セルフケアは大事!ブラッシング指導は欠かせませんね~
石神井公園駅北口徒歩1分、歯周病専門医インプラント認証医、たけのうち歯科クリニックの竹之内です。当院は、歯周病・インプラント・審美歯科・予防歯科に積極的に取り組んでおります。
先日、嬉しいことがありました!
以前勤務していた医院で治療させてもらった患者さんが、久しぶりに東京へ帰省したので、メインテナンスしてもらいたいと来院されたのです。
2年前に親御さんの紹介でいらした患者さんですが、就職が決まり1ヵ月半後には北海道に行ってしまうため、それまでに全体を治しておきたいということでした。
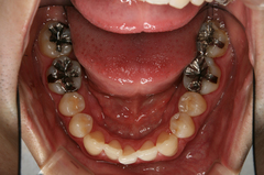
写真は初診時ですが、プラークコントロールがあまりよくなく、虫歯や歯肉の炎症が全顎的に認められました。
歯肉の炎症がこれだけ強いとすぐに出血してしまうため、確実な虫歯の治療ができないことをお伝えし、まず患者さんにはブラッシングを徹底してもらいました。
患者さんの協力も得られ、歯肉炎も順調に改善。一回の診療時間を長く取って、虫歯の治療をドンドン進めていきました。
奥歯の金属の詰め物もほとんど作り直す必要があったので、歯科技工士にも事情を説明して、早めに作製してもらったりしました。
そのかいもあって、北海道に発つ数日前に治療が完了しました。
治療が間に合ったことに安堵感を覚えましたが、同時に、その後の経過が見れないことに一抹の不安がありました。
以前のようなプラークコントロールに戻ってしまって、虫歯や歯肉炎が再発したらどうしよう・・・と
そのため、親御さんからお子さんの状況は時々聞いておりましたが、2年ぶりに口腔内を見る時は少し緊張しました。
口腔内を見た瞬間、思わずにんまりしてしまいました!
歯肉に著明な炎症もなく、初期虫歯が一箇所あっただけで、とても良好な状態が維持されていたのです。
患者さんに話を聞いたら、ブラッシングとフロスをしっかりやっているとのこと。一番奥の歯にはタフトブラシも併用しているようで、2年前のブラッシング指導の効果が如実に現れていました。
患者さんが口腔の健康に対する意識を持ち続け、その結果として良好な口腔状態が保たれているのをみると、歯科医師としての冥利に尽きます。
またメインテナンスでお会いできるのを楽しみにしていますね!









