歯の根の治療 虫歯は早めに治しましょう!
石神井公園駅北口徒歩1分、歯周病専門医インプラント認証医、たけのうち歯科クリニックの竹之内です。当院は、歯周病・インプラント・審美歯科・予防歯科に積極的に取り組んでおります。
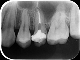
下のエックス線写真は、強い自発痛を訴えて来院された患者さん。
臨床ではよく遭遇する、2次カリエスからの歯髄炎(歯の神経の炎症)を引き起こしています。
写真上で白く写っている金属の詰め物と歯の境目から2次的に虫歯になり、歯の内部にまで進行してしまった結果です。
一旦こうなってしまうと、残念ながら神経を取らなければ痛みは治まりません。
こういう時は、「もう少し早ければ神経を取らずに済んだのに・・・」と思いながら、なくなく神経を取ります。
神経を除去し、その後は根管内の清掃・根管形成を行い、最終的に根管充填を行います。
ガッタパーチャという薬を使用して、根尖部(根の先端)から根管内を密封することです。
根管充填には様々なテクニックがありますが、今回は、ナチュラルガッタを使用した垂直加圧充填を行いました。
写真をみると、根管内に白いものが認められると思います。これが、ガッタパーチャを充填した状態です。
根尖部で分岐している側枝にも、しっかり根管充填ができました。
根管充填が不十分だと、その後根尖部に炎症が起きて膿が溜まり、歯肉が腫れたり骨が溶けたりし、ひどくなると抜歯しなければならないこともあります。
このように大切な根管治療ですが、一番良いのは、虫歯を早めに治して神経をとらずにすむことです!
カテゴリー:治療例 ,根管治療 投稿日:2011年3月28日









