歯科金属アレルギー
石神井公園駅北口徒歩1分、歯周病専門医インプラント認証医、たけのうち歯科クリニックの竹之内です。当院は、歯周病・インプラント・審美歯科・予防歯科に積極的に取り組んでおります。
金属アレルギーの中には、歯科金属アレルギーというものがあります。
口腔内で使用する歯科金属が原因となって生じるアレルギーです。
歯科治療では、詰め物・被せものや入れ歯などで金属を使用することが非常に多いですが、特に日本は保険診療の範囲の制約などから、アレルギーを生じやすいと言われている金属を使用せざるをえない現状があります。
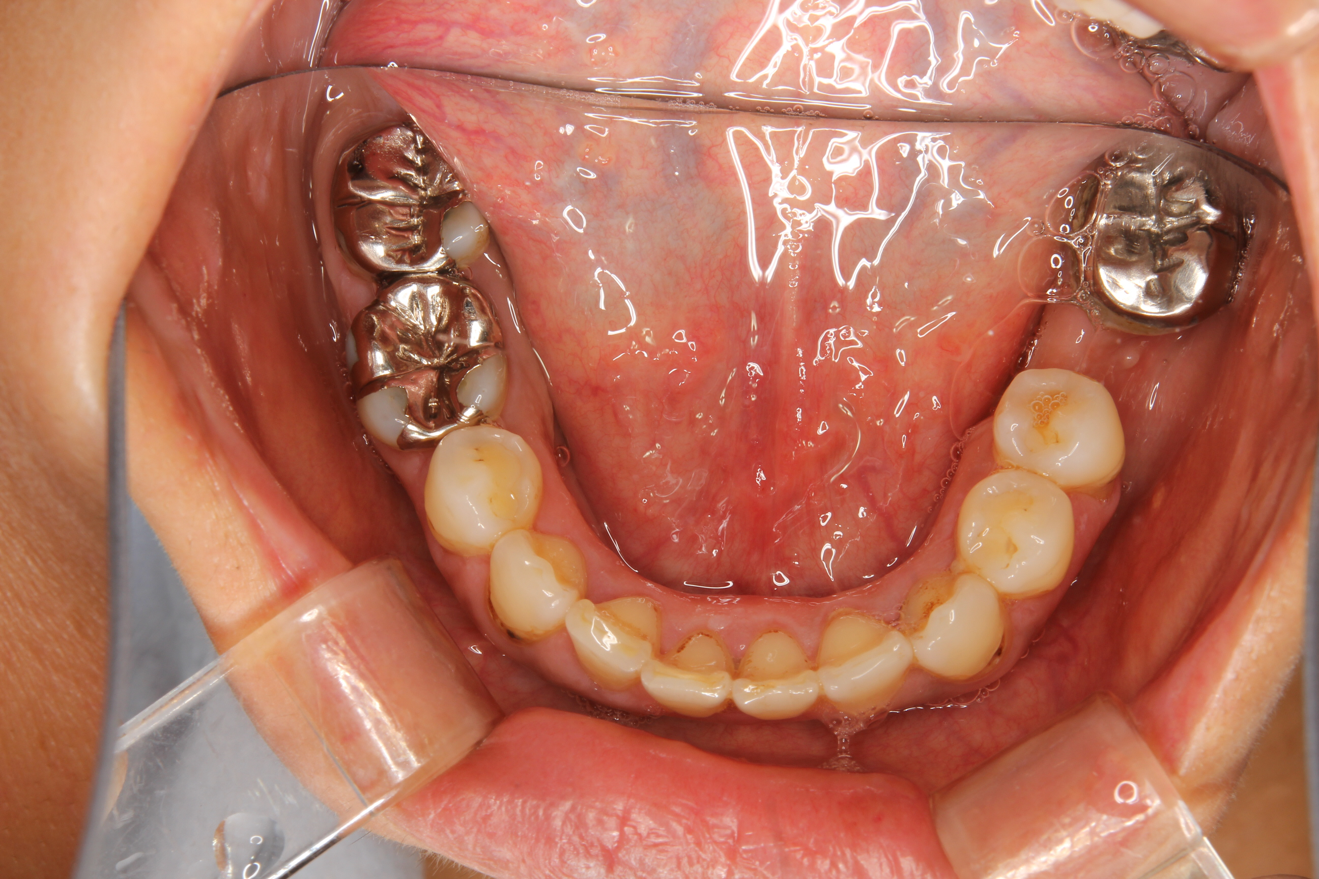
この患者さんは、掌蹠膿疱症という難治性の皮膚疾患を抱えている方ですが、
かかりつけの皮膚科より疾患の原因として、むし歯や歯周病からの病巣感染や歯科金属の存在を指摘され、当院に来院されました。
口腔内を見ると、全体的にむし歯があり、一部の歯には根の病気(根尖病巣)も認められました。
歯科金属のアレルギー検査なども行い、その結果に基づき、口腔内からすべて歯科金属を除去し、アレルギーを惹起しない材料を用いてメタルフリーの修復を行いました。
左下の奥歯は一本欠損しており、欠損を放置してしまったがゆえに一番奥の歯が手前に倒れてしまっていたので、
小矯正により奥の歯を正常な方向に起こし、ジルコニアを用いたブリッジを装着。
ジルコニアの登場により、メタルを使用しないブリッジも可能になりました。
すべての治療が終わり、メインテナンス時の状態がこちらです。
むし歯や根尖病巣も改善され、口腔内からすべてのメタルが無くなり、歯も歯肉も見た目も良好になりました。
皮膚疾患の方も、皮膚科での治療と前述したような歯科治療を行うことで、大分改善しました。
手のひらや足の裏に症状が出る疾患ですから、それらが良くなることは、患者さんのQOLを非常に高めると思います。
口腔内からのアプローチで全身の健康に寄与できたのは、とても喜ばしいことです。
カテゴリー:治療例 ,審美歯科治療 ,歯科医療 投稿日:2013年7月28日









