インプラントの長期安定のために
石神井公園駅北口徒歩1分、歯周病専門医/指導医、インプラント専修医、医)竹和会 たけのうち歯科クリニックの竹之内です。当院は、歯周病・インプラント・審美歯科・予防歯科に積極的に取り組んでおります。
7月・8月は、インプラントの手術を受ける患者さんが多かったので、少しインプラント治療についての話をしたいと思います。
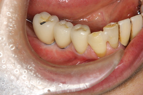
下の写真は術前のものですが、右下奥歯2本にセラミックスクラウンが装着されております。手前は天然の歯に被せているものですが、後方はインプラント支持によるクラウンです。
セラミックスが薄かったのか、中のメタルが露出してしまっています。
そして、写真では既に存在しませんが、最後方にはもう一本インプラント支持のクラウンがありました。
20年程前に、その3本の治療を受けたそうですが、
私が確認した時には、インプラント周囲炎というインプラントの歯周病が進行しており、一番奥のインプラントは撤去せざるを得ませんでした。
患者さんには、歯の欠損部が拡大するデメリットや回復させることのメリットなどを説明させていただき、結果、その部位に再度インプラントを埋入して欠損部の改善を図ることになりました。
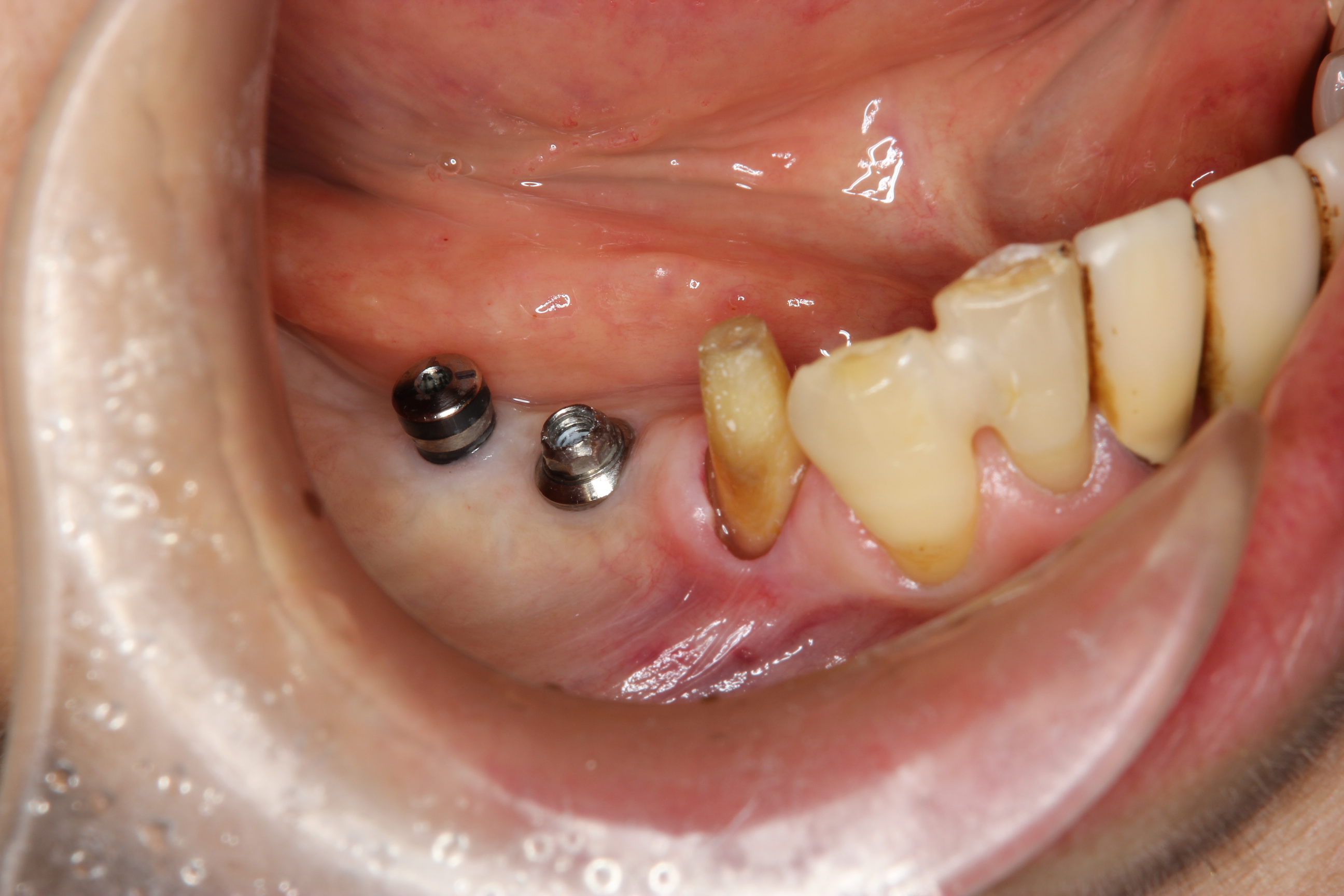
保存可能であった手前のインプラントの上部構造物を除去するとこのようになっています。
右下の写真のように、上部構造物は咬合面からのスクリュー(オクルーザルスクリュー)にてインプラントに装着されておりました。
インプラント術前のCT検査により、歯槽骨骨頂(歯槽骨の頂上)から下歯槽神経までの距離があまりなかったので、細心の注意を払いながら写真のようにインプラントを埋入しました。
インプラントの埋入後の経過は良好で、治癒期間中に一番手前のクラウンを除去し仮歯の装着を行い、インプラント埋入から約3ヵ月後に2次オペを行いアバットメントの装着を行いました。
その際に、2本のインプラント周囲に可動粘膜が近接しており、角化した歯肉(硬く抵抗性のある歯肉)がほとんどありませんでしたので、上顎口蓋から一部歯肉を採取して移植する、遊離歯肉移植術を併用しました。
ヨード液で可動粘膜を染め出すと濃く染まり、写真のようにインプラントに近接しているのがわかります。角化した歯肉は染まりません。
![]()
インプラント周囲に角化した歯肉があることは、細菌感染や機械的刺激からの抵抗性を高め、インプラントを支える周囲組織の健康を維持しやすくなりなるため、結果として、インプラントの長期安定に繋がると考えられます。
下の写真のように需要側の形成を行い、移植片を縫合固定しました。
歯肉の治癒後、下の写真のようにインプラント周囲に角化した歯肉が構築されました。これで、インプラントをメインテナンスしやすくなると思います。
1本の天然歯と2本のインプラントの調整を行い、型取りをし、右下のようにメタルセラミックスクラウンを装着しました。
![]()
一番奥のインプラントのクラウンは、咬合面からのオクルーザルスクリューでインプラントに固定するため、咬合面に小さな穴が開いていますので、最終的にその部分はコンポジットレジンを使用して封鎖します。
白い材料ですので目立つこともありませんし、必要な時にはレジンを除去してクラウンを外すことも可能です。
以前のインプラントも生かしながら、インプラントを再埋入することにより、欠損部の改善を図ることができました。
また以前のようにしっかり噛めるようになって、患者さんも喜んでおりました。
カテゴリー:治療例 ,インプラント治療 投稿日:2014年8月28日









