審美修復
ただいま開業出航中、石神井公園北口 たけのうち歯科クリニックの竹之内です。
開業前から、セラミックス等を用いた審美修復の相談をされる患者さんが多くいらっしゃるので、今日は少しお話ししたいと思います。
審美修復で用いる材料は、当然ですが歯と同色の白い材料を使用します。
どのような材質のものがあるかというと、レジン・ハイブリッドレジン・セラミックスの3つに大別されます。
レジンは直接お口の中で詰めることのできる材料で、即日の治療が可能ですが、前歯や臼歯(奥歯)の小さい範囲の修復に適しており、力がかかる部位などに広範囲に詰めるのには適しておりません。ただ、適応の範囲であれば、レイヤリングテクニックといって、何色ものレジンを積層することで、より天然歯のような色調を再現することができます。
ハイブリッドレジンは、レジンにセラミックスを加えた材料で、レジンよりも耐摩耗性や強度を高めているものです。そのため、レジンよりも適応範囲が広がります。また、後述するセラミックス修復よりも費用がかからないという利点もあります。しかしながら、セラミックスが入っているといってもレジンがベースのため、時間の経過とともに表面のツヤが無くなってきたり、少し変色したりすることがあります。
セラミックスは、3つの材料の中で、耐摩耗性や審美性においてもっとも優れている材料だと思います。レジンと違い、変色もしませんし、表面のツヤが無くなることもありません。プラーク(歯垢)などが付着しづらいのも利点です。長期的に安定した、審美性の高い治療を求めているのであれば、セラミックス修復が望ましいと思います。ただ、これらの治療の中では費用が一番かかってしまいます。
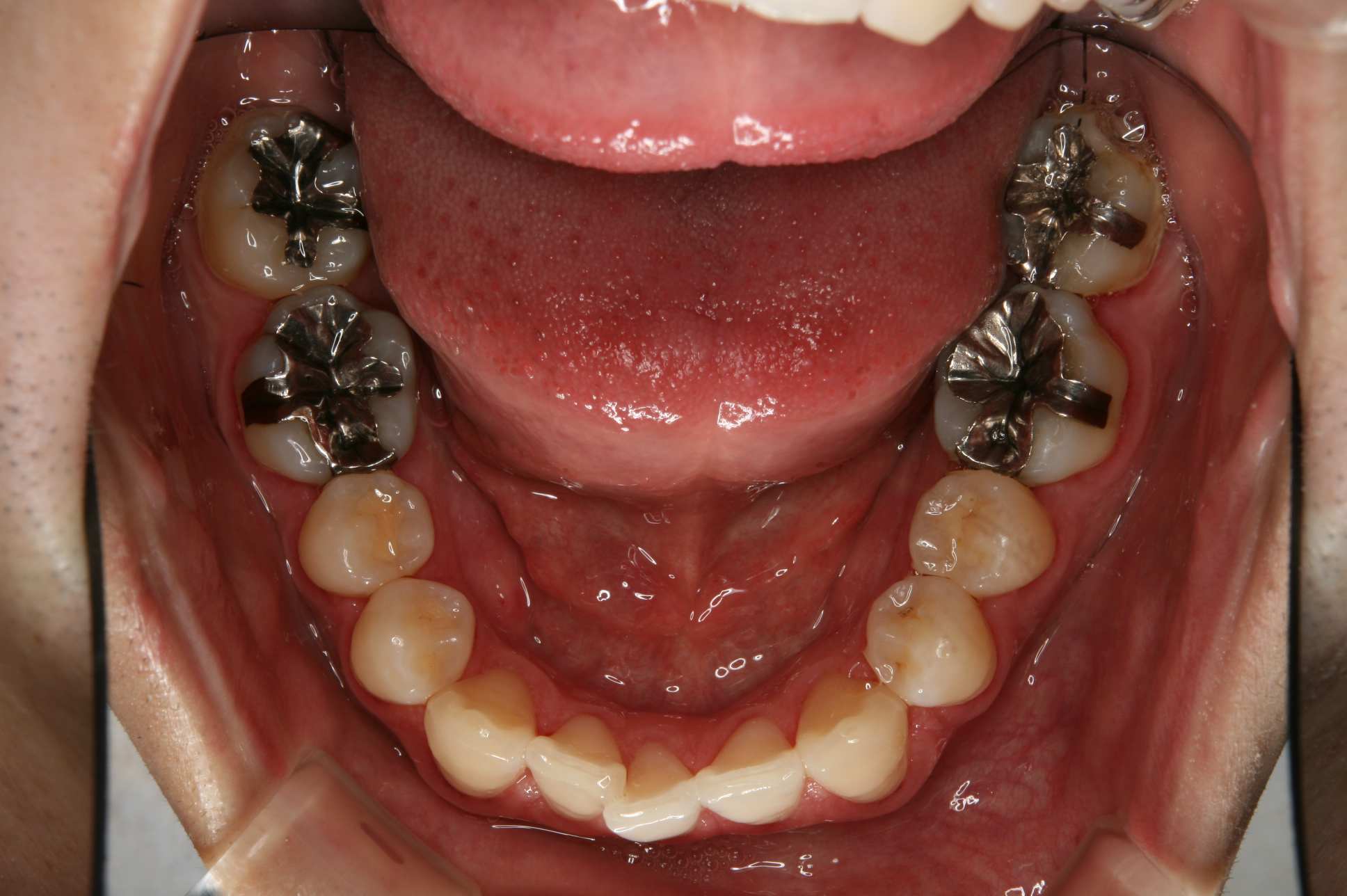
こちらは、以前私が行った審美修復の治療例です。
①治療前です。 ①セラミックス修復後です。
②治療前です。 ②ハイブリッドレジン修復後です。
やっぱり白い歯はいいですよね。
このように、審美修復といっても様々な材料がありますので、それらの特徴を理解して、患者さんの希望やお口の状態に応じて選択する必要があると思います。
気になることがありましたら、遠慮なくご相談ください!お待ちしております。









