歯肉退縮による審美障害 ~審美治療には歯肉の健康が不可欠~
石神井公園駅北口徒歩1分、歯周病専門医/指導医、インプラント専修医、医)竹和会 たけのうち歯科クリニックの竹之内です。当院は、歯周病・インプラント・審美歯科・予防歯科に積極的に取り組んでおります。
歯周病の治療を行い、歯周病の改善を図ることで、どうしても歯肉退縮といって歯肉が下がってしまうことがあります。
それは、炎症を起こして腫れている歯肉が治療により炎症が消退し、歯肉が引き締まったり、既に歯周病によって吸収している歯槽骨(歯を支えている骨)の形態に沿って、歯肉が治っていくからです。
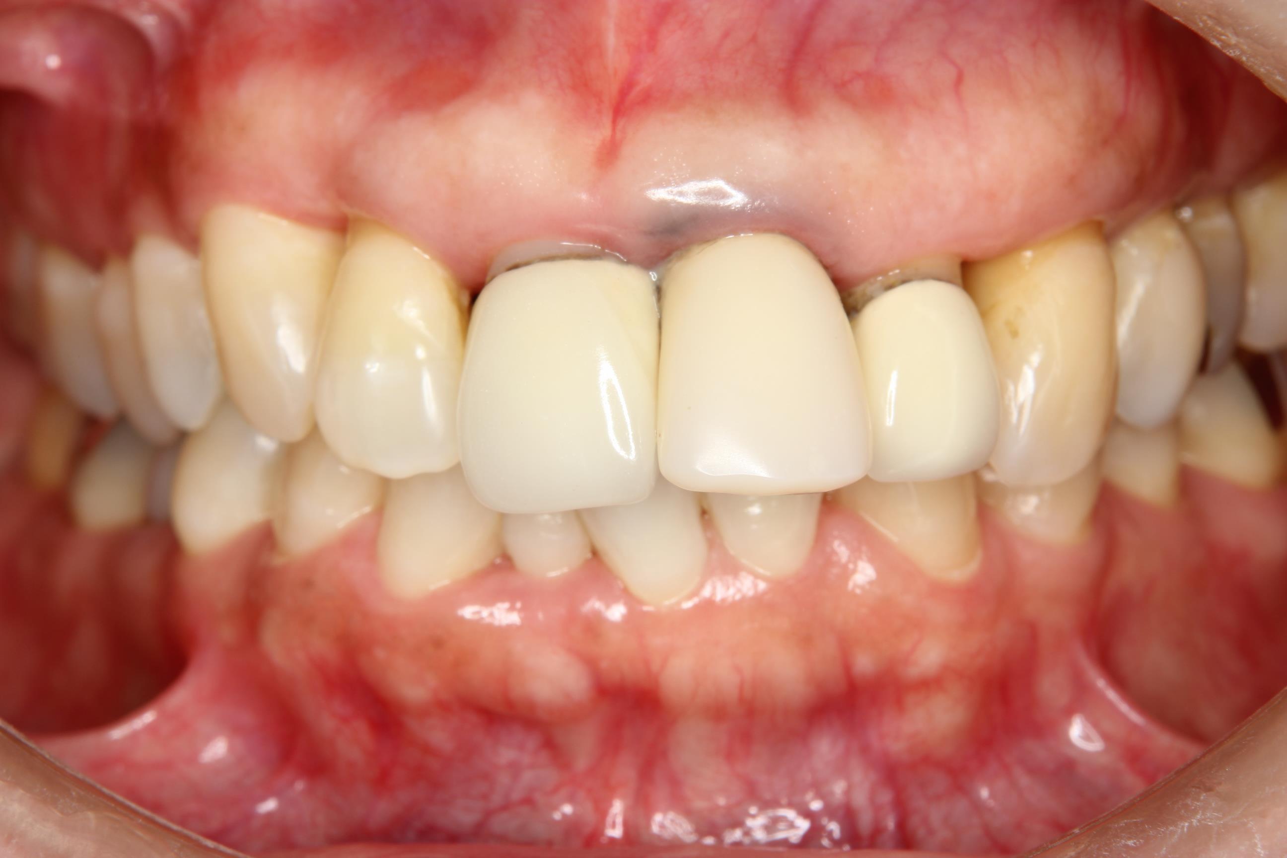
写真は、今から3年程前に来院された患者さんですが、全顎的に歯周病の進行が認められました。
上顎の前歯には3本のクラウンが装着されていましたが、特に左側(写真では右)の中切歯が病的に移動しており、上から見ると大分突出(出っ歯)しているのがわかるかと思います。
エックス線写真上では、ポケット内の根面に多量の縁下歯石が付着していました。
プラークコントロールの指導やスケーリング・ルートプレーニングを行い、
約1年後に撮影した写真です。
歯肉の炎症は改善し、引き締まったピンク色の歯肉になっています。
しかしながら、歯肉が退縮したことにより歯根が露出し、前歯部に装着されていたクラウンと歯の境目(マージン)がはっきり見えるようになり、審美的にはあまりいいとは言えません。
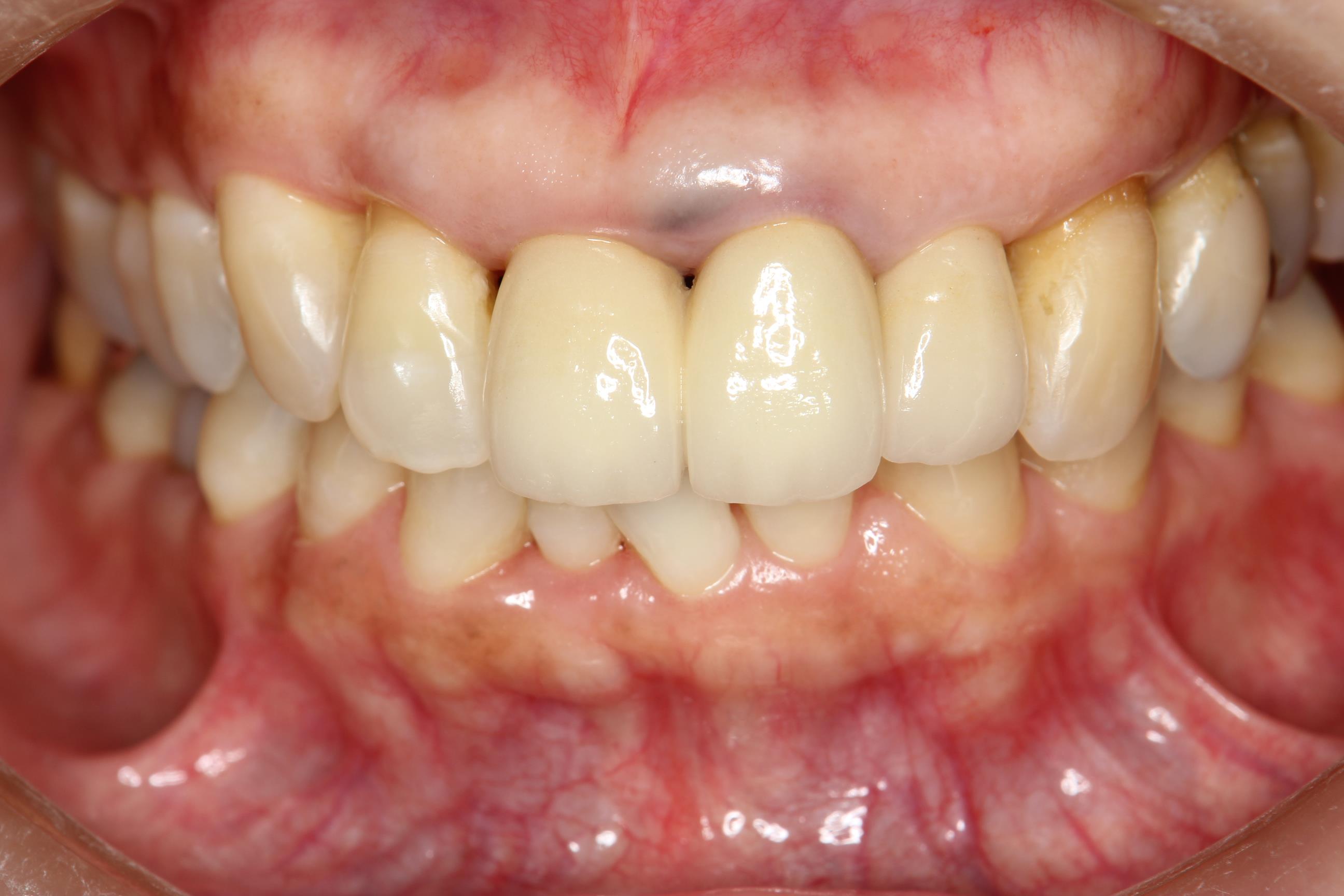
動的治療後は定期的に来院され、今日まで約2年間メイテナンスを行っていたのですが、先日患者さんから、「歯肉の状態はとてもいいので、見た目も綺麗にしたい」と相談を受け、前歯のクラウンを治すことで、マージン露出の改善と歯列不正の改善を図ることになりました。
下の写真は治療後です。
3本の前歯はメタルセラミックスクラウンを装着したのですが、中切歯は歯根が短くて噛み合わせの影響を受けやすいため、今後歯の移動などが起きないように、連結して永久固定しました。
歯の形態などは患者さんと相談しながら決めていったので、治療後の結果にとても喜んでいただきました。
今後もメイテナンスを行い、歯周病の再発を防ぎ歯肉の健康を維持していけば、歯肉の位置は安定し、審美的な状態を保つことができますので、しっかりサポートしてきたいと思います。
最後になりますが、審美的に重要な前歯部などは、歯肉の位置がとても関係します。
歯肉の位置を安定させるためにも、歯周病の治療をしっかり行い、クラウンなどを装着する前には、しっかりと歯肉を整えておくことが大事だと思います。
カテゴリー:歯周病治療 ,治療例 ,審美歯科治療 投稿日:2015年12月1日
















