分がWAXですが、最終的にその部分のべニアを厚く作製し、捻転歯の出っ張っている部分は少し削り込んで、左右前歯のシンメトリーを獲得する計画を立てました。(矯正で位置を修正できればもっとシンプルなのですが、近々留学を控えており断念)
診断用模型を利用してシリコンコアを作製し、ノートブックテクニックにより、歯の削除量を確認しながら支台歯形成を進めていきます。
形成終了後です。
左の捻転歯はもう少し内側に削れれば良かったのですが、神経を保存するためにはこれ以上無理と判断しました。
そして、デンティンコーティング後に型取りを行い、作製されたラミネートべニアがこちらです。
この薄いセラミックスの板の中に、様々な表現が施されているのです。
どんな歯科技工士でもできるわけではなく、匠の技です。
治療後 初診時
術前の計画通り、左右前歯の形態と色調は改善されました。
治療後の写真は今日撮影したものですが、これで安心して留学先に行けると喜んで帰っていかれました。
間に合って本当に良かったです。
3月に一度帰国され来院していただけるようなので、お会いできるのを楽しみにしていますね!









