ホワイトニング
ただいま開業準備中、石神井公園駅北口 たけのうち歯科クリニックの竹之内です。
ホワイトニングってご存知ですか?
簡単に言うと、特殊な薬剤を使用して歯を白くする治療です。
歯の表面の付着物によって歯の色が変色している場合は、歯科医院でブラシや磨き粉を使ったクリーニングを行えば、白くきれいになります。
しかし、それは表面の着色物を落とすだけなので、歯本来の色をかえることはできません。
過酸化尿素や過酸化水素を含んだホワイトニング剤を使うことにより、歯の中の色素を抜くことで、より白くて美しい歯を手に入れることができます。自宅で行うホームホワイトニング、医院で行うオフィスホワイトニング、神経を取って変色した歯に行うウォーキングブリーチなど、様々な方法でホワイトニングはできます。
欧米では非常に多くの方がホワイトニングを受けられますが、日本ではまだまだです。ただ、患者さんにアンケートを取ると、ホワイトニングに興味を持たれている方は非常に多いというデータがあります。
興味を持たれている方に参考になればと、最近行ったホワイトニングの治療例を紹介したいと思います。
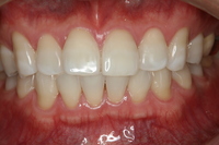
下の写真は、ホワイトニング前です。患者さんは30歳代の男性です。この方は、自宅で好きな時間に行いたいということで、ホームホワイトニングを希望されました。
ホームホワイトニングは、患者さんの歯型に合ったマウスピースを作製し、ご自宅でそれに薬剤をいれて、お口にはめて頂くというものです。
こちらがホワイトニング後です。
白くて明るい歯になりましたね。
ホームホワイトニングは、ゆっくりと漂白していくため、オフィスホワイトニングより後戻りが少ないと言われています。ご自宅で、自分のペースでできるのもいいところです。
安全な方法で、このような白い歯を手に入れることができますので、興味のある方は相談してくださいね。
カテゴリー:治療例 ,審美歯科治療 投稿日:2010年3月24日









