むし歯治療は早めが大事
石神井公園駅北口徒歩1分、歯周病専門医インプラント認証医、たけのうち歯科クリニックの竹之内です。当院は、歯周病・インプラント・審美歯科・予防歯科に積極的に取り組んでおります。
今年の診療もあと一週間になりました。
多くの患者さんを拝見させていただきましたが、どんな病気においても大事なのは早期発見・早期治療です。
歯医者はなかなか足を運びにくい場所ではあると思いますが、早めに問題を発見して対応することが、
患者さんや歯にとって負担が少なく、長期的な経過も良好です。
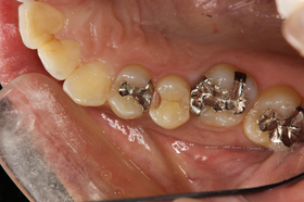
写真の患者さんは歯科健診でいらした方です。
症状はありませんでしたが、歯間部(歯と歯の間)にむし歯が認められました。
むし歯を除去すると、エナメル質を越えて象牙質にまで進行している状態で、下の写真のようになりました。
このような部位にむし歯が出来てしまった場合、昔であれば隣の歯のように削って金属の詰め物を詰めていましたが、
現在では、むし歯の範囲にもよりますが、健康な部分をできるだけ保存できるコンポジットレジン充填にて対応することができます。
歯と歯の形態は、プラークコントロールや噛み合わせに影響しますので、下の写真のような道具を使用ながらレジン充填を行い、天然歯のような形態を付与します。
歯と歯の間が緩かったりすると食片圧入(食べた時に食物が歯間部に押し込まれる)を起こし、歯槽骨が吸収してしまうこともありますので、形態は非常に重要です。
レジン充填を充填すると下の写真のようになります。
歯冠色の材料なので見た目も綺麗ですね。
むし歯の範囲がそこまで広くなかったので、このような治療で済んだわけです。
大分進行してしまっていれば、隣の歯のような治療結果になったかもしれません。
早期発見・早期治療、そして予防が大事ということが理解していただけたかと思います。
カテゴリー:治療例 ,虫歯治療 投稿日:2013年12月23日









