欠損歯の改善および審美歯科治療
石神井公園駅北口徒歩1分、歯周病専門医インプラント認証医、たけのうち歯科クリニックの竹之内です。当院は、歯周病・インプラント・審美歯科・予防歯科に積極的に取り組んでおります。
写真は、先に通院されていた奥様の紹介でお見えになった患者さん。
全体的にしっかりきれいに治したいとのことでした。
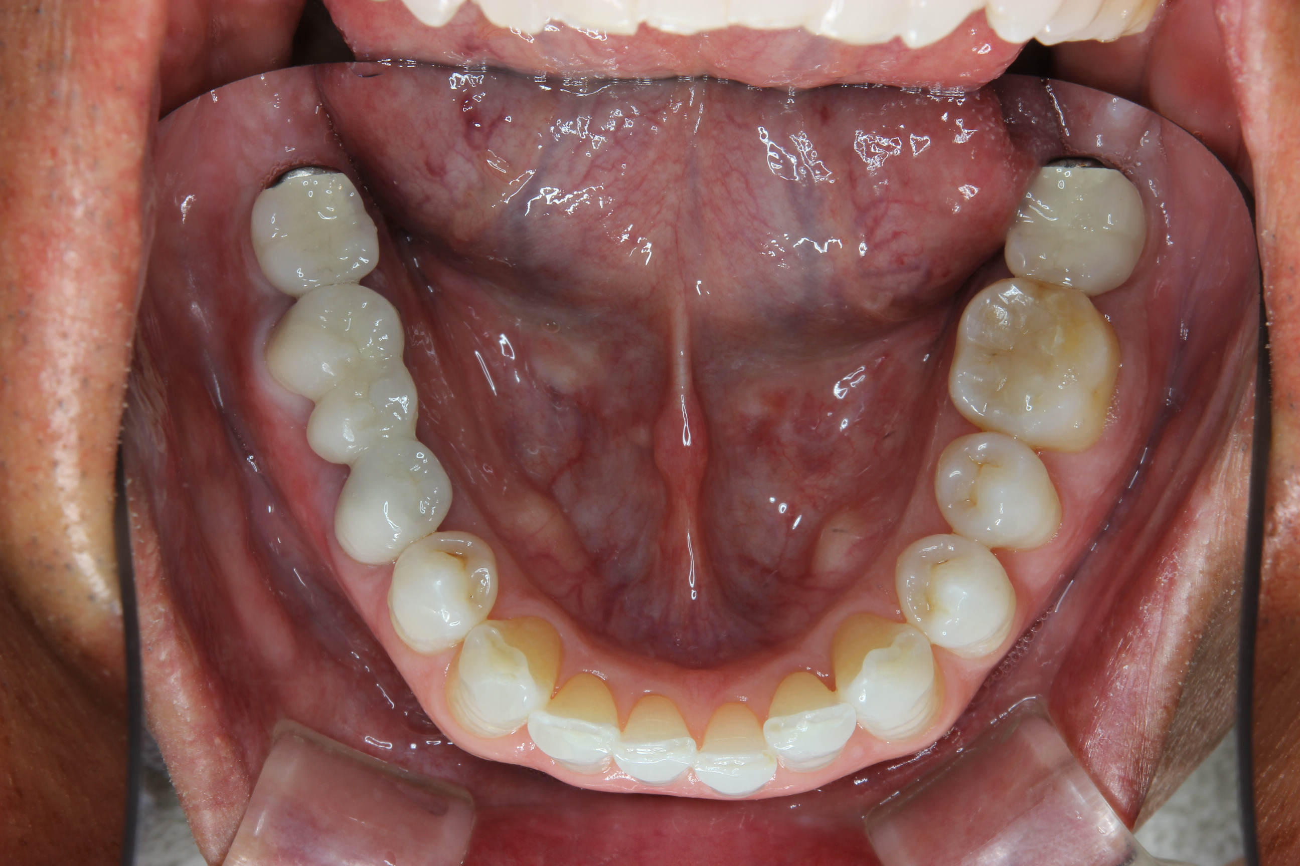
下顎左右の第2大臼歯(一番奥の歯)が欠損、それに伴い対合歯(噛んでいる歯)が挺出(飛び出す)しています。
また、右下のブリッジの不適合、正中(左右前歯の中央)のコンポジットレジンの形態不良などがありました。
歯の欠損を放置してしまうと、対合歯や隣在歯(隣にある歯)が移動してしまい、噛み合わせが不良になったり、周囲にプラークが停滞しやすくなったりと、様々な弊害がありますので注意が必要です。
下の写真は治療前。
現状の説明と今後の治療について話し合い、治療を進めていきました。
まず、右下ブリッジの支台歯には根尖病巣が認められたので根管治療を行いました。
そして、左右の欠損部にはインプラントを埋入しました。
その後、インプラントと噛み合わせる歯が挺出してしまっているので形態の調整を行い、インプラントに仮歯を装着。
噛み合わせのバランスを整えます。
インプラントにて歯を取り戻すことにより、対合歯の挺出は抑えられるのです。
最終的な被せ物を装着するにあたっては、患者さんは審美的でクオリティーの高いものを希望されていたので、全体のホワイトニングを行い、下顎の歯はメタルセラミックスクラウンやブリッジによる治療を行いました。
また、正中のコンポジットレジンを改善し、前歯や歯間部の形態を整えました。
上顎右側第2大臼歯(最後方歯)は、対合歯であるインプラント上部構造の破折等に配慮し、ゴールドクラウンを用いました。
下の写真が治療後です。
きれいになった口腔内を写真で見て、患者さんも喜んでくれました。
最後方の奥歯を取り戻すには、やはりインプラントは有用ですね。
もちろんインプラント以外にも治療法はありますので、
歯の欠損を痛くないからといって放置しないで、歯科医に相談しましょう。
カテゴリー:治療例 ,インプラント治療 ,審美歯科治療 投稿日:2013年5月12日









