審美歯科における大事なステップ
石神井公園駅北口徒歩1分、歯周病専門医インプラント認証医、たけのうち歯科クリニックの竹之内です。当院は、歯周病・インプラント・審美歯科・予防歯科に積極的に取り組んでおります。
審美的な治療を行うためには、歯肉の状態や支台になる歯の形態を整え、それを正確に型取り、歯科技工士に伝えるということが重要です。
その流れの中で欠かせない処置の一つとして、シェードテイキングがあります。
審美的な被せ物や詰め物を作製する時に、できるだけ周囲と調和した色調を再現するために、天然歯の色調を判定することです。
その判定した色調を歯科技工士に伝えることで、彼らはより審美的なものを作ることができます。
シェードテイキングがうまくいかないと、被せ物や詰め物の色調が周囲の歯と合わず、変に目立ってしまうことにもなります。
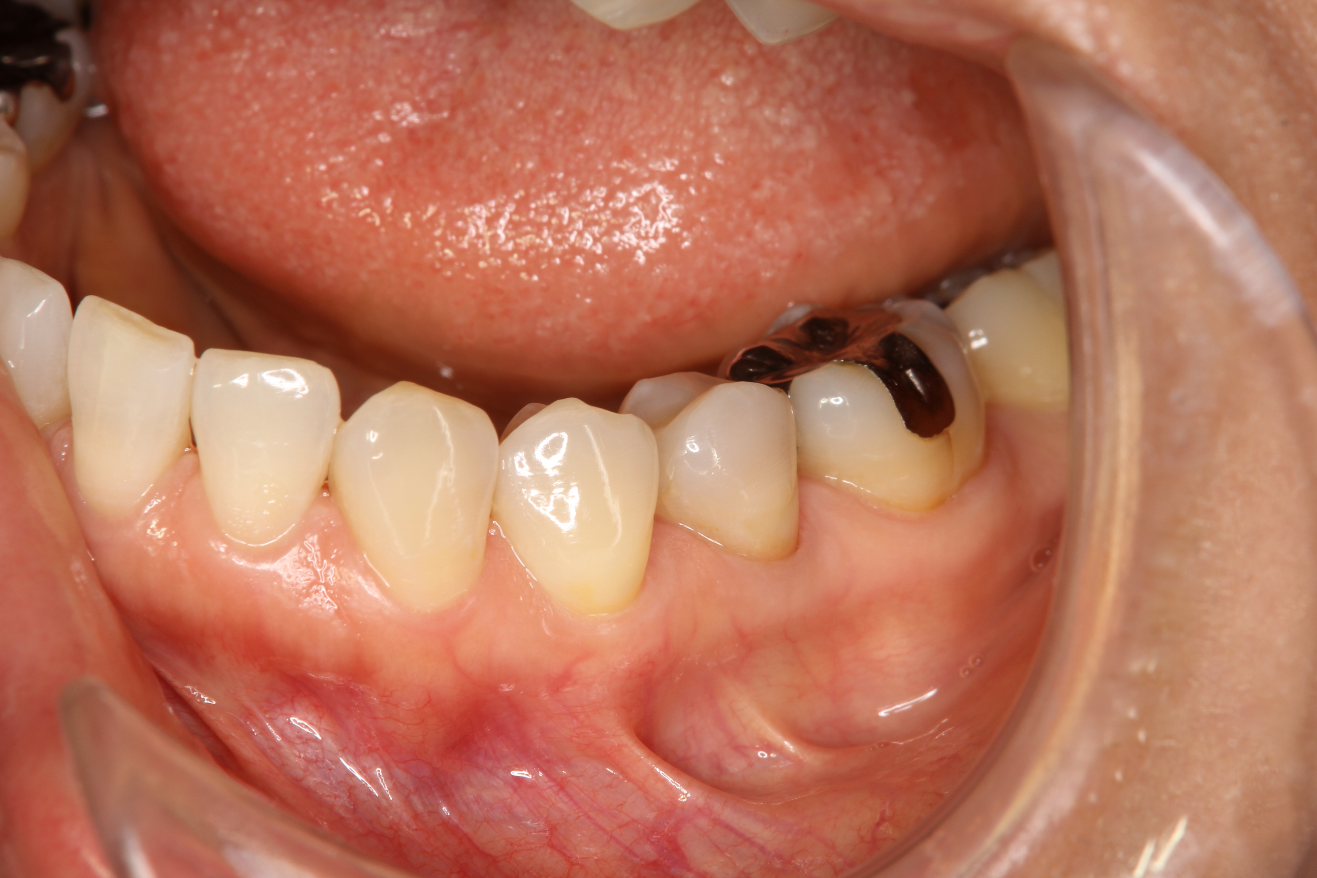
この患者さんは、手前の銀の詰め物が入っている歯に違和感があるということで来院されました。
精査をしてみると、歯と詰め物の間に隙間があり、中で虫歯が進行していました。
ここで、患者さんはセラミックスの詰め物を装着することを希望されたので、シェードテイキングを行いました。
このように、歯の色の見本となるものを入れた状態で写真を撮ります。写真を撮ることで、その場にいない歯科技工士にも正確に歯の色調を伝えることが可能です。
写真は、セラミックスの詰め物が入ったところです。
このように、詰め物一つ作るにしてもしっかりステップを踏んでいかないと、審美的な治療はできないと思います。
カテゴリー:審美歯科治療 投稿日:2010年7月24日









