口腔内の全体的な改善
石神井公園駅北口徒歩1分、歯周病専門医インプラント認証医、たけのうち歯科クリニックの竹之内です。当院は、歯周病・インプラント・審美歯科・予防歯科に積極的に取り組んでおります。
紹介で来院され、全顎的な治療を行った患者さん。
人前に立つことが多く、前歯や奥歯のセラミッククラウンをやり直しを含め、歯をきれいにしたいとのことでした。
歯列不正もあり、前歯の唇側面(外側の面)が揃っていない、上顎の小臼歯は内側に入っていることから歯頸線(歯肉のライン)が揃ってない、ということも気にされておりました。
事前に治療計画をご説明し同意を得てから、全顎的な治療を開始していきました。
古いクラウンはすべて除去し、まずは仮歯にします。
クラウンが装着されていた歯のほとんどが失活歯(神経を既に除去している)であり、多くの歯に根尖病巣が認められたので、根管治療をすべてやり直しました。
そして、上顎小臼歯の歯頸線に対しては、右側の小臼歯は歯肉弁根尖側移動を行い、左側の小臼歯は予後不良であったこともあり抜歯を行い、ブリッジのポンティック(ダミー)にて、周囲の歯と合わせることにしました。
また、上顎前歯である側切歯には、ラミネートべニアを行い、歯冠色や前歯全体の唇側面を揃えることにしました。
仮歯を調整し、患者さんにその都度確認しながら、噛み合わせや歯の形態を煮詰めていきます。
時間はかかりますが、最終的なクラウンを作る前に大切な行程です。
すべての準備が終わり、型取りへと移行していきます。
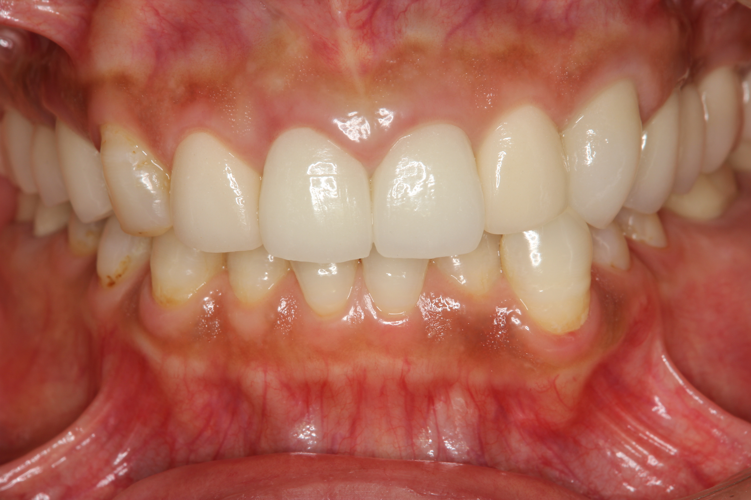
今回用いたクラウンはジルコニアセラミックスクラウン。メタルフリーです。
メタルセラミックスクラウンは避けたいという患者さんの強い希望があり、そのような選択になりました。
写真は、ジルコニアセラミックスクラウンやラミネートべニアの装着を行い、すべての治療が終了して約1年半後の現在の状態です。
(上下の歯列全体の写真は、少し前のものです)
1年半のメインテナンス中に、奥歯の歯肉が少し炎症を起こしたこともありますが、クリーニングやレーザーで状態は安定しております。
長期的に維持できて、行った治療がはじめて評価されます。
長きに亘る治療を受けていただいた患者さんの気持ちに応えるためにも、今後ともメインテナンスでしっかりサポートしていきたいと思います。
カテゴリー:治療例 ,審美歯科治療 投稿日:2013年4月24日









