歯肉の炎症
ただいま開業出航中、石神井公園北口 たけのうち歯科クリニックの竹之内です。
歯肉の炎症は、クラウン(かぶせ物)の不適合が要因で起きることがあります。
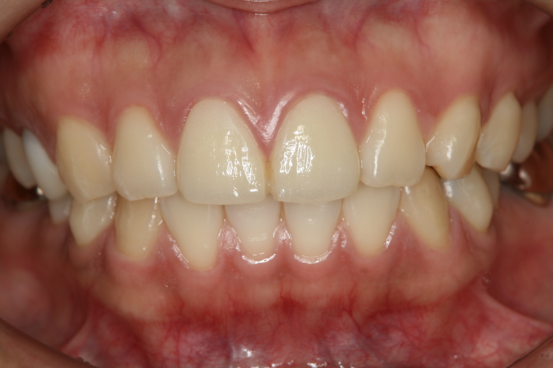
この患者さんは、1年程前に左右の上顎中切歯(上の真ん中の歯2本)にオールセラミックスクラウンを装着したそうですが、周囲の歯肉がずっと赤く腫れた状態で、ブラッシングをするとすぐに出血するということで来院されました。歯と歯の間も少しずつ空いてきたとのことでした。
クラウンの不適合が認められたので、除去してみると・・・
歯肉は炎症を起こし、ブヨブヨしている状態でした。これでは、出血するのは当たり前です。
支台歯に付着しているプラークやセメントを除去し、形態を整え、仮歯(テンポラリークラウン)を装着しました。
下の写真は仮歯を装着して1週間後ですが、適合良好なものを装着するだけで、すぐに歯肉の炎症は治まり、このように綺麗な歯肉になります。歯肉は正直ですね。
あとは、しっかり印象(型取り)を行って、適合良好なクラウンを装着するだけです。
カテゴリー:歯周病治療 ,治療例 ,審美歯科治療 投稿日:2010年5月22日









