歯と歯の隙間、ブラックトライアングルの改善
石神井公園駅北口徒歩1分、歯周病専門医/指導医、インプラント専修医、医)竹和会 たけのうち歯科クリニックの竹之内です。当院は、歯周病・インプラント・審美歯科・予防歯科に積極的に取り組んでおります。
下の前歯の歯と歯との間の隙間(黒い三角形になっていることからブラックトライアングルと言います)を改善したいということで来院された方です。
以前他のクリニックで歯列矯正を行ったそうですが、その際にできた隙間がどうしても気になるということでした。
矯正前の写真を見ることはできませんでしたが、歯・歯槽骨の形態や歯のポジションなどによってこのようになってしまったと考えられます。
改善する方法として、歯の両側を少し削り矯正によって閉じる方法、セラミックスの板を張り付けるラミネートべニア法、コンポジットレジンを充填するダイレクトボンディング法などがありますが、
それぞれのメリット・デメリット・かかる費用や期間などについて説明させていただいたところ、
患者さんはなるべく歯を削らずに治したいということでしたので、ダイレクトボンディングを行い、ブラックトライアングルを閉鎖することになりました。
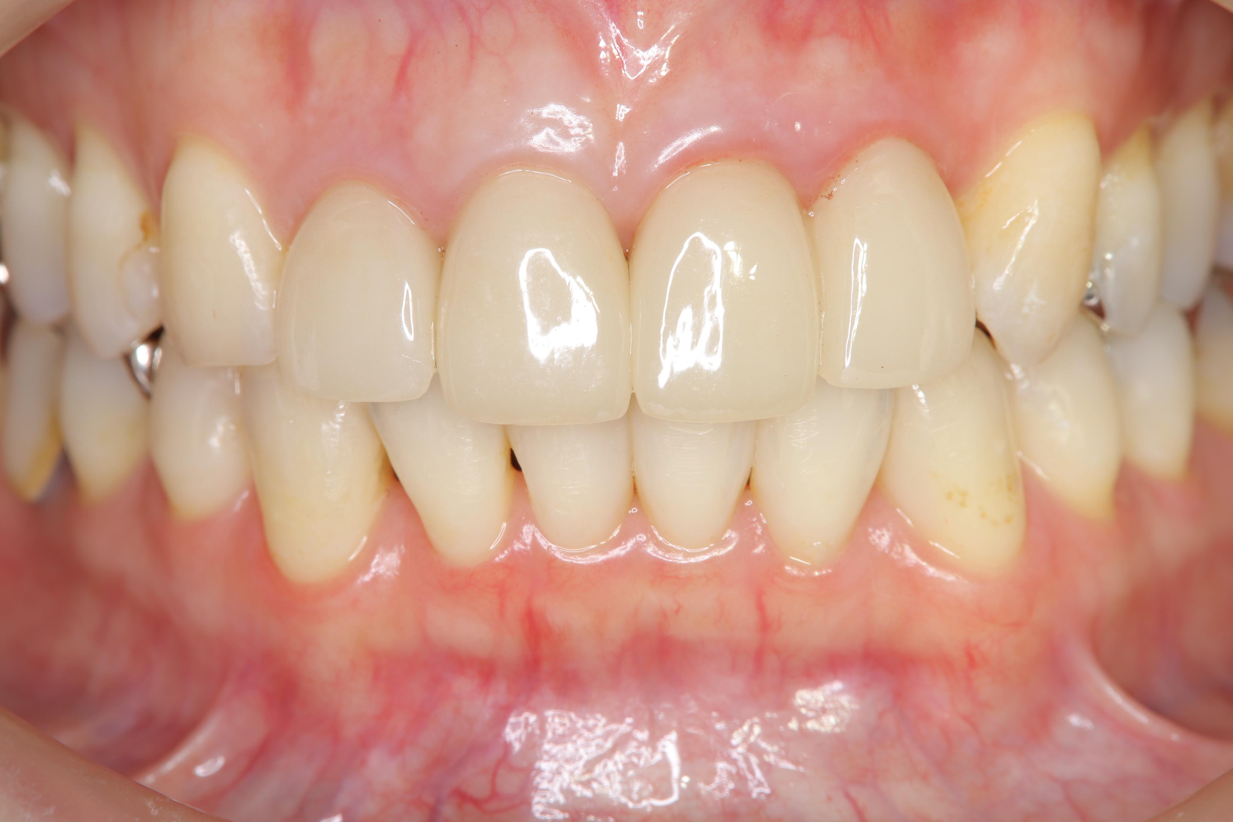
写真は、ダイレクトボンディング前の下の前歯です。隙間の目立つ3箇所のブラックトライアングルに対して治療を行いました。
歯の表面に接着処理を行い、接着阻害になる唾液や歯肉溝滲出液などが触れないように注意しながら、コンポジットレジンを接着させていきます。
ただ単に隙間を埋めるだけではなく、治療後に歯肉が炎症を起こしたりしないように、適合性や清掃性も考えてながら、自然な歯の形になるよう詰めていくことが重要です。
下の写真は、ダイレクトボンディング後です。
(上のセラミックのクラウンも形が気になるということで、口腔内で少し形を整えています。)
すべてに応用できるとはいえませんが、ダイレクトボンディングを行うことで、このように低侵襲に歯の形態や審美性を回復させることができます。
カテゴリー:審美歯科治療 投稿日:2018年1月24日












