メタルタトゥー除去とセラミックラウンによる治療
石神井公園駅北口徒歩1分、歯周病専門医/指導医、インプラント専修医、医)竹和会 たけのうち歯科クリニックの竹之内です。当院は、歯周病・インプラント・審美歯科・予防歯科に積極的に取り組んでおります。
久しぶりに治療例の紹介です。
前歯部のメタルタトゥーの相談でいらした患者さんです。
7~8年前に左上中切歯にクラウンを装着したそうですが、歯肉の黒ずみが強く、ずっと気になっていたそうです。
確認すると、歯肉の黒ずみは広範囲にわたっており、クラウンの形が反対側の前歯と大きく違う点も、審美性を損なう原因になっていました。
当院ではレーザーを使用して黒ずみを除去しますが、歯肉の際に近い部分は歯肉が下がるリスクがあるので、あまり積極的にはできないことをお伝えしたところ、可能な限りでいいということでしたので治療を行っていきました。
下の写真はレーザー治療後1ヵ月です。大分、黒ずみが除去できました。
その後、ホームホワイトニングを行い、クラウンを除去し仮歯を装着し、根管治療を行いました。
歯の形態の非対称に関しては、隣の右上中切歯の隣接面(隣の歯と接する部分)にダイレクトボンディングを行い、幅を合わせることにしました。下の写真はその術後です。
治療前にイメージした状態に近づいてきました。
再び評価を行い、患者さんと今後について相談し、歯肉の縁に少しだけ残る黒ずみを除去するために歯肉整形術を行いました。
また、右側中切歯に残る古いコンポジットレジンもやり直し、クラウンの作製を進めていきました。
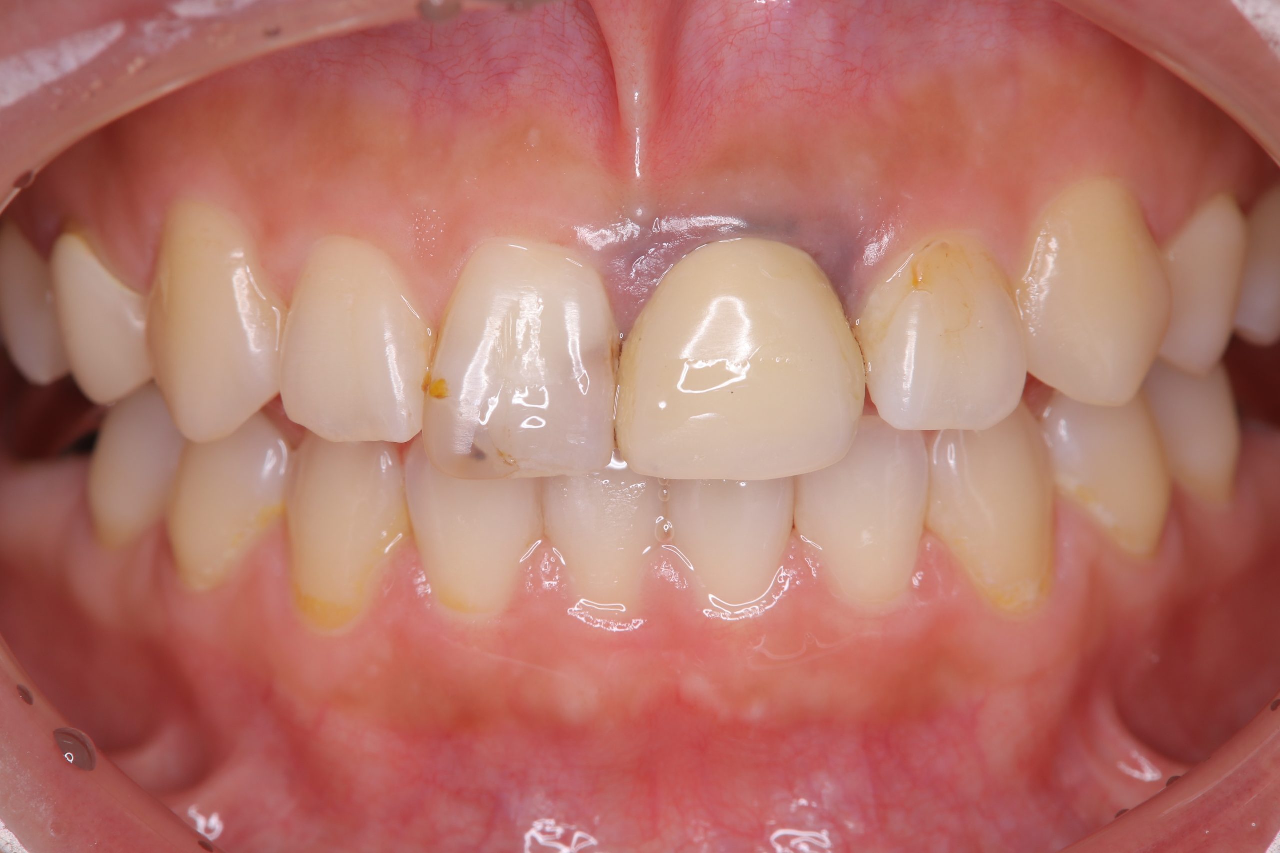
クラウンはジルコニアフレームのセラミッククラウンです。
写真が治療後です。
歯肉の黒ずみも大分改善し、両方の中切歯の形態を揃えることで、より自然な口元になったと思います。
噛み合わせによる歯根破折やクラウンの脱離に注意して、現在はメインテナンスを行っています。
自費診療の費用ですが、レーザーによる歯肉の変色の除去は1回につき¥11,000、歯肉整形は1歯¥11,000、ジルコニアフレームのセラミッククラウンは¥154,000となります。なお、すべての歯肉の変色に対して対応できるわけではありません。













