石神井公園で審美的な治療をするなら
石神井公園駅北口徒歩1分、歯周病専門医インプラント認証医、たけのうち歯科クリニックの竹之内です。当院は、歯周病・インプラント・審美歯科・予防歯科に積極的に取り組んでおります。
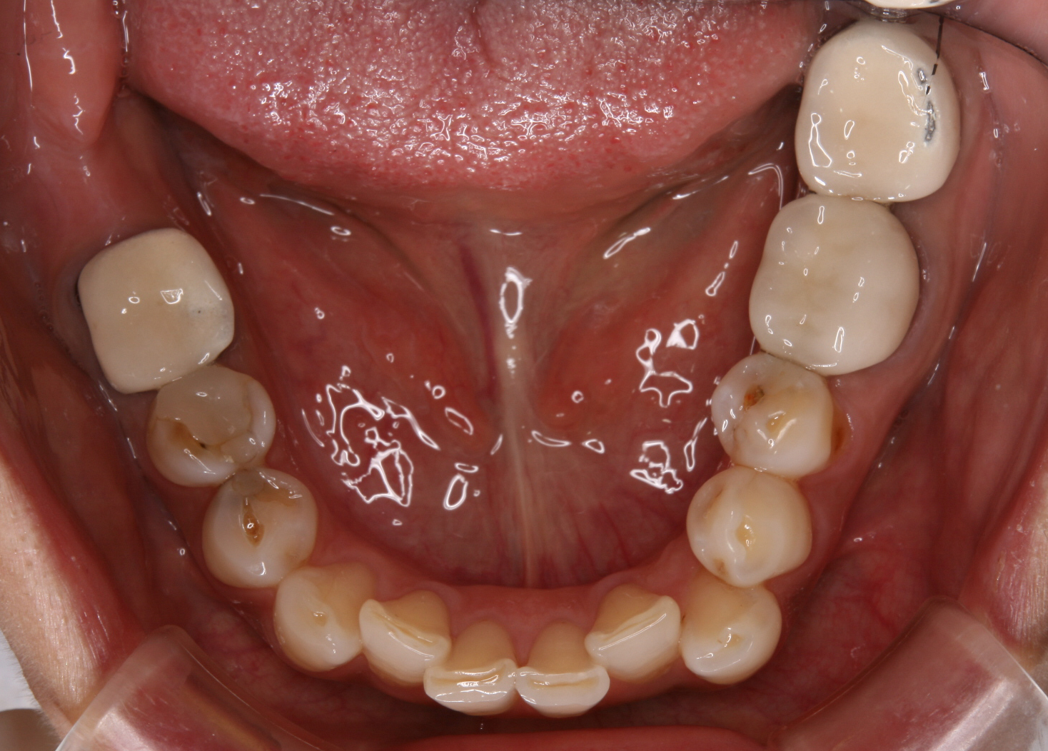
10年以上前に治療した奥歯のセラミックスクラウンをこの度きれいにしたいといらした患者さん。
写真で、右の奥歯2本、左の奥歯1本がセラミックスクラウンです。
セラミックスの下のメタルフレームが一部露出しています。
クラウンの前方の歯には虫歯が認められます。
歯と歯の間が黒くなっていたり、歯の中央に茶色いスポットがありますよね。
まずは、奥歯のクラウンを除去して根管治療。
根管内はかなり汚染しており根管治療は大変でしたが、これをしっかりやらないとクラウンは長く使えません。大事な治療です。
無事に根管治療は終了し、ファイバーコアを装着。
手前の歯にあった虫歯は、口腔内でコンポジットレジンを充填して治しました。
下の写真は、すべての基本治療が終わり、セラミックスクラウンの型取りを行う時です。
虫歯があったところもきれいになりましたね。
そして、精密な型取りができるシリコンを使用して、セラミックスクラウンの型取り。
色・形態・噛みあわせ・清掃性・歯との適合に配慮したセラミックスクラウンを装着しました。
上の歯も全体的に治療中なので、終わったら紹介したいと思います。
カテゴリー:治療例 ,審美歯科治療 投稿日:2011年1月14日









